How to Bond Milled Composite Restorations

October 11, 2018
Shreya Shah, BDS, M.S., Clinical Research Associate; and Emily Nguyen, R&D Project ManagerShreya Shah, BDS

Many practitioners are taking advantage of sophisticated in-office milling technology to streamline the restorative process, making it possible for patients to receive their restorations on the day they pursued treatment. As more dentists offer their patients single-appointment dentistry, the demand for additional material options to satisfy a wider range of indications has increased. CAMouflage® NOW, a nanohybrid composite block used for in-office milling, can be used to quickly produce esthetic restorations for a variety of situations. Whether the goal is to preserve tooth structure with an inlay or onlay, or to provide an esthetic veneer or full-coverage crown that blends well with natural dentition, CAMouflage NOW is well-suited to the in-office fabrication needs of digitally minded dentists.

Utilizing the glidewell.io™ In-Office Solution, clinicians can scan the preparation, finalize the design and mill a CAMouflage NOW restoration in times ranging from eight to 20 minutes, depending on the intended use. While practitioners find the efficiency of this restorative workflow appealing, many have inquired how to achieve optimal bond strength when delivering a nanohybrid composite restoration. Based on extensive testing and validation from our R&D department, Glidewell Dental has developed a bonding protocol that provides maximum retention, regardless of whether the restoration is retentive or non-retentive. This research involved numerous rounds of testing to determine which methods and materials resulted in the highest bond and the highest retentive strength with aging. Based on the results of this scientific analysis, a bonding sequence has been assembled that maximizes retention of nanohybrid composite restorations milled in-office. We are pleased to announce that the products required for this bonding sequence are now included in the CAMouflage NOW milling blocks kit at no additional charge.

THE CAMOUFLAGE® NOW MILLING BLOCKS KIT

In addition to milling blocks, micro brushes and auto-mixing tips, the kit includes GLUMA® Desensitizer, OptiBond™ XTR Primer and Adhesive, and Maxcem Elite™ Cement. The assembly of these materials into a single package offers practitioners a straightforward means of maximizing bond strength, backed by extensive scientific analysis.

Shear Bond Strength (SBS) to Dentin

CAD/CAM blocks from various manufacturers were bonded to a dentin surface, following each manufacturer’s respective instructions, and were stored in distilled water at a temperature of 37 C for the first 24 hours. Then, the samples were thermocycled (5 to 55 C, 30-second dwell time) for 10,000 cycles, in accordance with ISO 29022:2013 specifications. The use of GLUMA Desensitizer, OptiBond XTR and Maxcem Elite Cement with CAMouflage NOW produced the highest performance, measured both after 24 hours and after aging for an estimated one year in a clinical setting.

Why GLUMA Desensitizer?

GLUMA Desensitizer is primarily used to reduce or eliminate tooth sensitivity during restorative treatment. R&D testing at Glidewell Dental has revealed that this desensitizing agent also improves the strength and durability of the dentin-restorative bond when used with the recommended bonding sequence for restorations produced from CAMouflage NOW milling blocks.

Crown Retention Study: Force Required to Debond Crown After Thermocycle Cycles

In an in vitro study, crowns were bonded to a prepared dentin tooth following the manufacturer-recommended bonding protocol for four comparable CAD/CAM in-office milling blocks. After conducting pull-off tests in a tensile mode to measure the force required to dislodge the crown from the prepared tooth at 24 hours and after 10,000 thermocycles (5 to 55 C, 30-second dwell time), CAMouflage NOW exhibited the highest retentive stress values at the time of debonding.

THE RESEARCH

The following studies were conducted to validate the optimal bonding sequence for CAMouflage NOW restorations, including comparisons to similar materials available to clinicians providing same-visit restorative dentistry for their patients.

