Two-Year Clinical Study Proves Efficacy of Glidewell HT™ Implant System

February 11, 2019
Two-Year Clinical Study Proves Efficacy of Glidewell HT™ Implant System Hero Image

Note: The Hahn Tapered Implant System is now known as the Glidewell HT Implant System

In 2014, Dr. Jack Hahn began collaborating with the engineers and clinicians at Glidewell Dental to create the Hahn™ Tapered Implant System based on his extensive clinical experience since conceiving the original tapered implant in 1997.

Four years after the implant’s introduction in 2015, the Hahn Tapered Implant System has been successfully adopted by thousands of dentists worldwide who have found it to be straightforward, economical and efficient. Now, a recently completed retrospective study by Dr. Mayuri Kerr, Brett Allen and Dr. Neil Park, “Clinical and Radiographic Evaluation of Tapered Implants with an Aggressive Reverse Buttress Thread and Crestal Microthreads: A Retrospective Study,” provides scientific evidence of the system’s clinical success as well.1

Results from this study of 259 Hahn Tapered Implants placed in 101 patients who were followed clinically for a period of two years showed the following:

  • 99.2% overall success rate
  • Mean marginal bone loss of less than 0.2 mm over two years
  • The total amount of marginal bone loss actually decreased between years one and two, indicating that in many cases marginal bone height actually increased
  • 33 implants gained bone above the marginal collar

THE HAHN TAPERED IMPLANT SYSTEM

Dr. Hahn’s mission in creating the Hahn Tapered Implant System was simple: to develop a high-quality implant at a price point that’s affordable to as many people as possible, with a straightforward, efficient protocol accessible to clinicians and effective for use in a variety of demanding situations.

cm1401-rd-corner-efficacy-hahn-tapered-system-a
cm1401-rd-corner-efficacy-hahn-tapered-system-b
cm1401-rd-corner-efficacy-hahn-tapered-system-c

Available from Glidewell Direct, the Hahn™ Tapered Implant Guided Surgery System enables clinicians of all experience levels to deliver Hahn Tapered Implants with precision and ease. It features a full range of high-quality instrumentation machined from surgical stainless steel, color-coded and arranged for a simple, accurate workflow. Shown above are the Hahn Guided Surgical Kit (a), Hahn Prosthetic Kit (b) and Hahn Osteotome Kit (c).


FEATURES AND BENEFITS OF THE HAHN TAPERED IMPLANT SYSTEM

  • Tapered design for placement in anatomically constricted areas
  • Coronal microthreads for crestal bone preservation2,3,4
  • Resorbable blast media (RBM) surface promotes osseointegration5
  • Sharp buttress threads for primary stability in all bone types6,7
  • Machined collar facilitates soft-tissue maintenance8,9
  • Aggressively angled thread pattern enables precise directional control
  • Self-tapping grooves facilitate efficient delivery10
  • Array of sizes for placement in all regions of the mouth

THE STUDY

A total of 259 Hahn Tapered Implants were placed in 101 patients by six dentists in the operatories of Glidewell Dental between April 2015 and April 2018. Patients involved in the study represented a range of health statuses and histories, including individuals with issues such as smoking, diabetes and hypertension.

EVALUATION: BONE PRESERVATION

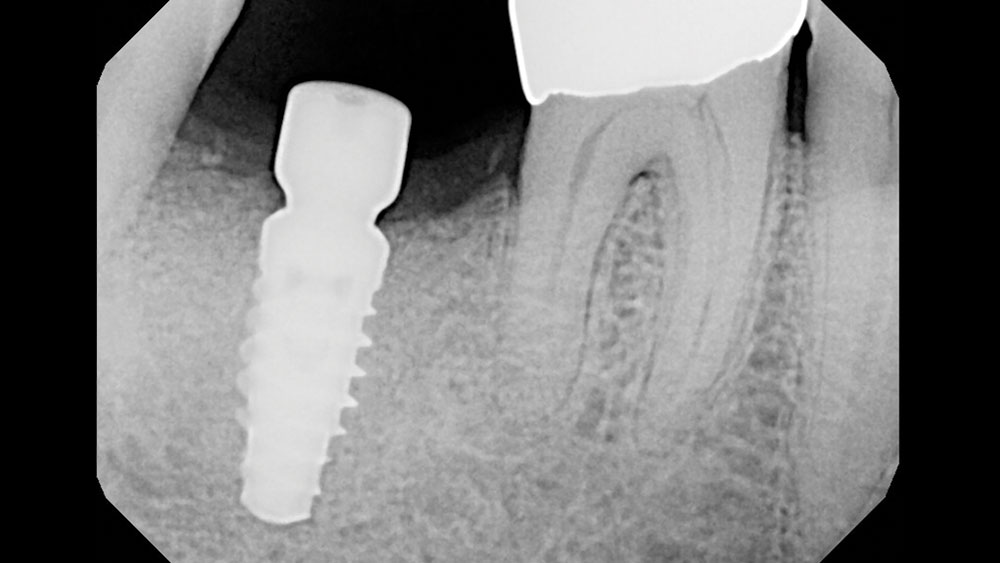
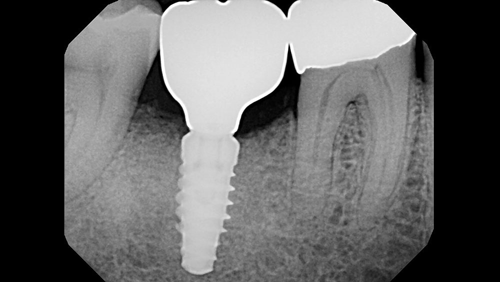
Following well-established clinical research methods, bone loss was measured as the distance from the implant shoulder to the first contact of bone to implant, from both the mesial and distal sides.

