Gaining Patient Acceptance for a Smile Makeover

February 11, 2019
 image
Anamaria Muresan, DMD, ME, CDT
Gaining Patient Acceptance for a Smile Makeover

Smile Transitions™ is a full-arch cosmetic appliance that provides your patients with a unique opportunity to preview their new smile while they determine which treatment plan or financial option will best fit their lifestyle. This easy-to-wear device gives patients the chance to see how esthetic their smile will look if they proceed with your proposed treatment plan.

KEEP PATIENTS SMILING WHILE THEY WAIT

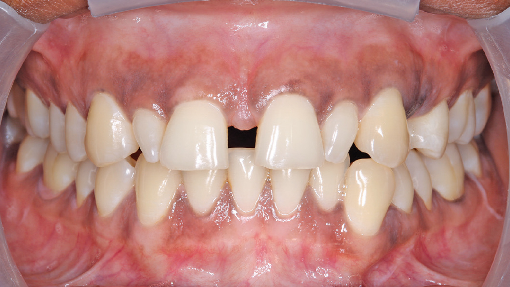
When 27-year-old Rennea visited my office, she was unhappy with her smile due to underdeveloped peg laterals and a large diastema between her maxillary central incisors. Rennea wanted to improve her smile to create a more professional appearance as she interacts with clients of her home services business.

Upon evaluating Rennea, I noticed that even though her teeth were in good overall condition, her underdeveloped, misaligned dentition and spaces between teeth compromised her overall smile symmetry. Therefore, I recommended orthodontics followed by the placement of nine BruxZir® Esthetic Veneers as a long-term treatment option to create a beautiful new smile. Implant treatment is also needed to replace missing tooth #5. In order to facilitate this outcome, I prescribed Smile Transitions as the first step in her treatment process so that Rennea could visually understand how esthetic veneers and implant treatment would drastically change her smile.

Renea's case prior to treatment
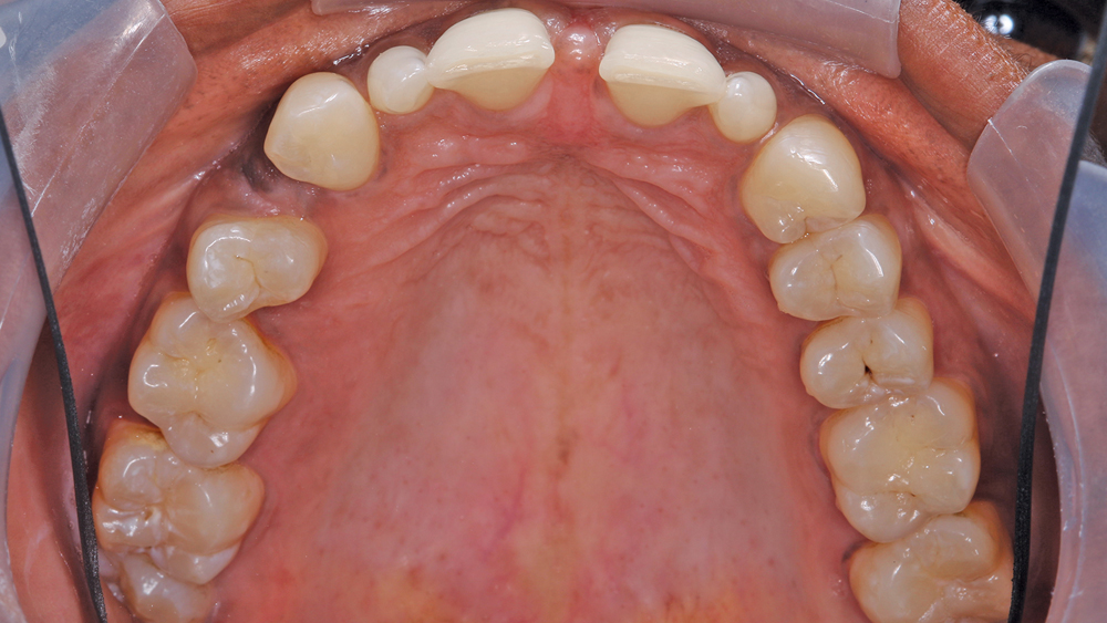
Required fixes for patient on tooth #4 and #5

