Extraction with Immediate Implant Placement in Full-Arch Indications

January 29, 2018
 image
Jack A. Hahn, DDS
Extraction with Immediate Implant Placement in Full-Arch Indications Main Image

Note: The Hahn Tapered Implant System is now known as the Glidewell HT Implant System

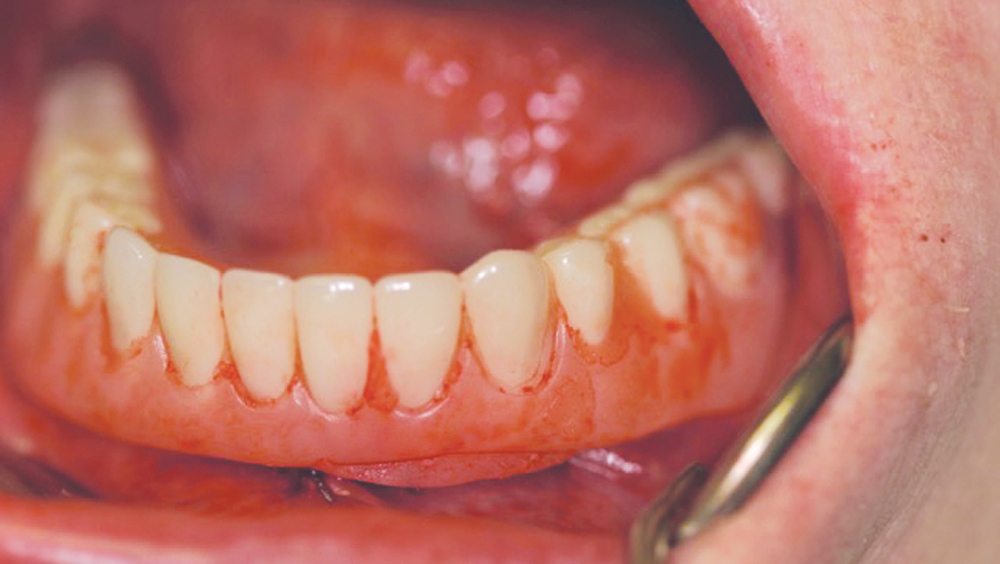
Patients who present with terminal dentition commonly suffer from discomfort, poor dental function and low self-esteem as a result of their condition. Immediate implant placement is a treatment option that offers instant, life-changing benefits for these patients while setting the stage for a predictable long-term outcome. In the presence of sufficient bone quality and volume, after atraumatically extracting the patient’s teeth, implants can be placed and a temporary appliance delivered, allowing the patient to walk out of the office with dramatically improved form and function in one appointment. This immediately enhances the patient’s quality of life and provides a significant “wow” factor for your practice.

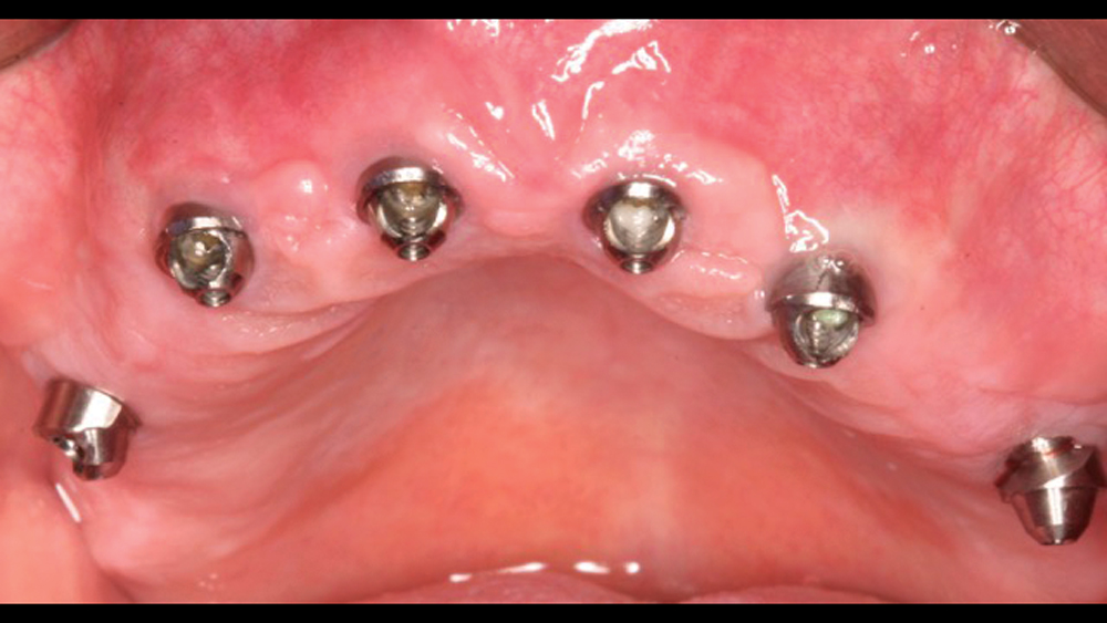
To establish the foundation needed for a screw-retained restoration and avoid fracturing the facial plate, clinicians must position the immediately placed implant against the lingual or palatal wall of the extraction socket. This is one of the reasons I designed the Hahn™ Tapered Implant (Glidewell Direct; Irvine, Calif.) with deep, sharp threads, which enable precise directional control during insertion and prevent the implant from “walking” toward the facial plate as it is threaded into place. This thread design also leads to high primary stability in all bone types, which is essential when performing the extraction with immediate implant placement procedure.1,2

