In this issue:

Sections

Smiling from the Inside Out: Restoring a Smile After an Eating Disorder

March 3, 2020
 image
Susan McMahon, DMD
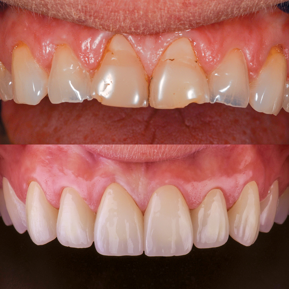
Smiling from the Inside Out: Restoring a Smile After an Eating Disorder

Treating patients with teeth ravaged by the effects of eating disorders requires a level of care and consultation beyond what is necessary for almost any other presenting dental scenario. It would clearly be counterproductive to restore the smile of someone still struggling with bulimia because the continued purging would destroy new restorations as completely as it did the patient’s natural teeth. But how can dentists be certain their patient’s struggles with purging are no longer present? How can we address the shame and secrecy that so commonly accompany these patients?

I was fortunate with Peggy. It was clear from our first consultation that she had freed herself from the grasp of anorexia and bulimia, and was well on her way to achieving optimal health. She spoke with focused intention about being ready to have her teeth fixed and “feel whole again.” This is not common. More typically, such consultations require careful questioning, asking if perhaps the client is experiencing digestive problems like acid reflux or GERD, and even those questions often can’t compete with the shame-driven evasiveness of a patient with an eating disorder.

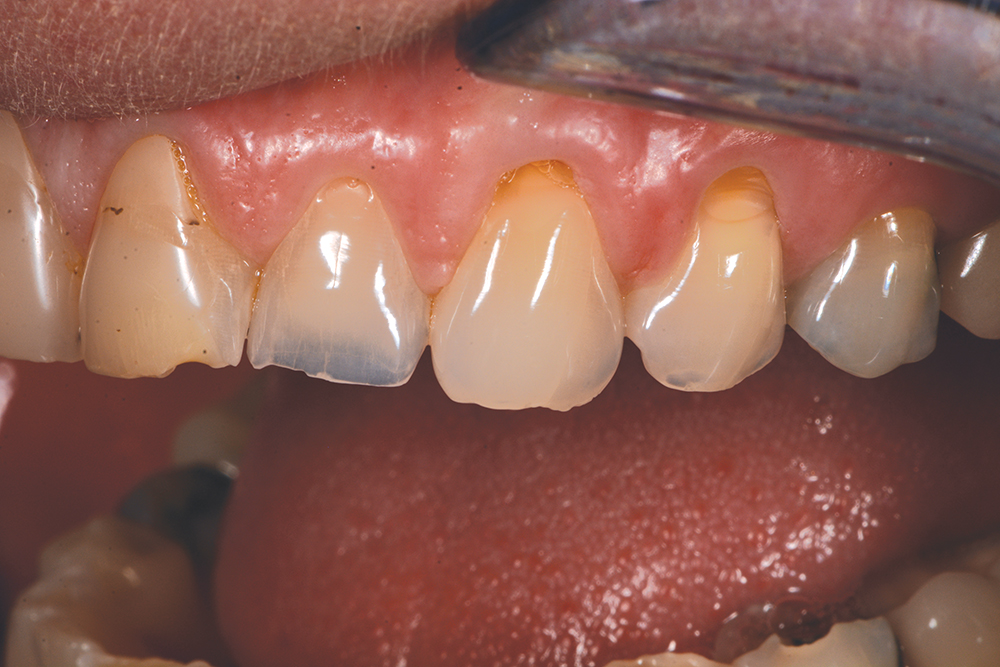
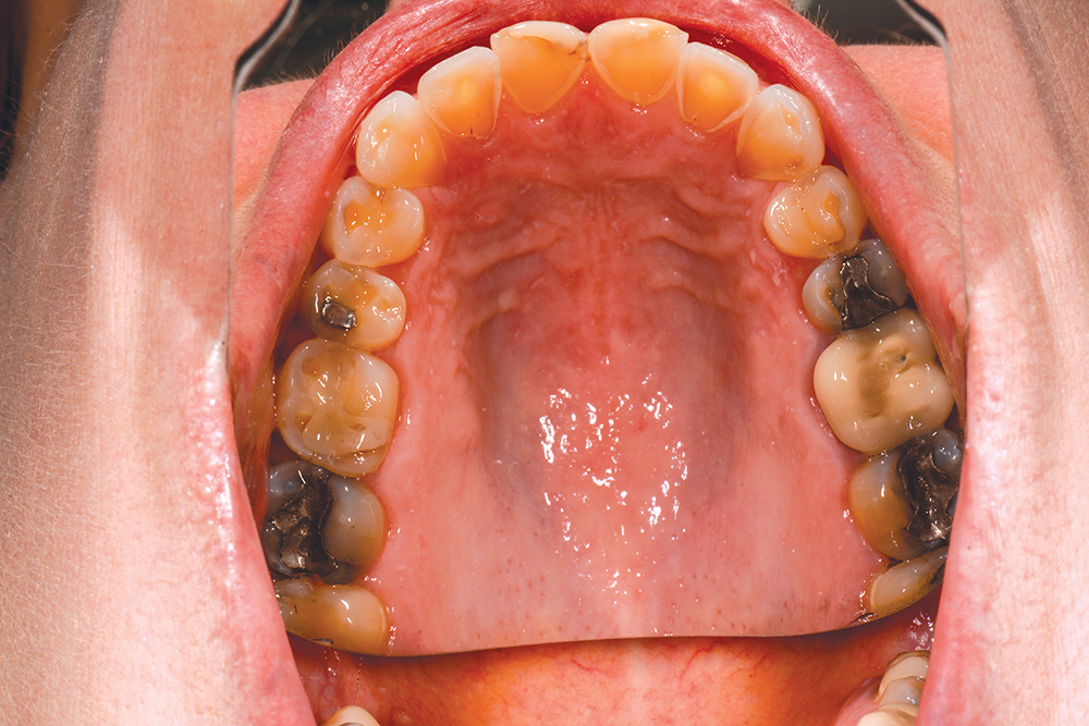
Peggy’s teeth told a devastating story. Repeated exposure to highly corrosive stomach acids had almost completely stripped the palatal side of her upper teeth of their enamel and shortened their length. After some consultation, we decided together that a full-arch reconstruction of her maxillary teeth was the best option.