Rennea’s case will require orthodontic treatment to minimize the diastema between teeth #8 & #9 and create room for normal-sized incisors. Orthodontics will also decrease the amount of tooth preparation needed for the veneers and minimize the need for invasive dentistry. This will correct the rotation of tooth #4 and create space for an implant to replace tooth #5.

digital scan of Rennea's mouth
Dr. Muresan scans patient's teeth for a digital impression

During Rennea’s initial screening, I took a digital scan of her mouth in order to create the Smile Transitions™ appliance (Glidewell Laboratories; Newport Beach, Calif.). Alternatively, a traditional VPS impression can be sent into the lab. Either way, your patient’s design file is stored for one year should you need to have a duplicate appliance made.

HOW TO ORDER SMILE TRANSITIONS

  1. Download the Universal Rx and complete your prescription requesting Smile Transitions. Be sure to identify the desired shade.
  2. Send your digital or VPS impression.
  3. Allow seven days in-lab working time.

CONCLUSION

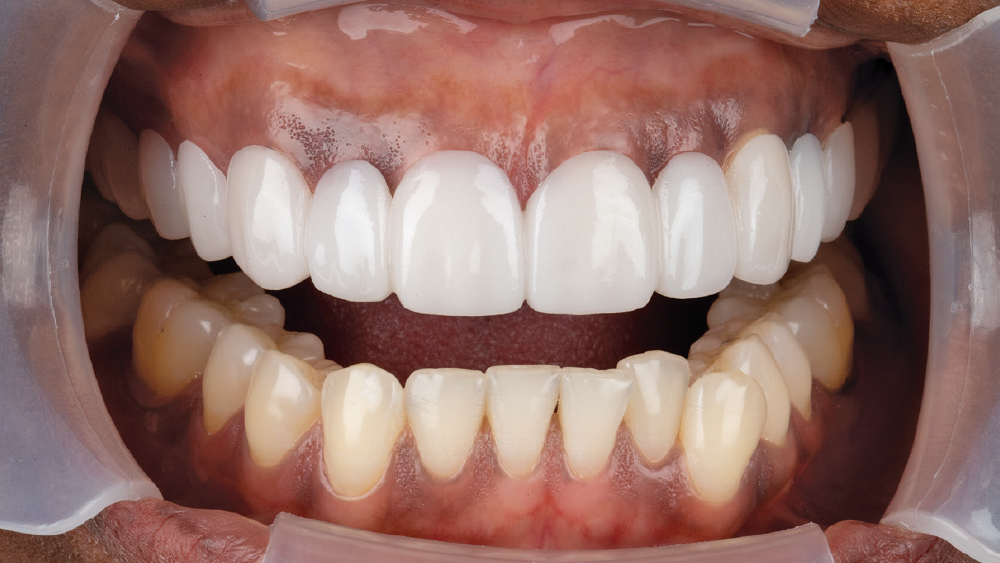
The Smile Transitions instantly re-proportioned the appearance of Rennea’s teeth, giving her a full, bright smile. The appliance is easily worn over her existing teeth by taking advantage of the natural undercuts in her mouth. It simply locks into place daily without the need for any adhesive.

This cosmetic device is a visualization tool that helps the patient build confidence in moving forward with the doctor’s recommended treatment plan. The appliance is also functional and can be worn during sleeping, eating and drinking. It can be prescribed as a way to drastically improve patients’ esthetics and increase their desire to transition to more definitive treatment in the future. Typically, when patients see how great their new smile looks, they will invest in the long-term treatment process. As for Rennea, she was so pleased with her new look that she immediately accepted my proposed treatment plan after trying on the device at her follow-up appointment.