The Beautiful Zirconia That Enables You to Renew Smiles for a Lifetime

October 11, 2018
 image
Anamaria Muresan, DMD, ME, CDT

With each patient I meet, I am reminded of what an immense privilege it is to serve in this life-changing profession. As dentists, we are at the confluence of patients’ well-being, their goals for improving their smiles, and their trust in our clinical expertise.

Sometimes an upcoming wedding, career advancement or, as you will see in this case study, a child’s graduation can be a personal catalyst for a patient to seek treatment within a specific time frame. The stakes are high for such time-sensitive cases. Fortunately, we have cutting-edge materials, effective methods and our clinical creativity to beat the clock and efficiently give patients the restorations they seek.

A FAMILY'S MILESTONE

Anthony, 52 years old, shared with us that he was the father of a soon-to-be high school graduate. Hoping to rejuvenate his smile in time to celebrate his daughter’s commencement, Anthony preferred a bridge rather than implant treatment for his missing tooth #7. As I assessed the condition of his teeth, I could see that the patient’s issues were far more substantial than just the need for esthetic improvements.

My immediate concern was the extensive anterior tooth destruction. Occlusal interferences had restricted the functional movements of the jaw and had severely damaged the tooth structure. In fact, due to the severe wear of his maxillary anterior teeth, canine and protrusive guidance no longer existed. I went over the scope of challenges with Anthony to ensure he understood that esthetics were only one facet of his needs. We needed to rehabilitate his occlusion.

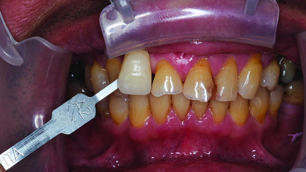
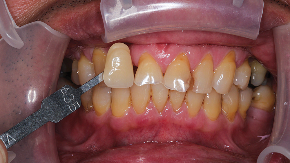
Due to the substantial occlusal wear of Anthony’s teeth, PFMs, composite and lithium disilicate were not promising options for long-term durability. Fortunately, the newly introduced BruxZir® Esthetic Solid Zirconia was. At 870 MPa of flexural strength, BruxZir Esthetic zirconia is stronger than lithium disilicate by a staggering 74 percent. This remarkable strength, along with the material’s lifelike vitality and high-performing translucency, has quickly made BruxZir Esthetic zirconia my new material of choice for demanding anterior cases like this one.

At 870 MPa of flexural strength, BruxZir Esthetic zirconia is stronger than lithium disilicate by a staggering 74 percent.

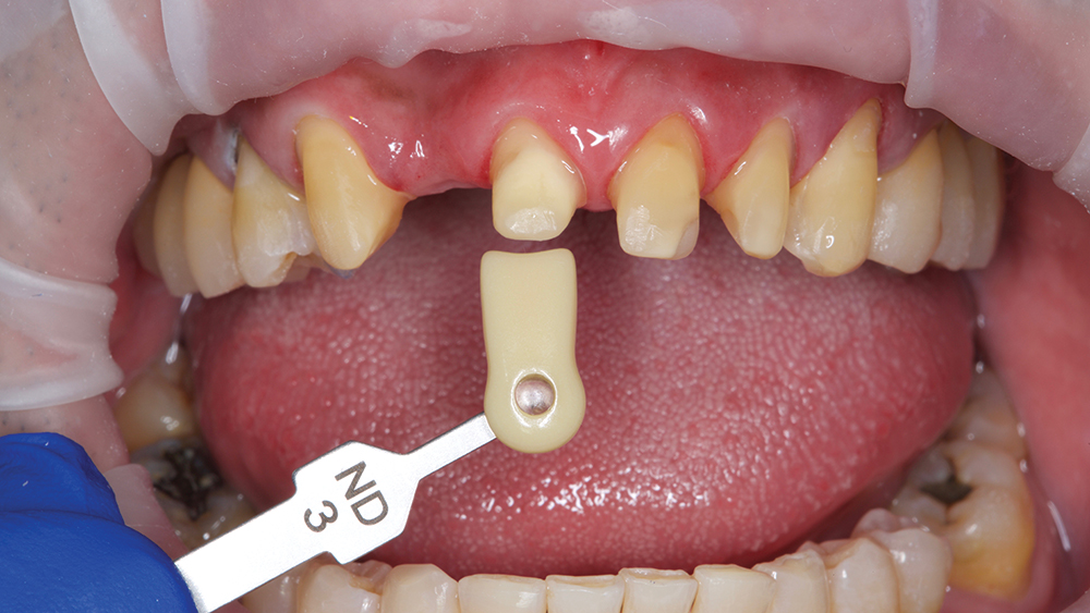
To transform Anthony’s smile, I planned a 3-unit BruxZir Esthetic bridge for teeth #6–8, BruxZir Esthetic crowns for teeth #9 and #10, and Vivaneer™ BruxZir Esthetic Veneers for teeth #5 and #11. Check out the following case photos to see his journey to a renewed smile.

CONCLUSION

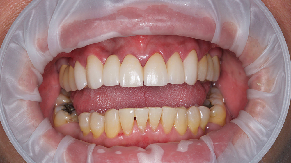
The proven durability and lifelike vitality of BruxZir Esthetic zirconia were essential to the success of this case, giving Anthony a spectacular new smile designed to last for years to come. With his smile transformed, Anthony was ready to attend his daughter’s graduation — a memorable occasion where this proud father had plenty of reasons to smile.