cm1401-rd-corner-efficacy-hahn-tapered-system-1a
cm1401-rd-corner-efficacy-hahn-tapered-system-1b

Figures 1a, 1b: Calibration of the bone loss measurements was determined by measuring the length of the implant (1a), or by measuring the diameter in cases where the implant apex was not visible (1b).

Decrease of Mean Bone Loss

Over 70% of implants measured demonstrated less than 0.5 mm of bone loss per year, with 32.35% of the implants maintaining bone well above the machined collar. Average mean bone loss was 0.23 mm after one year and 0.18 mm after two years. This result places the Hahn Tapered Implant System well below the 1–1.5 mm of bone loss expected as standard, as outlined in the study by Albrektsson et al, indicating that the system achieved results superior to those in similar studies of comparable implant systems.11

cm1401-rd-corner-efficacy-hahn-tapered-system-02

Figure 2: The Hahn Tapered Implant System showed just 0.23 mm in mean bone loss after one year, setting it ahead of similar implant systems after one year of performance.

cm1401-rd-corner-efficacy-hahn-tapered-system-03

Figure 3: A decrease in mean bone loss between years one and two indicates that some of the Hahn Tapered Implants in the study actually gained in marginal bone.

Perhaps more significantly, the total amount of mean bone loss around each implant actually decreased between the first and second years of the study, from 0.23 mm in year one, to 0.18 mm after year two.

Hahn Tapered Implants and Promotion of Bone Health

The design of the Hahn Tapered Implant System includes a number of features that promote osseointegration and the maintenance of marginal bone levels:

  • Coronal microthreads, which help maximize bone-implant contact with an increased surface area, have been proven to increase crestal bone preservation.2,3,4
  • The implant is treated with resorbable blast media (RBM), which involves a blasting process that texturizes the titanium surface of the implant and results in an ultra-clean, rough surface that has been proven ideal for bone integration and health.5
  • In cases where bone loss occurs and the neck of the implant is exposed, the smooth metal surface of the implant’s machined cervical collar reduces attachment of biofilm, further assisting in bone preservation.15
cm1401-rd-corner-efficacy-hahn-tapered-system-04a
cm1401-rd-corner-efficacy-hahn-tapered-system-04b

Figures 4a, 4b: Hahn Tapered Implants have multiple features that contribute to bone preservation and health, including coronal microthreads (4a) and a resorbable blast media surface (4b).

EVALUATION: BONE PRESERVATION

The second main factor used in evaluating success of the implants during this two-year study was their survival rate throughout the full time period. Survival was defined as an asymptomatic implant with adequate bone support around it.

The Results

In the results from this two-year study, of the total 257 implants originally placed, two experienced early failure and were removed and replaced within the first four months of the study. This brought the study total to 259 implants. Of that number, all were considered successful at the end of the study period, meaning they were asymptomatic and healthy with adequate bone support around them. No loosened or broken screws or abutments were reported, and no complications with any of the final restorations were noted.

Hahn Implant Survival Rate Surpasses Industry Averages

The Hahn system is designed to promote long-term survival of implants, with a few key features promoting implant stability and health of the implant site:

  • Sharp buttress threads help dissipate the stress transfer pathway, from a single high-stress point to various areas of the bone at each thread tip. This results in a reduction of stress on the bone, which increases levels of osseointegration and bone health without sacrificing bone-implant contact. This promotes better primary stability as well as long-term health for the implant.
  • A machined collar, which prevents exposure of the rough surface of the implant to the peri-implant soft tissues. This promotes soft-tissue health and prevents potential bacteria-related inflammation, leading to better overall soft-tissue health and thus a more stable implant over time.
cm1401-rd-corner-efficacy-hahn-tapered-system-05a
cm1401-rd-corner-efficacy-hahn-tapered-system-05b

Figures 5a, 5b: Hahn Tapered Implants feature sharp buttress threads (5a) and a machined collar (5b) for promotion of long-term survival via minimized stress on the bone and prevention of soft-tissue damage

Overall Success of Hahn Implants: 99.2%

At the conclusion of this study, the factors evaluated and explained above combined to create an overall success rate of 99.2%. When compared with similar studies, this number shows that Hahn Tapered Implants outperform the majority of implant systems on the market today.

cm1401-rd-corner-efficacy-hahn-tapered-system-6

Figure 6: The 99.2% overall success rate of the Hahn Tapered Implant System in this study outperforms similar implant systems as recorded by comparable studies in the past.16,17

CONCLUSION

The market success of the Hahn Tapered Implant System has proven that clinicians are finding it to be an efficient and clinically advantageous implant solution. Now, with the results of this clinical study, the Hahn system offers confirmed scientific evidence of its success. This puts the Hahn system among the top clinically validated systems of its type and demonstrates its superior performance in comparison with other dental implants on the market.

