10 Things I Learned the Hard Way

November 3, 2020
 image
Jack A. Hahn, DDS
Dr. Jack Hahn CSM V15I2 10 Things Article Hero Image

Note: The Hahn Tapered Implant System is now known as the Glidewell HT Implant System

Things have changed a great deal since I began placing implants 50 years ago. Implant designs have evolved — and I’ve been fortunate enough to have had a hand in that. Implant restorations have advanced more than I could have imagined. The fact that you can restore an edentulous arch with unbreakable zirconia, with teeth and gingiva that look just like the real thing, continues to amaze me. It’s been great to see all this progress because, like many other dentists out there, I’ve seen time after time how implants can change the lives of patients, giving them back their smile, their ability to eat the foods they want, and their quality of life. While we’ve come awfully far, there have certainly been challenges along the way. I’ve been asked: “Jack, very few dentists have been doing implants as long as you have. What have you learned over the years that you can share with others?” To be honest, I’ve learned a lot the hard way, whether from placing, designing or restoring implants. These are the big 10 that come to mind.

Doctor and patient image

Offering the full range of tooth replacement options, including implant placement, is increasingly important in addressing the needs of patients, many of whom seek out dental practices that can provide this service.

1. IMPLANTS SHOULD BE PART OF EVERY GENERAL DENTIST’S PRACTICE

These days, a lot of patients specifically seek out implant treatment. If they don’t get it from you, they’ll get it from someone else. I get new patients at my practice all the time because they know I do implants. And my existing patients are far more likely to accept implant treatment from me than they would if I were to refer them out to a specialist, though many dentists continue to refer out their more advanced cases. For basic tooth replacement, patients want implants from their general dentist — they don’t want to go anywhere else. More and more dentists are learning to place implants, and their patients and practices are better off as a result. Don’t miss out on what can be the most rewarding and valuable part of your career as a dentist.

2. INVEST THE TIME UP FRONT TO GET GREAT TRAINING

When I got started placing implants, there was very little training available. These days, dentists have access to an abundance of high-quality educational resources.

Established in 1984, the Misch International Implant Institute continues to lead the way. I’ve had the honor of teaching courses for the institute, which offers a continuum that has served as the foundation for thousands of implantologists. Dr. Carl Misch was a friend of mine, and his dedication to teaching dentists how to place and restore implants based on scientific, literature-based principles is one of the biggest reasons implant dentistry is so successful and widely accepted today. The Hahn™ Tapered Implant (Glidewell; Irvine, Calif.) continues to serve as the official implant system of the Misch Institute, and I am honored that clinicians who attend their courses are taught to place implants following the simple surgical protocol I developed for the system with these very dentists in mind.

Glidewell is another great source of implant education, from entry-level classes to advanced courses on fullarch restoration. I’m proud to teach my “emergency” implant course for Glidewell Clinical Education, as it’s one of the most rewarding procedures in dentistry and makes a huge impact on patients who come to you with a broken tooth. Glidewell also offers free online education that is a great way to keep up with CE, whether you’re just getting started or exploring more advanced procedures.

3. NEVER EXTRACT A TOOTH WITHOUT GRAFTING THE SOCKET

I’ve extracted thousands of teeth over the years, and I didn’t always graft the socket. I know now that I should have. There’s no better time to prepare the site for an implant and, the more bone you have, the easier it is to place the implant. Even in cases where the patient doesn’t want an implant, it’s a good idea to graft the site following an extraction. After you remove a tooth, bone loss occurs, which can require a more complex surgical procedure if the patient decides they want an implant later. Plus, bone loss can affect facial esthetics and make it difficult to provide a patient with a stable denture. So, it’s still in the patient’s best interest for you to graft the socket. And socket regeneration can be a straightforward procedure, especially with the simplified bone grafting solutions available from Newport Surgical™. Cortico-cancellous allograft does the trick in a majority of cases, and if you want to learn more about grafting, check out the online and in-person courses available at glidewelldental.com/education.

