My First Glidewell HT™ Implant

August 24, 2021
 image
Leif Löberg, DDS
My First Glidewell HT™ Implant Leif Löberg, DDS Hero Image CSMV16I2

Note: The Hahn Tapered Implant System is now known as the Glidewell HT Implant System

Dr. Leif Löberg is a general dentist who maintains a private practice in Laguna Hills, California, with a strong emphasis on implant treatment. He is so passionate about implants that he runs a local study club and takes pride in mentoring other dentists as they learn how to place implants. Here, Dr. Löberg discusses how implants became such an important part of his life, how offering implant treatment has generated a steady stream of new patients, what led him to switch to the Hahn™ Tapered Implant System, and the life-changing and practice-building effects of the “emergency” implant procedure.

CHAIRSIDE® MAGAZINE: How long have you been practicing dentistry, and what led you to pursue this field as a profession?

DR. LEIF LÖBERG: I had a fantastic dentist while I was growing up in Canada — he was incredible. I’d always have a very fun experience when I’d go in for my appointments, and I was just fascinated by the profession. I distinctly remember telling him, “When I grow up, I’m going to be a dentist like you.” I was in the fourth grade at the time and that ambition stuck with me throughout my childhood. And my dad actually ended up owning a dental laboratory, so I was pretty familiar with the dental world and the technical aspects of restorative dentistry, including waxing, casting, plaster, model work and denture setups. So that combination of experiences led me to a career path in dentistry. After finishing my undergraduate degree at the University of Toronto, I got into NYU College of Dentistry, which had a phenomenal clinic and no shortage of patients.

CM: How long have you been placing implants, and what initially got you interested in making them part of your practice?

LL: I actually placed my first implant during my third year of dental school. A really good friend of mine who was an oral surgery resident took me under his wing. He asked me if I wanted to learn how to do implants. I always had a love for surgery and some of my patients needed them, so I jumped at the opportunity. He said: “Great! Let’s schedule it in the oral surgery clinic. I’ll show you how to place implants on one side of the arch, and you can do the other side.” That’s how it started. Whenever I’d see a patient with an unstable removable denture, I just knew there had to be a better way to replace teeth, so I was thankful to learn how to place implants so early in my career.

Dr. Leif Löberg and associate dentists and staff

Dr. Leif Löberg and the associate dentists and staff at his practice have built a thriving business by offering patients the full array of implant services, from surgical placement to restoration. “A lot of patients specifically come to us because we can place the implant, restore the implant and handle everything under one roof,” says Dr. Löberg.

In my senior year, I did an oral surgery honors program, so that was a weekly commitment to the oral surgery department. I intended to pursue a specialty in oral surgery, but as life would have it, my father-in-law passed away during my senior year, and that basically derailed the whole residency plan. But I have no regrets whatsoever. Being able to provide implant treatment in the general practice is just so rewarding for me as well as my patients, and we do so much surgery, from single-tooth immediate implant placement to all-on-4 restorations.

Providing everything under one roof not only increases acceptance of treatment — it creates a robust, long-term relationship with patients.

CM: So you were placing implants right off the bat when you opened your practice?

LL: Yes, and after I started regularly placing implants I realized there were other things I wanted to learn, so I took a bunch of courses. I took a couple classes from the Perio Implant Institute to learn more about grafting and the use of membranes. I attended quite a few continuing education courses through Nobel Biocare, and one of them was taught by Dr. Jack Hahn. He was a huge proponent of the NobelReplace® implant he invented for Nobel and was also a big advocate of implant placement in the general practice, so I really felt a shared passion with him.

In Dr. Hahn’s course, there were some oral surgeons as well as a few general dentists in the group. He said that he had never seen a general dentist become a “Diamond Member” for Nobel Biocare, which at the time meant you were placing about 300 implants a year. It took me about a year to become a Diamond Member, so I really took to it. These days you’re seeing a lot of general dentists learning how to place implants, but it wasn’t as common back then. After taking a big series of courses, and each of them had these “pearls” that I’d take back with me to my practice, we formed an implant study club for general dentists.

CM: Is the study club still active?

LL: Yes, it’s morphed into a monthly meeting, though we’ve been on hiatus due to COVID-19. We call it the Orange County Implant Study Club for General Practitioners. The inspiration behind it is to allow a forum where general dentists can discuss cases they have coming up, look at radiographs and CT scans, help each other treatment plan, and share our experiences placing and restoring implants. It’s a place where you can ask questions that are diagnosis-related or address strategies on how to handle a certain challenge, whether that be a series of broken teeth or how to immediately place an implant into an extraction site. We like to have guest speakers come in and lecture the group on various topics, techniques and procedures.