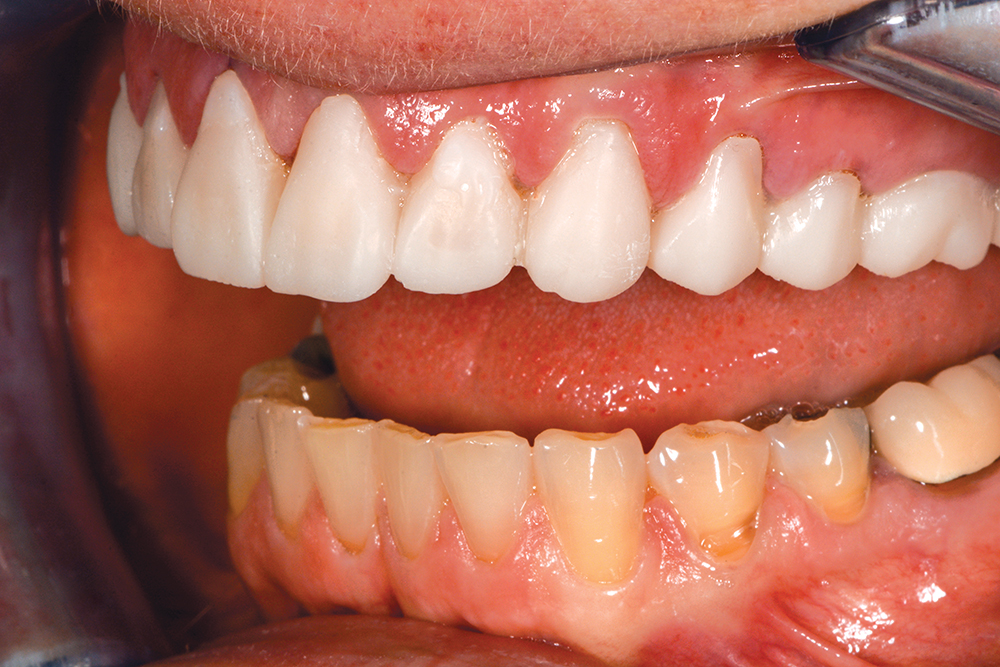
Peggy’s presenting smile was the manifestation of the pain and trauma created by her eating disorder. Today she smiles often and freely, secure in the knowledge that her disorder no longer haunts her and that her new look is indicative of the joy she feels each day.