Dr. Jack Hahn and Dr. Carl Misch

Dr. Jack Hahn with the late Dr. Carl Misch in 2016. Dr. Hahn has taught for the world-renowned Misch International Implant Institute, which has educated over 6,000 dentists in implant placement and restoration based on research-based principles. The Hahn Tapered Implant serves as the official implant of the institute, and is used during the hands-on and clinical courses to teach dentists straightforward surgical protocols.

4. DON’T TRY TO SAVE TERMINAL DENTITION

When a patient comes in with dentition compromised by severe caries and periodontal disease, our instinct as dentists is to do everything we can to save the teeth. I certainly tried whenever I could, but there were many cases where I shouldn’t have. For many of these patients, endodontic, periodontal and restorative treatment have a poor long-term prognosis because of the patient’s dental history and hygiene. Sometimes, a full-mouth extraction is the most conservative treatment, especially when you consider the cost of failed efforts to save teeth. When you encounter cases where “saving” terminal dentition is simply prolonging the inevitable, removing the teeth will provide a better outcome for the patient.

Many of these patients are in pain, and the sooner you place implants, the sooner you can give them a restoration that fully restores dental function and esthetics — without wasting time and money on unsuccessful treatment along the way.

Dr. Hahn Glidewell Clinical Education Course

Dr. Hahn teaching a course at the Glidewell Clinical Education training center. For information on his upcoming courses on extraction with immediate implant placement, visit glidewellcecenter.com.

5. OFFER YOUR PATIENTS SAME-DAY TOOTH REPLACEMENT

When a distraught patient comes to you with a broken, untreatable tooth, there is no better way to serve their needs than with an emergency implant. Extraction with immediate implant placement and loading is my favorite procedure because it takes someone with an urgent need — a broken anterior tooth is painful, compromises function and can be embarrassing — and makes them whole again in a single appointment. Immediate implant placement has proven to be just as predictable as delayed placement, and has been shown to result in enhanced preservation of the hard and soft tissues.1,2

Bone Grafting Image 1 CSM V15I2
Bone Grafting Image 2 CSM V15I2-
Bone Grafting Image 3 CSM V15I2

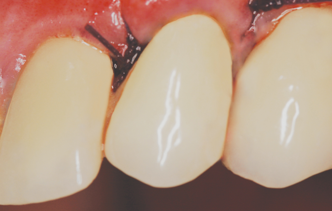
Bone grafting can be essential to achieving a predictable outcome whether performing socket regeneration for future implantation or immediately placing an implant. Here, a fractured central incisor was removed, a Hahn Tapered Implant was placed, and the site was grafted with Newport Biologics™ Mineralized Cortico/Cancellous Allograft Blend material (Glidewell; Irvine, Calif.), which contributed to the esthetic final restoration.

There are several key principles to observe when performing this procedure:

  1. Remove the tooth atraumatically, taking great care to preserve the buccal plate. If the buccal plate is compromised, change your plan. This is a case where you graft the socket and wait for the site to heal.
  2. Place the implant a safe distance from the facial plate of bone. To achieve this, I recommend positioning the initial osteotomy 2–3 mm away from the facial plate. I designed the Hahn implant with a pronounced thread pattern that engages the palatal or lingual wall, which keeps the implant from “walking” toward the facial during placement.
  3. Fill the gaps between the implant and bone with cortico-cancellous allograft.
  4. Don’t load the implant with a provisional crown unless you achieve high primary stability of 35–45 Ncm. Using an implant that has aggressive threads, like the Hahn Tapered Implant, will help with this.

The emergency implant has a “wow” factor for patients, who can’t believe they were able to have their tooth replaced in a single day, and often recommend your practice to their friends and family after having such an experience. If you’d like to learn more, I strongly suggest you attend my emergency implant course, which you can enroll in via glidewellcecenter.com.

Hahn Clinical Case Image 1 CSM V15I2
Hahn Clinical Case Image 2 CSM V15I2
Hahn Clinical Case Image 3 CSM V15I2

This patient presented with terminal dentition due to extensive caries and advanced periodontal disease. After removing the patient’s remaining teeth, Hahn Tapered Implants were placed during the same appointment to support a fixed restoration, and healing abutments were delivered. Four months later, a monolithic zirconia full-arch restoration was delivered, providing the patient with renewed function, esthetics and quality of life.