CM: How important are implants to the services you offer patients these days?

LL: My practice has a huge emphasis in implant dentistry. A lot of patients specifically come to us because we can place the implant, restore the implant and handle everything under one roof. The No. 1 reason that a patient wants to receive treatment in a dental office is because of their love for the staff and the dental team. Patients get very comfortable going to a practice for regular maintenance and teeth cleanings. They get used to how the finances are handled at the front desk, and they’ve got a great relationship with the dentist, the hygienist and the assistants. So they’d rather not have to go somewhere else if they need to have their tooth replaced. They want to receive care from the dentist they’re comfortable with versus being sent to an oral surgeon and possibly to a prosthodontist for the restoration. That’s potentially two other offices that they would be completely unfamiliar with, and many patients simply don’t follow through on treatment as a result.

Dr. Löberg

Patients have travelled great distances to receive care from Dr. Löberg, who takes pride in being able to offer patients the treatment they need, from emergency implant placement and provisionalization to full-arch implant restorations.

I think some dentists stay away from implant placement because it involves tooth extraction and surgery, but the surgical principles are very straightforward and can be handled by the GP, especially with all the great training available these days from the likes of the Misch-Resnik Implant Institute and Glidewell.

CM: Can you talk about how you ended up switching to the Hahn™ Tapered Implant System (Glidewell Direct; Irvine, Calif.)?

LL: It’s interesting — my first implant system was the NobelReplace implant, which was created by Dr. Hahn. I’ve used several other implant systems since, including NobelActive®. Fast-forward all these years later and Jack comes up with the Hahn implant, which gets the blessing of the late Dr. Carl Misch and becomes the official implant of the Misch-Resnik Implant Institute. It’s just an amazing evolution to witness what Dr. Hahn has done for the whole implant community. So when I discovered that Jack had come out with a new implant and I saw all of the accolades and design features, I was ready to switch. I saw some publications and literature with regard to the design of the implant. After looking into it, I quickly realized that the overall design features of the Hahn implant were everything I needed.

No. 1, the implant is platform-switched with a conical connection, which the research has shown to provide excellent crestal bone stability. This avoids the lesions and micro-movement you can get over the long-term with a butt-joint implant with trilobes, which is what I was experiencing with some of the other implant systems I’ve used. And I love the machined collar of the Hahn implant because you don’t have to worry about the tissue irritation that often occurs when you have a roughened surface that runs all the way to the top of the implant.

After buying the surgical kit and some implants, I started placing them, and seeing how they perform during surgical placement was just incredible. The surgical protocol is so streamlined. It makes the procedure a no-brainer and really reflects the many years of research and clinical work that Jack put into the design. We have associates who join our practice, and when I train them on how to place an implant, it’s such a simple, easy-to-learn system that makes the procedure easier to understand. There are no drill stops needed, and I love the fact that it’s a color-coded sequence. Once you make the diagnosis and plan the case, you just follow the steps and everything falls into place. And we keep track of all the implants we place with radiographs, and the bone levels and stability have held up amazingly.

CM: Are there any cases that really stand out from when you first started placing Hahn implants?

LL: My very first Hahn case was memorable, as are pretty much all immediately placed implants. A patient had damaged her maxillary central incisors and urgently desired treatment. She had been in a bicycle wreck when she was younger, and two root canals were done. Over the years, the crowns were replaced, and then she had an accident where one of the teeth completely fractured off at the gum line. The other tooth had developed a situation where the cavity underneath the existing crown was untreatable.

