In this issue:

Single-Appointment Restorations Using the iTero Element® Scanner

June 18, 2018
 image
Perry E. Jones, DDS, MAGD

As the advantages of digital impressions and same-appointment restorative dentistry become known to doctors and patients, many practitioners are considering adding an intraoral scanner to their practice. Whether you’re looking to move beyond the time and cleanup required from conventional impressions, provide your patients with restorations milled in-office, or both, the iTero Element® Intraoral Scanner (Align Technology, Inc.; San Jose Calif.) offers the speed, accuracy and ease of use needed for any clinician to begin enjoying the benefits of digital dentistry. As the exclusive scanner compatible with the glidewell.io™ In-Office Solution (Glidewell Direct; Irvine, Calif.), the iTero Element scanner opens the door to single-appointment restoration designs based on the extensive digital crown database of Glidewell Laboratories. This enables production of BruxZir® NOW crowns right in the office as well as support from a dental lab that has fabricated millions of digitally produced restorations to date.

WHY GO DIGITAL?

Time Savings — It takes significantly less time to take a digital impression than a conventional vinyl polysiloxane (VPS) impression, freeing up valuable chair time for you and your patients.1 Even before I added in-office milling to my practice, the faster turnaround time and lower fee from the lab for digitally submitted cases had reduced the cost and increased the speed of restorative care at my practice.

These time savings are multiplied for clinicians who combine intraoral scanning with in-office milling, which offers patients the opportunity to have their crown fabricated while they wait in the office. By reducing the number of appointments needed to deliver a crown, one-day dentistry offers tremendous benefits to patients and doctors alike and can be a great marketing tool for the practice.

Convenience — Intraoral scanning eliminates the mess of traditional impression materials, which many patients dislike, as well as the need to maintain an inventory of impression supplies. Further, the ability to submit the digital impression to the lab with the mere push of a button streamlines the restorative process.

Accuracy — Studies have shown that intraoral scanning captures the surface morphology of the teeth more accurately than conventional impressions, leading to a better-fitting restoration.2,3 Because fewer adjustments are required, this frees up additional chair time and improves the patient experience.

BENEFITS OF INTRAORAL SCANNING:

  • Faster turnaround time for restoration
  • Eliminates need for VPS materials
  • Single-appointment restorative dentistry can be provided
  • Increased profitability
  • Higher accuracy
  • Reduced dental lab fees
  • Superior patient satisfaction

THE ADVANTAGES OF THE ITERO ELEMENT SCANNER

Intraoral scanning has come a long way since I left behind traditional impressions over 10 years ago. What was once a leap of faith has now become commonplace as growing numbers of clinicians seize upon digital technology to make their practices more efficient, profitable and attractive to patients. The iTero Element scanner offers several key advantages that make the scanner an ideal entry point to digital dentistry.

Intraoral scanning has ... become commonplace as growing numbers of clinicians seize upon digital technology to make their practices more efficient, profitable and attractive to patients.

Ease of Use — The iTero Element scanner features an intuitive operation design that enables clinicians to begin efficiently scanning patients through a streamlined learning process. The scanner interface includes all the features of a high-definition touch screen, allowing for rotation, magnification and evaluation of scans with simple finger motions. The system is so user-friendly that even doctors with no intraoral scanning experience can complete their first digital impression in less time than it takes to capture a VPS impression.

Speed — After becoming proficient with the scanner, most clinicians can complete the intraoral scanning process for a full-mouth impression in two minutes or less, including both arches and the bite.

iTero Element intraoral scanner

High Precision — The iTero Element scanner utilizes optical and laser scanning to achieve a high degree of accuracy without powder or complicated hovering. This precision is the result of parallel confocal imaging technology, which scans the mouth layer by layer, creating a more accurate representation of tooth and gingival morphology.

Advanced Wand Features — The iTero Element wand is 40 percent smaller than prior systems, making it easier to position within the mouth and more comfortable for the patient. Additionally, the device includes side buttons and a touchpad, enabling user interface control without removing the hand from the wand.

iTero Element infographic

Versatility — In addition to its advantages in taking digital impressions for restorative dentistry, the iTero Element scanner offers unparalleled clinical versatility, including the ability to merge scan files for implant planning, the simulation of orthodontic treatment plans, scan and save data for easy archival and retrieval of digital impressions, and a streamlined Invisalign® workflow (Align Technology, Inc.).

The scanner’s Outcome Simulator is a powerful tool that creates before-and-after virtual tooth movement representations that can be viewed in real time with the patient chairside. Further, the Time Lapse tool allows the clinician to visualize oral health changes over time, helps evaluate problems such as abfraction, wear and tooth fracture, and can improve patient acceptance of clinical solutions and treatment plans.