6. USE TAPERED IMPLANTS

I always struggled with positioning parallel-walled implants located in the anatomically restricted space of the anterior maxilla. It occurred to me that an implant with a tapered body, much like the contours of a natural tooth root, would be easier to position within the available bone. To solve this problem, I designed the Replace® Select implant (Nobel Biocare; Yorba Linda, Calif.). That design went on to become one of the best-selling implants in dentistry, and the tapered design has helped me fit implants into sites where limited bone was available on countless occasions.

Additionally, the tapered design has the effect of a wedge, thereby increasing primary stability of the implant, which is essential to a predictable outcome, particularly with immediate-loading cases. The Hahn Tapered Implant — my latest and best design — has exhibited a success rate of 99.2% in clinical study, in no small part due to the tapered body design. Check out this article that summarizes Dr. Christopher Resnik’s study on how the primary stability of a parallel-walled implant compares with that of a tapered implant.

Hahn Clinical Case Image 4 CSM V15I2
Hahn Clinical Case Image 5 CSM V15I2
Hahn Clinical Case Image 6 CSM V15I2

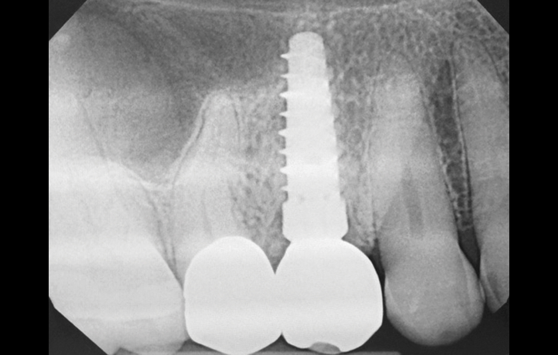
The patient presented with a horizontally fractured tooth #11 and was in a great deal of distress due to the esthetic issues this created. After extracting the tooth, a Hahn Tapered Implant was placed. The pronounced thread design eased placement 1 mm from the facial aspect of the extraction site. High primary stability of 45 Ncm was achieved, allowing for the placement of an immediate provisional crown.

7. A MACHINED IMPLANT COLLAR PRESERVES BONE

I began designing and placing implants that include a machined collar nearly 35 years ago. When my patients from that era come back for recall, radiographs show an impressive amount of bone around the machined collar after all these years. Studies have shown that, compared to implants with a roughened collar, machined collars preserve the bone at a higher rate, which helps ensure you’re giving the patient an implant that will last them their entire lives.3 This design feature is healthier for the bone as well as the soft tissue because the biofilm adheres less to the machined surface.3 Every implant I’ve designed since Steri-Oss has included a machined collar, and I’ve seen how my patients have benefited as they’ve come in for visits over the last few decades.

Dr. Jack Hahn's Tapered Implant Journey

Dr. Hahn developed the first tapered implant in 1996, and collaborated with Glidewell to launch the Hahn Tapered Implant in 2015, combining the tapered design with a pronounced thread pattern and other features that maximize primary stability and bone preservation.

8. A HIGH PRICE DOESN’T EQUAL A BETTER IMPLANT

When I partnered with Jim Glidewell to create the Hahn Tapered Implant, I quickly found that we shared a core philosophy: Treatment should be available to all who need it. Jim has dedicated his career to reducing the cost of high-quality restorative services so that more patients can receive care, and I was happy to follow this philosophy as I’ve always done my best to make implant treatment as affordable as possible for my patients.

The implant itself includes the design features that produce the best results, based on my 50 years of clinical experience and observations. I’ve discovered what works and what doesn’t, and I’m happy to share the implant, which is the culmination of everything I’ve learned during my career, with my fellow clinicians at a price that helps grow the dental practice and expand patient access to care. You can pay more than twice as much for an implant I designed for Nobel, but you’re not going to get better results. And I’m happy that Glidewell offers 20% off all cases restored over Hahn implants, which does even more for making implants affordable for dentists and patients.