Endodontically treated tooth
Teeth needing extraction

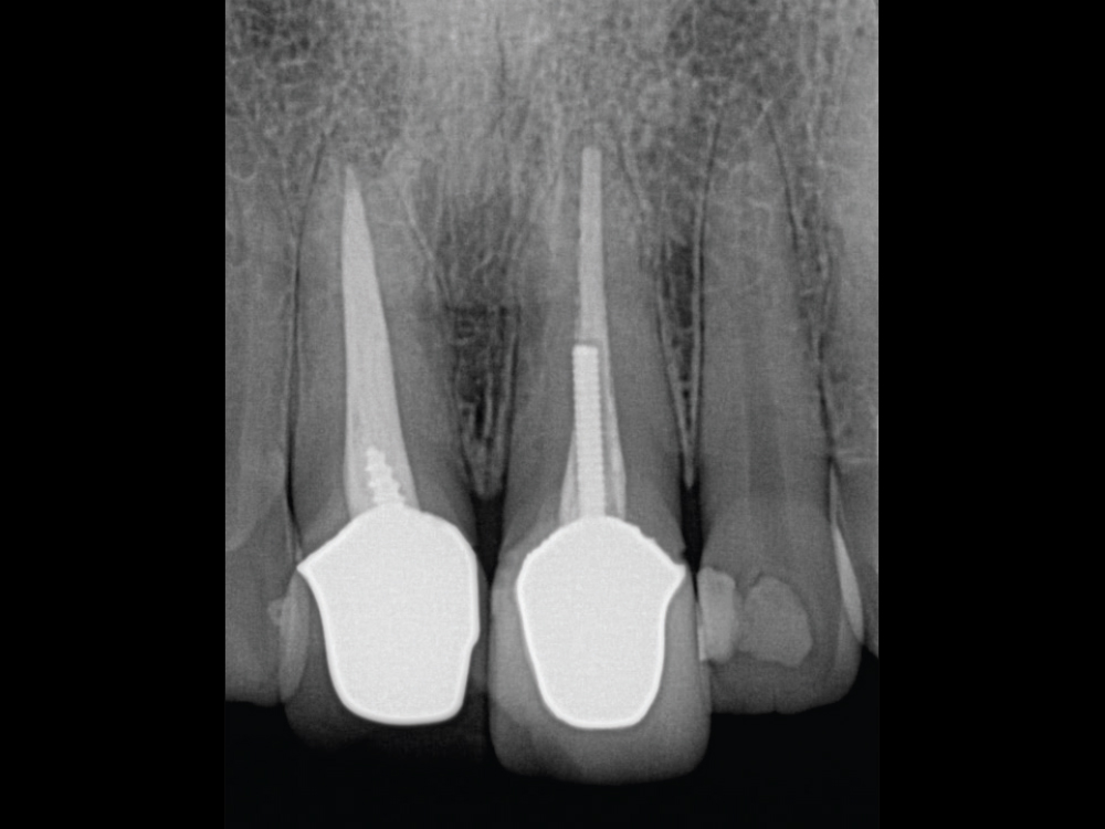
After taking care to atraumatically remove the central incisors while avoiding damage to the buccal plate, two 3.5-mm-diameter Hahn Tapered Implants were placed into the extraction sockets. The pronounced thread design of the implants helped maintain proper position against the palatal wall during placement. The gaps between the implants and the extraction sockets were filled with Newport Biologics™ Mineralized Cortico/Cancellous Allograft Blend (Glidewell Direct).

What does that do for the patient? In a single appointment, patients regain their human dignity and confidence. They’re not missing a tooth anymore, and they can return to normal. Patients are actually shocked that this kind of treatment is possible. After an experience like that, word about your practice spreads like wildfire because the patient returns to work and says: “My tooth broke off, I went to my dentist in a panic, and they gave me a brand new tooth in one appointment! It stays in place just like a real tooth while the implant heals.”

That’s really what the emergency dental implant is all about. You’re taking a patient who is quite fearful about their situation and giving them something to smile about. And this happens a lot. I always tell my staff, “It’s Monday morning — be prepared for a surprise where the patient walks in with a broken tooth in their hand from an accident or a baseball game.” We figure out a way to fit these patients into the schedule and then we help them. And that’s really what we are here for.

CM: Do you take advantage of the 20% discount Glidewell offers on cases restored over Hahn implants?

LL: Yes, and it’s really wonderful. When we do a BruxZir® Implant Prosthesis restoration, it saves us nearly $700 per arch, which makes a big difference. We pretty much exclusively depend on Glidewell for our restorations, whether it’s a screw-retained restoration, a custom abutment with cementable crown, or a full-arch case. So the cost savings really add up over time and help lower the cost of treatment for our patients. I really love how the lab has fine-tuned the protocols for restorations, and it’s so nice that, just like the Hahn implant, they’re made right there in Irvine, California. I got a chance to tour the manufacturing facility, and it was phenomenal. I even brought my dad, who owns a small lab of his own and I’d hear talk about Glidewell when I was growing up, and he was just blown away.

So as far as the cost of providing treatment and getting a great outcome, it makes a lot of sense to restore a Hahn implant with Glidewell. It’s your system and you understand the entire surgical and restorative process. And I know Jim Glidewell has trained his technicians in the Implant department to understand things like emergence profile and all the necessities to create a beautiful implant restoration.