THE EXCLUSIVE PORTAL TO GLIDEWELL.IO FOR IN-OFFICE MILLING

By connecting the iTero Element scanner to the glidewell.io In-Office Solution, clinicians can design and mill reliable, high-quality restorations, including crowns produced from BruxZir NOW milling blocks — the only fully sintered zirconia available for in-office fabrication — using fastdesign.io™ Software and the fastmill.io™ In-Office Unit (Glidewell Direct). I’ve delivered over 3,500 BruxZir restorations since 2009 and have yet to see one chip or fracture, so the ability to provide patients with high-strength zirconia crowns that can be milled in under 45 minutes offers a new level of confidence for single-day dentistry. Further, having access to time-tested crown designs based on millions of cases fabricated at Glidewell Laboratories greatly simplifies the process of producing an esthetic, well-fitting restoration in-office.

ADVANTAGES OF THE ITERO ELEMENT:

  • Intuitive, user-friendly operation design
  • High-definition, multi-touch display
  • Small wand with continuous scanning
  • Connectivity to glidewell.io In-Office Solution
  • Outcome Simulator and Time Lapse technology
  • Time savings
  • High precision
  • Unparalleled clinical flexibility
The ability to provide patients with high-strength zirconia crowns that can be milled in under 45 minutes offers a new level of confidence for single-day dentistry.
fastmill.io In-Office Mill

As the only scanner compatible with the fastmill.io In-Office Unit, the iTero Element scanner enables fabrication of single-appointment restorations from BruxZir NOW zirconia and several other esthetic, versatile restorative materials.

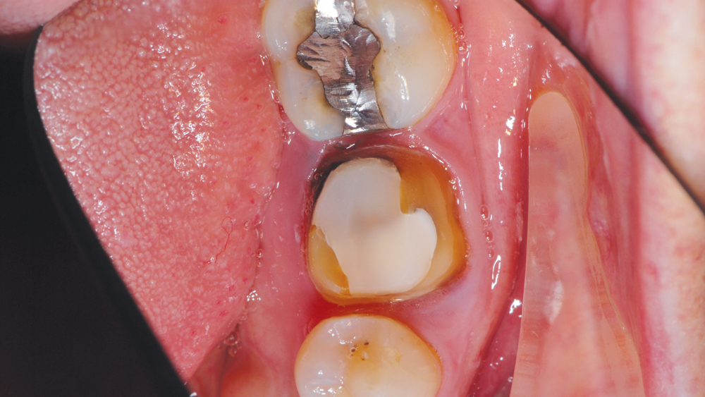
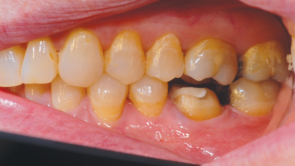
CASE REPORT

The following case highlights the efficient, user-friendly scanning capabilities of the iTero Element scanner, as well as the clinical advantages of connecting to the glidewell.io In-Office Solution for single-appointment dental restorations. The patient sought treatment for a damaged mandibular first molar with a cusp fracture. Because the case called for a single crown and high-strength zirconia, the patient was an ideal candidate for a same-visit restoration milled from a BruxZir NOW milling block. After preparing the tooth and taking an intraoral scan, the crown was fabricated within 40 minutes using the fastmill.io In-Office Unit. The final restoration fit perfectly without adjustment and exceeded the expectations of the patient, who was thrilled that she didn’t have to schedule a second appointment for the crown delivery.

CONCLUSION

Since moving beyond traditional impressions over a decade ago, I have seen the efficiency, cost savings, accuracy and convenience of digital dentistry transform my practice, increase profitability and boost patient satisfaction. With the iTero Element scanner, we now have an intraoral scanning unit that is fast, highly precise and user-friendly, making the tremendous benefits of digital dentistry more accessible than ever before. Further, by pairing the iTero Element scanner with the glidewell.io In-Office Solution, clinicians can gain unparalleled clinical flexibility and the opportunity to mill esthetic, durable single-appointment crowns with ease.

References

  1. ^Patzelt SB, Lamprinos C, Stampf S, Att W. The time efficiency of intraoral scanners: an in vitro comparative study. J Am Dent Assoc. 2014 Jun;145(6):542-51.
  2. ^Svanborg P, Skjerven H, Carlsson P, Eliasson A, Karlsson S, Ortorp A. Marginal and internal fit of cobalt-chromium fixed dental prostheses generated from digital and conventional impressions. Int J Dent. 2014;2014:534382.
  3. ^Pradíes G, Zarauz C, Valverde A, Ferreiroa A, Martínez-Rus F. Clinical evaluation comparing the fit of all-ceramic crowns obtained from silicone and digital intraoral impressions based on wavefront sampling technology. J Dent. 2015 Feb;43(2):201-8.