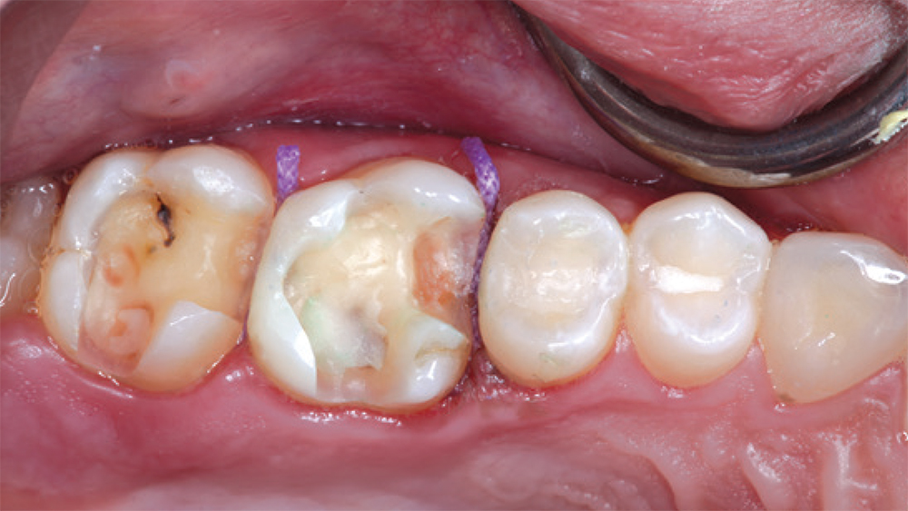
teeth #2
teeth #3
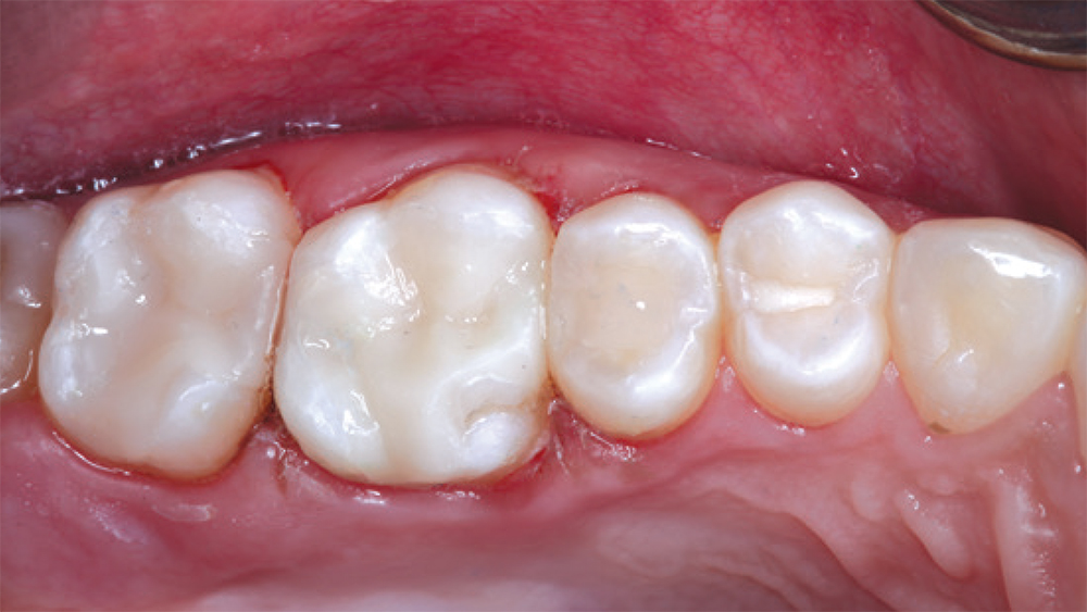
patient's fillings on teeth #2 and #3

In this case, the patient’s fillings on teeth #2 and #3 were removed and the teeth were prepared. During the same appointment, the doctor scanned the patient’s teeth and fabricated onlays from CAMouflage NOW milling blocks using the glidewell.io In-Office Solution. The onlays were delivered following a scientifically validated bonding protocol, maximizing the longevity of the nanohybrid composite restorations.

