Q&A with Justin Chi, DDS, CDT: Milling In-Office Inlays and Onlays with CAMouflage® NOW

January 29, 2018
 image
Justin Chi, DDS, CDT
Q&A with Justin Chi Cover Image

Dr. Justin Chi is a Glidewell Dental clinical research associate who regularly treats the company’s employees using the latest CAD/CAM materials engineered by the in-house Research & Development department. After the materials are fully developed and proven to be successful, Dr. Chi is instrumental in fine-tuning the protocols for dental practitioners and providing feedback to R&D that will help create the next generation of dental restoratives. One of the materials Dr. Chi has been working with is CAMouflage® NOW, a nanohybrid composite material in block form designed for inlays, onlays, veneers and full-coverage crowns. Milled in-office, CAMouflage NOW provides fast and esthetic restorations in one appointment.

CHAIRSIDE® MAGAZINE: Thank you for sitting down with us today, Dr. Chi. Can you tell us about CAMouflage NOW?

DR. JUSTIN CHI: Of course. CAMouflage NOW is a material that I have had a lot of experience with. Camouflage NanoHybrid Composite used to be available only as a direct restorative composite material and indirect restoration, but it is now also available as a solid block of the nanohybrid composite used for milling restorations in-office. The material is great. As a nanohybrid composite, its mechanical properties mimic natural dentition, making it easily adapt to the flexural stresses that a tooth undergoes.

CM: And those blocks are milled with the fastmill.io™ In-Office Unit?

JC: That’s right, using the glidewell.io™ In-Office Solution. Digital impressions are taken of the prep, opposing and bite; the scan data is sent to the fastdesign.io™ Software, where I guide the system in creating the restoration design; and that design file is sent to the fastmill.io In-Office Unit. The glidewell.io Solution is the most convenient option to scan, design and mill CAMouflage NOW, but it can also be milled with other chairside milling systems.

CM: After tooth preparation, how long does the process take?

JC: Speed is another benefit of this material and these digital technologies. Scanning takes about three minutes, designing about five minutes, and, depending on the restoration type, the milling process takes six to 10 minutes.

CM: Would you consider speed to be the standout feature of CAMouflage NOW?

JC: I would, along with its esthetics. Especially when you pair those features with more conservative restoration types, like inlays and onlays.

CM: Why inlays and onlays?

JC: Inlays and onlays are a superior restoration in some cases because more tooth structure is preserved. However, because temporizing inlays and onlays is more tedious than crowns, they make up a very small percentage of the restorations that dentists prescribe.

But if you have an entire in-office system where you can scan, design and mill in under 20 minutes, the temporization step is eliminated. All that is needed post-milling is removal of the sprue with a fine diamond and a quick polish with diamond polishing paste. The restorations fit great, allow us to restore our patients’ teeth to good form and function with relative ease, and are among the quickest same-day restorations out there.

CM: Is post-mill staining or glazing necessary?

JC: No. I rarely do it. Staining can definitely take restorations to the next level, but the material is available in multiple shades and two translucencies that allow ideal esthetics. I find the low-translucency blocks work best in full-coverage situations and high-translucency blocks work best for partial coverage, where the material blends in well with the surrounding tooth structure. You can’t go wrong with either formulation, but the option is there if you want to use a light-curing stain.

CM: And the preparation requirements mirror lab-fabricated inlays and onlays?

JC: Yes. Being able to visualize all the internal walls and margins from an occlusal view is critical. The prep needs divergent angles and no undercuts to allow for a path of draw. If I find I need to remove too much to create that divergence or eliminate the undercut, I will fill the undercut with composite. Once the undercuts are eliminated, I make sure there’s at least 1.5 mm of depth for optimal material thickness. And because we adhesively bond them, it is best to keep margins supragingival if possible.

A lot of the inlays and onlays I place are to replace failing amalgam restorations. That tends to make things easier because amalgam restorations also require about 1.5 mm of depth, so those preps should already be close to that. However, we have to be careful with amalgam preps because retentive features were usually prepped intentionally to mechanically retain the restoration. The depth may be right, but you’ll have to eliminate undercuts.

