A Versatile Material for the Anterior: A BruxZir® Esthetic Case Report

February 11, 2019
 image
Anamaria Muresan, DMD, ME, CDT

In everyday clinical practice, I am often reminded how quickly technology has improved the landscape of restorative materials. The improvement in the strength, longevity and appearance of veneers and crowns means that the options for patients have expanded well beyond traditional porcelain restorations, which are prone to fracture and can cause wear to the opposing dentition. With the introduction of BruxZir® Esthetic Solid Zirconia, there is now a high-strength zirconia material beautiful enough to be utilized with confidence for veneers and anterior crowns & bridges.

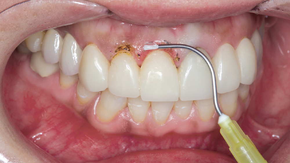
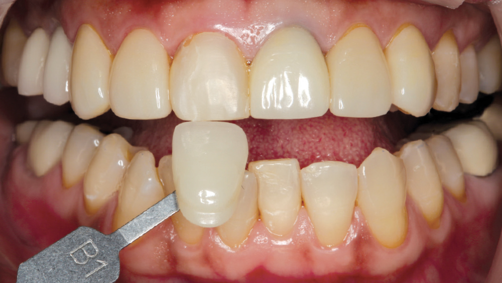
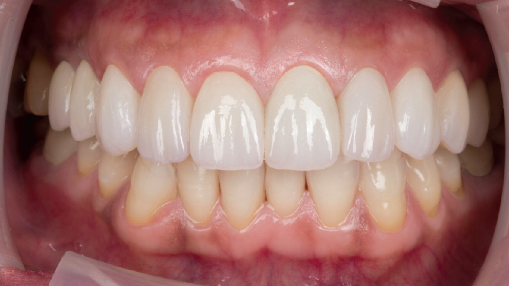
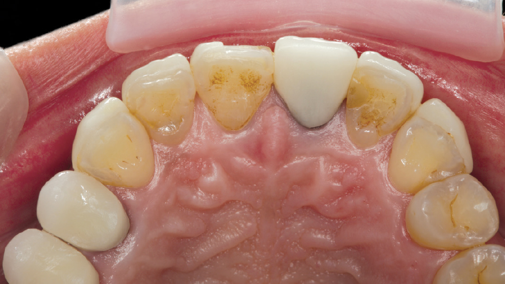
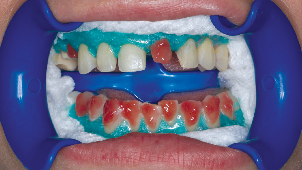
In this clinical case report featuring BruxZir Esthetic, I restore teeth #4–13 using a combination of crowns and veneers. The following photos demonstrate the material’s translucency, versatility, enhanced shade matching and overall ability to transform a patient’s smile from chipped and dark, to beautiful and bright.

CONCLUSION

This patient was extremely pleased with the final outcome. Her smile was transformed to a natural, bright look. BruxZir Esthetic provided a straightforward solution due to its precise fit, lifelike translucency and long-term predictability. By utilizing a conservative approach, as well as a versatile material that addresses the functional and cosmetic needs of the case, we provided a restoration that is attractive to the patient and clinician alike.