The unique design features of the Hahn Tapered Implant System are intended to maximize patient bone health, esthetics and long-term implant survival. Users of the Hahn system can now proceed with the confidence that these benefits are not only commonly experienced in the operatory, but are scientifically proven as well.

To read the full two-year study, visit hahnimplant.com.

Hahn is a registered trademark of Prismatik Dentalcraft, Inc. All third-party trademarks are property of their respective owners.

References

  1. ^Kerr M, Allen B, Park N. Clinical and radiographic evaluation of tapered implants with an aggressive reverse buttress thread and crestal microthreads: a retrospective study.
  2. ^Ormianer Z, Palti A. Retrospective clinical evaluation of tapered screw-vent implants: results after up to eight years of clinical function. J Oral Implantol. 2008;34(3):150-60.
  3. ^Talwar BS. A focus on soft tissue in dental implantology. J Indian Prosthodont Soc. 2012 Sep; 12(3): 137-42.
  4. ^Goswami MM. Comparison of crestal bone loss among two implant crest module designs. Med J Armed Forces India. 2009 Oct;65(4):319-22.
  5. ^Kim YK, Kim SG, Kim JH, Yi YJ, Yun PY. Prospective study of tapered resorbable blasting media surface implant stability in the maxillary posterior area. Oral Surg Oral Med Oral Pathol Oral Radiol. 2012 Jul;114(1):e19-24.
  6. ^Torroella-Saura G, Mareque-Bueno J, Cabratosa-Termes J, Hernández-Alfaro F, Ferrés-Padró E, Calvo-Guirado JL. Effect of implant design in immediate loading. A randomized, controlled, split-mouth, prospective clinical trial. Clin Oral Implants Res. 2015 Mar;26(3):240-4.
  7. ^Eraslan O, Inan O. The effect of thread design on stress distribution in a solid screw implant: a 3D finite element analysis. Clin Oral Investig. 2010 Aug;14(4):411-6.
  8. ^Misch CE, Strong TD, Bidez MW. Scientific rationale for dental implant design. In: Misch CE, editor. Contemporary implant dentistry. 3rd ed. St. Louis: Mosby; 2008. p. 200-32.
  9. ^Misch CE. A scientific rationale for dental implant design. In: Misch CE, editor. Dental implant prosthetics. St. Louis: Mosby; 2005. p. 322-48.
  10. ^Abuhussein H, Pagni G, Rebaudi A, Wang HL. The effect of thread pattern upon implant osseointegration. Clin Oral Implants Res. 2010 Feb;21(2):129-36.
  11. ^Albrektsson T, Zarb G, Worthington P, Eriksson AR. The long-term efficacy of currently used dental implants: a review and proposed criteria of success. Int J Oral Maxillofac Implants. 1986 Summer;1(1):11-25.
  12. ^Steveling H, Roos J, Rasmusson L. Maxillary implants loaded at 3 months after insertion: results with Astra Tech implants after up to 5 years. Clin Implant Dent Relat Res. 2001;3(3):120-4.
  13. ^Rasouli Ghahroudi A, Talaeepourw A, Mesgarzadeh A, et al. Radiographic vertical bone loss evaluation around dental implants following one year of functional loading. J Dent (Tehran). 2010 Spring;7(2):89-97.
  14. ^Song DW, Lee DW, Kim CK, Park KH, Moon IS. Comparative analysis of peri-implant marginal bone loss based on microthread location: a 1-year prospective study after loading. J Periodontol. 2009 Dec;80(12):1937-44.
  15. ^Park N. Implant cervical collars: preserving crestal bone [Internet]. Irvine: Prismatik Dentalcraft; 2017 Jan 30 [cited 2018 Dec 7]. Available from: https://hahnimplant.com/downloads/implant-cervical-collars-preserving-crestal-bone.pdf.
  16. ^Arnhart C, Kielbassa AM, Martinez-de Fuentes R, et al. Comparison of variable-thread tapered implant designs to a standard tapered implant design after immediate loading. A 3-year multicentre randomised controlled trial. Eur J Oral Implantol. 2012;5(2):123-36.
  17. ^Minichetti JC, D’Amore JC, Hong AYJ. Three-year analysis of tapered screw vent implants placed into maxillary sinuses grafted with mineralized bone allograft. J Oral Implantol. 2008;34(3):135-41.