How to Select the Right Surgical Guide

November 1, 2024
 image
Taylor Manalili, DDS
How to Select the Right Surgical Guide

Glidewell’s Digital Treatment Planning (DTP) team provides dentists with the full range of guided surgical solutions needed to perform most implant procedures. But how does the doctor determine which surgical guide is best for a particular case? With this simple breakdown of Glidewell’s options for surgical guides, doctors will be able to make more informed decisions.

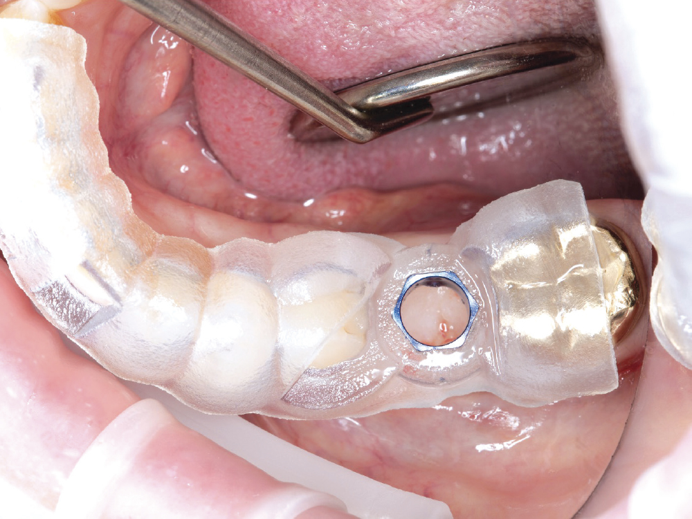
TOOTH-SUPPORTED

TOOTH-SUPPORTED

When to Use

Stable remaining teeth

A common misconception is that tooth-supported surgical guides can only be used when a space is surrounded by teeth on the mesial and distal. Glidewell can fabricate tooth-borne guides for cases with a distal or medial extension and include cross-arch supports for added stability, as long as there are enough teeth in the area to support the guide.

The Main Benefit

Stability

When patients have stable teeth to work with, these guides offer the best accuracy for surgical placement.1

Teeth provide stability and retention to tooth-supported guides allowing precise placement of single or multiple implants. If there are sufficient remaining stable teeth, these guides provide the greatest surgical accuracy.
Teeth provide stability and retention to tooth-supported guides allowing precise placement of single or multiple implants. If there are sufficient remaining stable teeth, these guides provide the greatest surgical accuracy.

Teeth provide stability and retention to tooth-supported guides allowing precise placement of single or multiple implants. If there are sufficient remaining stable teeth, these guides provide the greatest surgical accuracy.

TISSUE-SUPPORTED

TISSUE-SUPPORTED

When to Use

Partially edentulous

Edentulous

Tissue-supported guides sit directly on the mucosa in the absence of teeth. The tissue will support and stabilize the guide throughout the surgery, therefore it is recommended that the tissue be healthy and firm. Varying soft-tissue thicknesses and quality can decrease the stability of the surgical guide.

The Main Benefit

Reduced risk of damage to vital anatomy

Available in multi-level, or “stackable,” options

When patients have good quality mucosa, these guides are an excellent option for reducing the number of surgical steps required to perform the implant procedure. It’s important to note that tissue-borne guides are the least accurate option due to pressure exerted during surgery in combination with the resilient mucosa, which may cause the guide to move.2

Tissue-supported guides are held in place by mucosa and fixation pains. No reflection of soft tissue is necessary when using these types of guides.
Tissue-supported guides are held in place by mucosa and fixation pains. No reflection of soft tissue is necessary when using these types of guides.

Tissue-supported guides are held in place by mucosa and fixation pins. No reflection of soft tissue is necessary when using these types of guides.

BONE-SUPPORTED

BONE-SUPPORTED

When to Use

Partially edentulous

Edentulous

Bone-supported surgical guides are often used for full-arch patients that are being edentulated or are already edentulous. These guides seat directly on the alveolar ridge requiring extensive tissue reflection to properly seat the guide.

The Main Benefit

Added stability in edentulous cases

Available in multi-level, or “stackable,” options

For fully edentulous situations, bone-supported surgical guides offer better stability and accuracy than tissue-supported.3 When used in the multi-level format, these guides come fabricated with a foundation guide that sits on the bone, as well as a bone-reduction guide, osteotomy guide, and other components for immediate loading of a full-arch screw-retained provisional prosthesis when desired.

After flapping the soft tissue, bone-supported surgical guides are anchored to the alveolar ridge and/or load-bearing bony anatomy for support. Bone-supported guides fabricated by the Glidewell DTP team now also come with a bone-reduction guide to ensure accurate bone levelling.
After flapping the soft tissue, bone-supported surgical guides are anchored to the alveolar ridge and/or load-bearing bony anatomy for support. Bone-supported guides fabricated by the Glidewell DTP team now also come with a bone-reduction guide to ensure accurate bone levelling.

After flapping the soft tissue, bone-supported surgical guides are anchored to the alveolar ridge and/or load-bearing bony anatomy for support. Bone-supported guides fabricated by the Glidewell DTP team now also come with a bone-reduction guide to ensure accurate bone levelling.

Guided surgery makes it easier to achieve the ideal implant placement needed for an optimal prosthetic outcome. Through digital treatment planning, a top-down approach can be utilized by first establishing the proper tooth position. Once the restoration is planned, the implant position and abutment choice is much easier to determine. The Glidewell DTP team makes it simple and straightforward to submit and plan a case. Here’s how to get started:

The Glidewell DTP team makes it simple and straightforward to submit and plan a case. Here’s how to get started

Glidewell also provides ample opportunities to save on costs. To maximize savings and efficiency, doctors can take advantage of the Glidewell HT Surgical Bundles. These bundles come with all of the components needed for surgically guided implant placement, healing or temporization, and impressions for one low price. When dentists restore over Glidewell HT Implants through Glidewell, an additional 20% discount will automatically be applied to the restoration. For more information on pricing, as well as downloadable step-by-step clinical guides, protocols and photo templates for each type of surgical guide, doctors can visit
glidewell.com/dtp.

Call 866-497-3692 or email DTP@glidewelldental.com to start a case today.

References

  1. Turbush SK, Turkyilmaz I. Accuracy of three different types of stereolithographic surgical guide in implant placement: an in vitro study. J Prosthet Dent. 2012 Sep;108(3):181-8.

  2. Arisan V, Karabuda ZC, Pişkin B, Özdemir T. Conventional multi-slice computed tomography (CT) and cone-beam CT (CBCT) for computer-aided implant placement. Part II: reliability of mucosa-supported stereolithographic guides. Clin Implant Dent Relat Res. 2013 Dec;15(6):907-17.

  3. Schneider D, Marquardt P, Zwahlen M, Jung RE. A systematic review on the accuracy and the clinical outcome of computer-guided template-based implant dentistry. Clin Oral Implants Res. 2009 Sep;20 Suppl 4:73-86.