Ensuring the prep has rounded internal angles is also important because the fastmill.io In-Office Unit, like all in-office mills, uses round-ended tapered diamond burs, and we want to use similar burs to prep. Any sharp angles are impossible for today’s mills to create. We want smooth and flowing surfaces, especially along the cavosurface margins and the finish line of our preparation. Any unsupported enamel, especially on the vertical aspects of the margin on the buccal or lingual, should be removed. I do that with a sharp scaler, fine grit flame diamond bur or a diamond-tipped sonic scaler.

In-office mills open a lot of avenues in the general practice, and materials like CAMouflage NOW and the restorations that can be milled are starting to change doctors’ minds.

CM: Is there any difference in the bonding procedure for chairside restorations compared to inlays and onlays from a lab?

JC: The only difference is that the doctor must air-abrade the intaglio surface with 50-micron aluminum oxide prior to bonding, instead of receiving the restoration with this process having already been completed by the lab. All of the critical factors when it comes to bonding are no different than a direct composite, such as ensuring good isolation, and the absence of blood, saliva or other contaminants.

CM: Do you believe dentists who currently do direct composite restorations or place inlays and onlays will make the switch to this material?

JC: There are very talented dentists who can do huge direct restorations, and I’m sure they do them well, but I believe if they were given the choice, they’d choose an inlay or onlay milled from a solid material, especially if it fits right and there’s no guesswork. There will always be a place for direct restorations and lab-fabricated restorations, but the ability to quickly mill esthetic inlays and onlays in-office makes providing treatment much easier than before.

CM: Do you have any tips for doctors who don’t typically place inlays or onlays?

JC: Be patient with the bonding protocol. Because there’s no mechanical retention, we have to rely on actual bonding and micromechanical retention, so following the bonding protocol is important.

As far as patient acceptance of inlays and onlays is concerned, I’ve heard that some dentists use a typodont with a crown on one tooth and an inlay or onlay on another tooth to show patients and ask their preference. Some patients will opt for an inlay or onlay once they see how minimally invasive they are compared to a full-coverage crown.

CM: Many practitioners have yet to adopt in-office mills. Will CAMouflage NOW change this?

JC: I do see CAMouflage NOW and the glidewell.io Solution playing a role in increasing digital technology adoption. In-office mills open a lot of avenues in the general practice, and materials like CAMouflage NOW and the restorations that can be milled are starting to change doctors’ minds. I have spoken with a number of dentists who have adopted CAD/CAM systems, and one of the biggest reasons was because they wanted to offer more conservative treatment. Crowns have been the norm for so long and certainly are necessary in many situations, but having these new technologies creates more options for us to provide what’s best for our patients.

CAMouflage NOW inlays and onlays are essentially the ultimate same-day restoration. It is an ideal treatment for patients in some situations — it’s conservative, extremely quick and can be done in a single visit. If dentists want to get started with digital technologies, this combination of material, restoration type and in-office solution is the easiest pathway to transition, in my opinion.

CM: Thanks for sharing with us, Dr. Chi. We look forward to the release of CAMouflage NOW and the glidewell.io In-Office Solution.

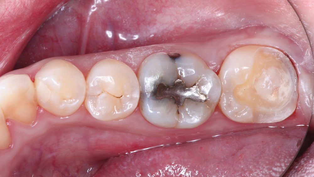
Patient's teeth #19 and #20 pre-op
Patient's teeth #19 and #20 during prep
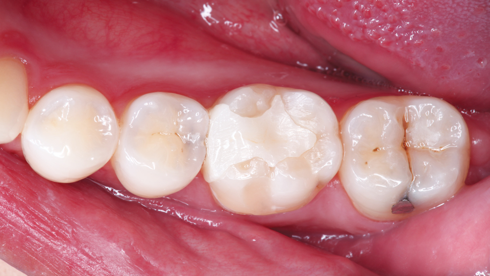
Patient's teeth #19 and #20 after delivering CAMouflage NOW onlay and inlay

Pre-op, prep, and delivery of CAMouflage NOW onlay on tooth #19 and inlay on tooth #20.

Patient's tooth #31 during pre-op
Patient's tooth #31 during prep of onlay
Patient's tooth #31 after onlay was delivered

Pre-op, prep, and delivery of onlay on tooth #31.