Transition Crowns Bridges Signature Images
Transition Crowns & Bridges Logo

Transition Crowns & Bridges®

$50*

*Price is per unit and does not include shipping or applicable taxes.

Please note pricing is only available to dental professionals.

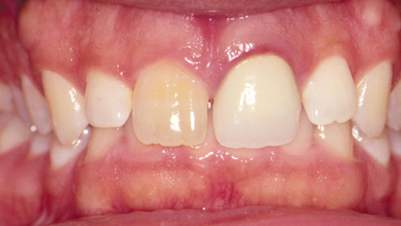
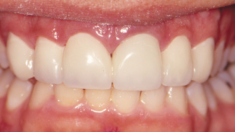
Transition Crowns & Bridges® are a treatment option that fills the void between custom-made temporaries and the final fixed restoration. Whether prescribed for short-term or long-term use, this restorative option offers an inexpensive, long-lasting interim solution.

  • Long-term provisional manufactured with stronger, more durable material
  • Lasts 10 times longer than traditional lab provisionals
  • Design files are stored for 2 years

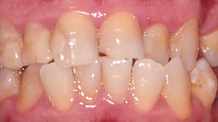
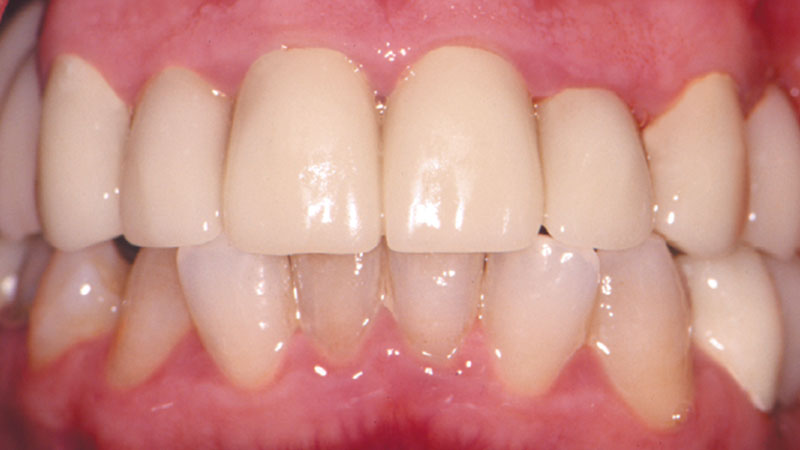
Transition Crowns & Bridges are a treatment option that fills the void between custom-made temporaries and the final fixed restoration. Whether prescribed for short-term or long-term use, this restorative option offers an inexpensive interim solution that lasts 10 times longer than traditional lab provisionals. They are often indicated in compromised cases presented by bruxers, periodontal therapy, the elderly or seriously ill, and dental implants.

Transition Crowns & Bridges are fabricated on either prepared or preoperative models in the laboratory to ensure a precise fit. They are composed of a non-abrasive, monomer-free resin and are hypoallergenic. After preparation, they are relined chairside using either an ethyl methacrylate resin or a bis-acryl composite resin. Once cemented, Transition Crowns & Bridges are guaranteed against breakage with a two-year replacement warranty — even in the case of bruxers and grinders. They can be used in either the anterior or posterior, with a maximum 4-unit pontic span.

Transition Crowns & Bridges Signature Image

Clinical Studies

Specifications

Indications

They are ideal for provisionalization in compromised cases like bruxers, periodontal therapy, the elderly or seriously ill, and dental implants. They can be used in either the anterior or posterior, with a maximum 4-unit pontic span.


Material Composition

Acetal resin


In-Lab Working Times

6 days


Available Shades

A1, A2, A3, A3.5, A4, B1, B2, B3, B4, C1, C2, C3, C4, D2, D3, D4, Bleach


Pricing

Transition Crowns & Bridges®(per unit) (2-year warranty)

Design files are stored for final ceramic work for 2 years.

$50.00
Transition Crowns & Bridges cement over implant (per unit)

Design files are stored for final ceramic work for 2 years.

$61.00

Pricing is subject to change and does not include shipping or applicable taxes.

View full price list


Policies & Warranty

NO-FAULT REMAKE POLICY: Glidewell is pleased to process all remakes or adjustments at no additional charge if requested within the warranty period and accompanied by the return of the original appliance.

LIMITED WARRANTY/LIMITATION OF LIABILITY. Glidewell (“the lab”) warrants that all dental devices (a “device”) are made according to your specification and approval in the belief that the device will be useful and MAKES NO OTHER WARRANTIES INCLUDING, BUT NOT LIMITED TO, ANY IMPLIED WARRANTY OF MERCHANTABILITY OR FITNESS FOR A PARTICULAR PURPOSE. Subject to the return of a device that is placed and then fails, the lab will repair or replace the device without charge for the cost of materials and workmanship or refund the original price paid, at the lab’s option, for up to 2 years for Transition Crowns & Bridges.

 

Resources

Procedures

    Loading results...