CAD CAM Milled Signature Image

CAD/CAM-Milled Acetal Partials

$315*

*Price is per arch, does not include shipping or applicable taxes, and includes cost of Kenson® Teeth. Premium teeth available for an additional cost.

Please note pricing is only available to dental professionals.

CAD/CAM-fabricated acetal partials are removable appliances milled from a solid, shade-matched acetal block that offer patients and clinicians a thin, affordable metal-free alternative to mold-injected thermoplastic partials.

  • No unsightly metal hooks and superior retention with tooth-bearing clasps
  • A similar thinness and level of comfort to cast metal partials
  • High level of accuracy due to CAD/CAM technology
  • Vertical stops prevent the appliance from impacting the tissue

Affordable, Thin, Metal-Free Partials Milled from Acetal Blocks

CAD/CAM-fabricated acetal partials are removable appliances milled from a solid, shade-matched acetal block that offer patients and clinicians a thin, affordable metal-free alternative to mold-injected thermoplastic partials.

CAD/CAM-fabricated acetal partials are an additional treatment option for partially edentulous patients who would normally prefer cast metal partials but want the esthetic clasps of thermoplastic dentures. Additionally, full-contour teeth can be milled into the acetal frame where there is limited space for multiple materials.

Kenson is a registered trademark of Myerson, LLC.

CAD CAM Milled Signature Image

Validations

A Digital Rendering of a CAD/CAM-Milled Acetal Partial

CAD/CAM-milled acetal partials are designed by our technicians based on your specifications.

Digital Rendering of a CAD/CAM-Milled Acetal Partial

A Milled CAD/CAM-Designed Acetal Partial

Once the digital design of the partial meets your specifications, we mill it from a solid disc of acetal resin.

 

A Milled CAD/CAM-Designed Acetal Partial

Clinical Studies

Milled Acetal Partial Dentures: A Clinical Case Report Exploring a New Removable Appliance

A Digital Rendering of a CAD/CAM-Milled Acetal Partial
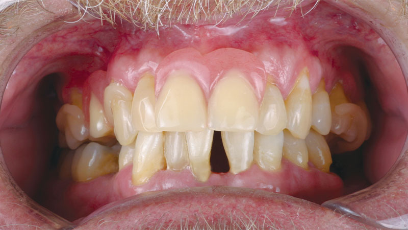
Milled Acetal Partial Dentures Before
Milled Acetal Partial Dentures After

In this case report, Dr. Paresh Patel delivers a CAD/CAM-milled acetal partial to a partially edentulous patient to replace their cast metal partial.

– Clinical dentistry by Paresh B. Patel, DDS

Specifications

Indications

Indicated for the partially edentulous patient that wants an esthetic solution.


Material Composition

Acetal resin frame, acrylic gingiva, denture teeth


In-Lab Working Times

  • Lower/Upper Acetal Partial CC (Finish): 12 days
  • Lower/Upper Acetal Partial CC (Frame): 6 days
  • Lower/Upper Acetal Partial CC (Wax): 11 days

Available Shades

A1, A2, A3, A3.5, A4, B1, B2, B3, B4, C1, C2, C3, C4, D2, D3, D4


Pricing

Acetal partial(CAD/CAM-milled)
$315.001
1

Price includes cost of Kenson Teeth. Premium teeth available for an additional cost.

Pricing is subject to change and does not include shipping or applicable taxes.
 

Policies & Warranty

NO-FAULT REMAKE POLICY: Glidewell is pleased to process all remakes or adjustments at no additional charge if requested within the warranty period and accompanied by the return of the original appliance.

LIMITED WARRANTY/LIMITATION OF LIABILITY. Glidewell (“the lab”) warrants that all dental devices (a “device”) are made according to your specification and approval in the belief that the device will be useful and MAKES NO OTHER WARRANTIES INCLUDING, BUT NOT LIMITED TO, ANY IMPLIED WARRANTY OF MERCHANTABILITY OR FITNESS FOR A PARTICULAR PURPOSE. Subject to the return of a device that is placed and then fails, the lab will repair or replace the device without charge for the cost of materials and workmanship or refund the original price paid, at the lab’s option, for up to 1 year for acetal partials or 30 days for immediate acetal appliances.

Resources

Clinical Tips

The acetal clasps can be adjusted with heat and the frame with a carbide bur.

Additional Resources

Literature

    Loading results...