Product Spotlight: Veneer Materials

January 29, 2018
 image
Anamaria Muresan, DMD, ME, CDT

With the advent of CAD/CAM dentistry and monolithic restorative materials, the options for dental veneers have expanded well beyond traditional porcelain restorations, which are prone to fracture and can cause wear of the opposing dentition. Zirconia and lithium silicate veneers that are both strong and esthetic are now available, affording clinicians a high degree of flexibility when addressing the needs of the individual patient.

The comparative advantages of the three most popular dental veneers offered by Glidewell Laboratories are summarized in this article, along with cases illustrating clinical situations ideal for each material. Ultimately, deciding on the best material option depends on the strength characteristics and esthetics required for each individual case.

BRUXZIR® ANTERIOR SOLID ZIRCONIA

With an average flexural strength of 650 MPa, BruxZir® Anterior is the highest-strength option for dental veneers. The durability of this zirconia material is accompanied by a level of translucency that fulfills the requirements within the esthetic zone. Due to its ability to withstand chipping and fractures, BruxZir Anterior is ideal for patients who have a history of clenching, bruxing or grinding. BruxZir Anterior is also advantageous in cases where less tooth reduction is desired, as the material excels in masking the underlying tooth and its strength allows for a thinner veneer.

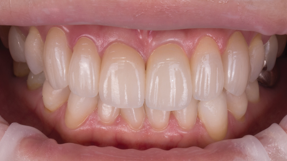
Patient with misalignment and minor cracks on his maxillary anterior teeth
Patient's teeth during restoration procedure for teeth #4–13
Patient after photo smile with improved color, alignment and esthetics of his anterior teeth

In this case, the patient sought veneers for his maxillary anterior teeth, which exhibited misalignment, minor cracks and fluorosis spots. Because he was an athlete with a passion for contact sports, he required the most durable restorations possible. After performing minimal preparations for his central and lateral incisors, minimum thickness BruxZir Anterior veneers were fabricated by Glidewell Laboratories. The veneers were then bonded to teeth #4–13, greatly improving the color, alignment and esthetics of his anterior teeth.

OBSIDIAN® LITHIUM SILICATE

Obsidian® lithium silicate (Glidewell Laboratories; Newport Beach, Calif.) is a highly translucent all-ceramic material that exhibits lifelike vitality. With four times the flexural strength and twice the chipping resistance, Obsidian veneers are more durable than dental porcelain and are indicated for the most esthetically demanding cases. They are also an excellent option for combination cases with Obsidian Fused to Metal restorations. Traditional all-ceramic prep requirements are followed to deliver Obsidian veneers, and a more extensive preparation may be required to conceal the shade of the tooth being restored.

This patient visited my office unhappy with the esthetics of her maxillary dentition and showed no signs of parafunctional habits. Due to existing root canal treatment, tooth #9 was prepared for an Obsidian crown, while conventional veneer preparations were performed on teeth #6, #8 and #11 for Obsidian veneers. The preparations for #7 and #10 were more extensive and wrapped around the interproximal to encase composite buildup and achieve proper veneer margins on the structures of the teeth. The patient was very happy with the lithium silicate restorations, which matched the color and translucency of her natural teeth extremely well.

IPS E.MAX®

To maximize the options available to clinicians, Glidewell Laboratories also offers veneers fabricated from IPS e.max® (Ivoclar Vivadent), which, like Obsidian, is optimal for cases with complex esthetic demands. IPS e.max is a monolithic lithium disilicate ceramic that can be adhesively bonded to deliver a natural-looking restoration for the patient. As with Obsidian veneers, more tooth preparation is necessary than with BruxZir Anterior veneers due to the translucency of lithium disilicate.

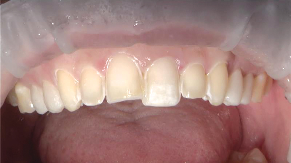
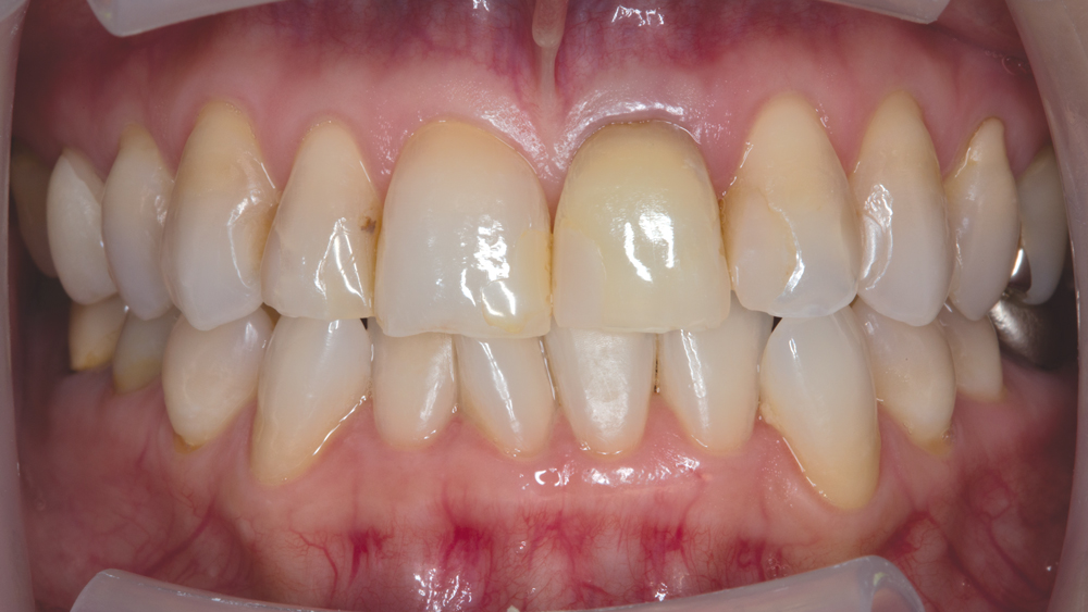
Patient's teeth before photo of teeth #7–10 exhibiting chipping along the incisal edges and loss of vertical dimension
Patient restorative after photo

IPS e.max veneers were fabricated for a patient seeking to improve the esthetics of teeth #7–10, which were compromised by chipping along the incisal edges and loss of vertical dimension. The material was selected for its ability to mimic the translucency of the surrounding natural dentition, and the patient was very pleased with the restorative outcome.

CONCLUSION

When I treat veneer patients who have fractured their teeth or previous restorations, or who exhibit wear facets indicative of parafunctional habits, I usually prescribe BruxZir Anterior. When esthetics and translucency are the highest priority, a glass-ceramic material like Obsidian lithium silicate or IPS e.max is the optimal choice. In combination, the availability of these veneer materials helps clinicians deliver a result that addresses the unique functional and esthetic challenges of each case.

References

Clinical dentistry in photos by Anamaria Muresan, DMD, ME, CDT