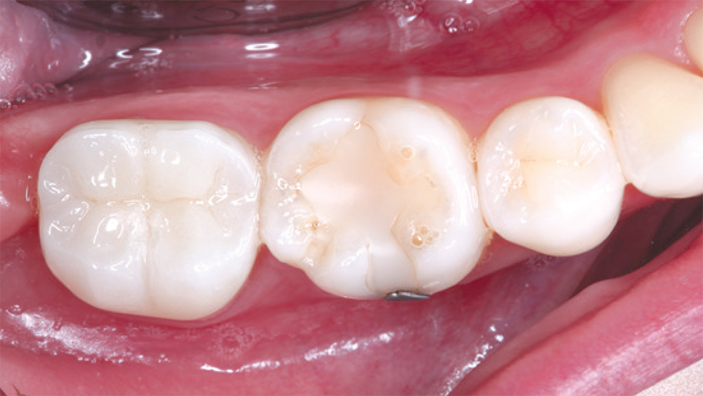
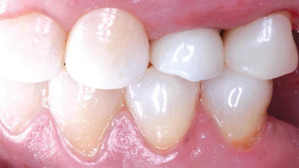
fracture premolar
CAMouflage NOW restoration

This fractured premolar was replaced by a CAMouflage NOW restoration that was designed and milled in-office in less than 10 minutes, addressing the patient’s urgent dental situation in a single appointment.

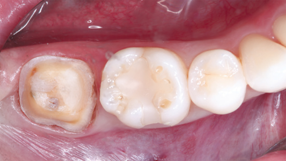
fractures premolar
fractured premolar
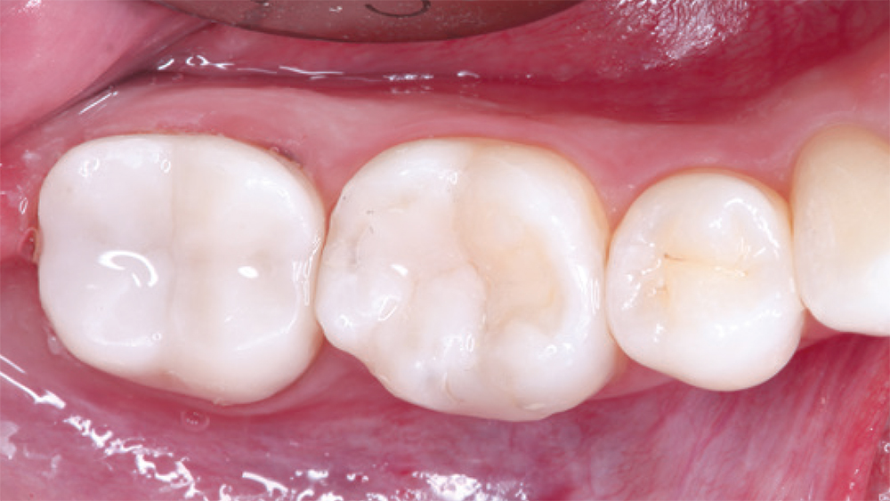
CAMouflage NOW used here to restore teeth #30 and #31, and blended extremely well with the adjacent natural teeth

CAMouflage NOW, which is manufactured in block form for the in-office fabrication of inlays, onlays and full-coverage crowns, was used here to restore teeth #30 and #31, and blended extremely well with the adjacent natural teeth.

– Clinical dentistry by Justin Chi, DDS, CDT

CONCLUSION

For clinicians who choose the glidewell.io In-Office Solution for their single-appointment dentistry needs, CAMouflage NOW is one of several available restorative options, with an evidence-based bonding protocol that maximizes the longevity of the restoration.

AUTHORS' NOTE

Glidewell Dental would like to acknowledge the R&D efforts of Lian Rother and Ryne Contreas, who made key contributions to the studies featured in this article.