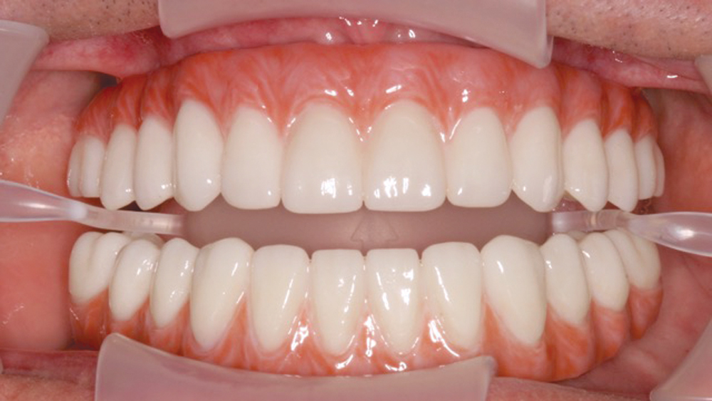
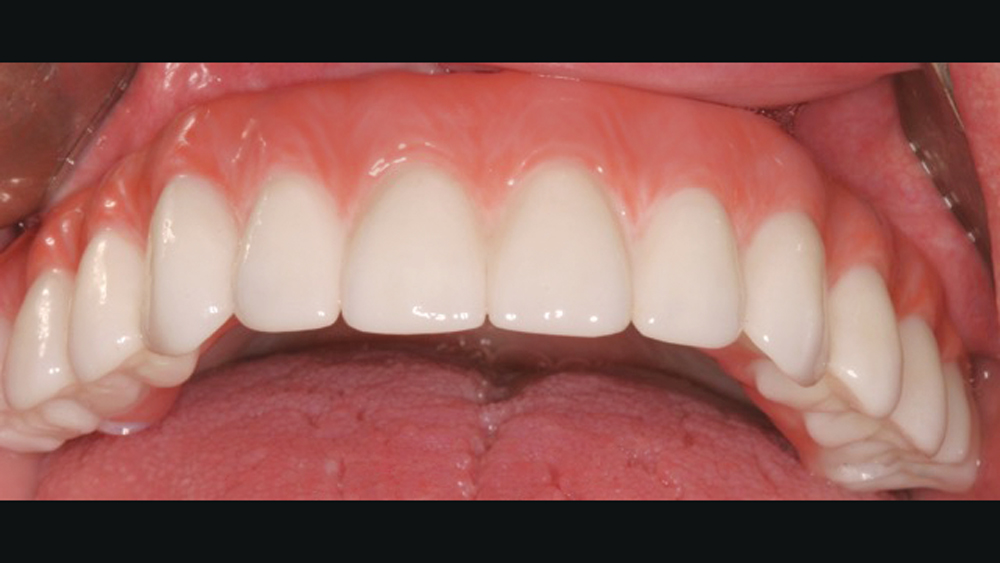
Once osseointegration is complete, the BruxZir® Full-Arch Implant Prosthesis is the ideal choice for the restoration, as its monolithic construction prevents chips, stains, breakage, and dislodged or worn-down prosthetic teeth.3,4 This treatment option has helped elevate the quality of care I’m able to provide for my edentulous patients, who no longer return to my office with a broken acrylic appliance in hand.

The following case demonstrates how to immediately place implants in full-arch indications. By properly positioning the implants, maximizing primary stability and providing the most durable restoration possible, the short- and long-term needs of the patient are addressed in an efficient, predictable manner.

CONCLUSION

For patients with adequate quantity and quality of bone, extraction with immediate implant placement is an efficient means of tooth replacement that reduces the number of surgical procedures and shortens the duration of treatment. In full-arch indications, this approach can deliver results that instantly transform dental form, function, personal confidence and quality of life. Achieving a predictable, long-lasting result has been simplified by innovations in implant design and prosthetics, making this an excellent option for practitioners providing implant therapy for their terminal dentition or edentulous patients.

References

  1. ^ Lee SY, Kim SJ, An HW, Kim HS, Ha DG, Ryo KH, Park KB. The effect of the thread depth on the mechanical properties of the dental implant. J Adv Prosthodont. 2015 Apr;7(2):115-21.
  2. ^ Abuhussein H, Pagni G, Rebaudi A, Wang HL. The effect of thread pattern upon implant osseointegration. Clin Oral Implants Res. 2010 Feb;21(2):129-36.
  3. ^ Larsson C, Vult Von Steyern P. Implant-supported full-arch zirconia-based mandibular fixed dental prostheses. Eight-year results from a clinical pilot study. Acta Odontol Scand. 2013 Sep;71(5):1118-22.
  4. ^ Pozzi A, Holst S, Fabbri G, Tallarico M. Clinical reliability of CAD/CAM cross-arch zirconia bridges on immediately loaded implants placed with computer-assisted/template-guided surgery: a retrospective study with a follow-up between 3 and 5 years. Clin Implant Dent Relat Res. 2015 Jan;17 Suppl 1:e86-96.