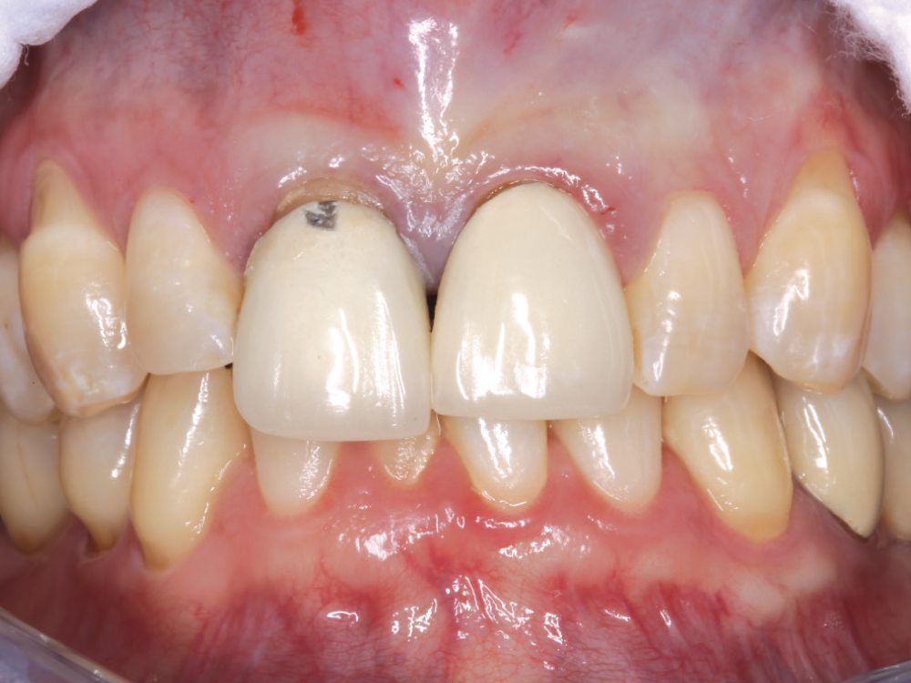
Screw-retained crowns
Fixed teeth in a day

The Hahn implants achieved high primary stability, allowing for immediate provisionalization. Temporary screw-retained crowns were fabricated chairside and connected to the implants, providing the patient with fixed “teeth in a day” that would help facilitate an esthetic outcome by sculpting the gingival tissue during healing.

Gold-tone custom abutments
Life-like esthetic restorations
Scanner view of abutments

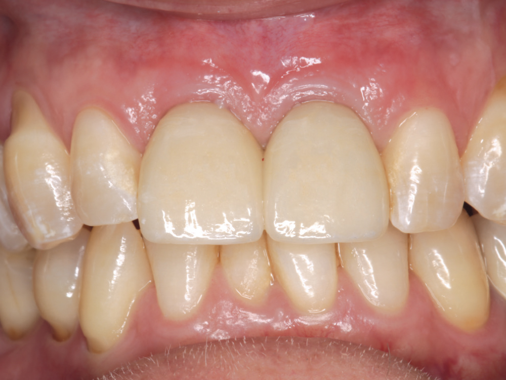
Four months after the surgical procedure, gold-tone custom abutments and all-ceramic crowns were delivered. The custom abutments and implant crowns were produced for a reduced fee because of the 20% discount offered by Glidewell for restorations over Hahn implants. The final restorations achieved esthetic, lifelike emergence profiles due to the soft-tissue management provided by the immediate provisional restorations during the healing phase. Note the crestal bone levels around the Hahn implants.

CM: As a general dentist who has embraced implants in your practice, can you talk about how doing so has affected your business, your staff and your patients over the years?

LL: From the patient’s perspective, the ability to have implants placed and restored by their general dentist is really the ideal situation. If someone needs their tooth replaced and you’re able to help them through the entire process without having to send them to another office, that creates a tribe of really loyal patients for your practice. I have found that even when some of these patients move away, they’re willing to drive 100 or 200 miles to see me because many years ago I helped them out with a broken tooth and now they’re in another situation where they need an implant.

Implants create a strong relationship with patients. It’s a surgical procedure where you’re replacing a part of them that they’ve lost. There’s a connection that you establish with the patient. From a business standpoint, providing this service is not only the most valuable treatment we offer, but it also has built our hygiene department due to the need to provide regular care for implant restorations. In terms of growing the practice, our business is so much more robust. As I mentioned, when we bring associate dentists on, we get them all the implant training they need and guide them through the whole process. It’s an over-the-shoulder apprenticeship, if you will. And I’ve seen personally how much of a difference it makes in their careers and, most importantly, in the lives of their patients.