Steri-Oss Implant CSM Image 1 V15I2
Steri-Oss Implant CSM Image 1 V15I2

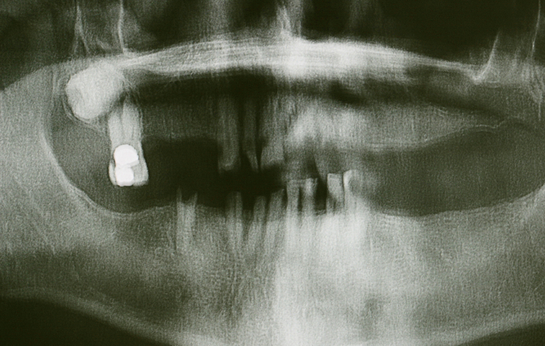
This longstanding patient (left) of more than three decades has had various implants placed over the years, including a Steri-Oss implant Dr. Hahn designed with a machined collar. Follow-up radiographs have consistently shown excellent crestal bone preservation around the machined collar of the implants placed in the maxilla, and the Steri-Oss implants have been functioning for nearly 35 years. Note the ample volume of bone above the platform of a Hahn Tapered Implant placed in the posterior (right).

9. HYBRID DENTURES BREAK — BRUXZIR® ZIRCONIA DOES NOT

I’ve placed hundreds of acrylic hybrid full-arch restorations. Sometimes, I wish I hadn’t. Full-arch implant treatment is perhaps the most rewarding procedure in all of dentistry. When patients come to you with terminal dentition or a loose-fitting denture, you can give them a fixed restoration that fully restores form and function. It’s truly life-changing for these patients, but it’s an experience that is diminished when patients return to your office with a broken hybrid denture or a dislodged tooth in hand. I used to have to repair or replace these all the time, at a great cost to my practice — and to the patient’s time and satisfaction with the restoration. Now I just swap in a BruxZir® Implant Prosthesis, and I know it’s not going to break.

Hybrid dentures also develop unpleasant odors and harbor all sorts of biofilm and residue. They’re incredibly hard for the patient to keep clean. The BruxZir Implant Prosthesis has none of those problems. It’s beautiful, the gingival areas and teeth look just like the real thing, and it’s easier for the patient to clean, which makes for a more pleasant chairside experience for the dentist. Most importantly, you’re not going to have a disappointed patient visit you with a damaged restoration. And you’ll have more new patients coming to your office thanks to recommendations from their friends.

Dr. Hahn and Glidewell President and CEO Jim Glidewell

Dr. Hahn formed a partnership with Glidewell President and CEO Jim Glidewell, CDT, to create the Hahn Tapered Implant. Shown here with the Hahn Tapered Implant in hand, Dr. Hahn and Glidewell found a shared philosophy in making high-quality implant treatment as affordable as possible for dentists and patients.

10. TREAT PATIENTS WELL, AND THEY’LL STAY WITH YOU FOR LIFE

In addition to being the best treatment option for a missing tooth, implants are a great way to grow your practice and retain your patients. As I mentioned earlier, implant designs have evolved a great deal, and I have patients return to see me who have restorations over various implants that show many years of evolution, from blade implants, to subperiosteals, to parallel-walled implants, to the modern tapered design I helped pioneer. The relationships I’ve developed with these patients are extremely valuable to me and have served as a cornerstone of my practice.

The fact is that patients are loyal to dentists who give them the best outcome possible. With implants, you give them the next best thing to a natural tooth, and patients will reward you by counting on you for their long-term dental needs. As always, dentistry has a great future ahead, but it shines brightest for those who embrace the best treatment options and technologies for the good of their patients and practices.

BruxZir Implant Prosthesis Image 1 CSM V15I2
Patient's smile after BruxZir Implant Prosthesis

Dr. Hahn delivered numerous screw-retained hybrid dentures for his edentulous patients prior to the advent of the monolithic zirconia full-arch implant restoration. Now, when patients return to his office with a broken hybrid denture (left), he simply upgrades them to a BruxZir Implant Prosthesis (right), which avoids the damage that commonly occurs with acrylic appliances.

Replace Select and Hahn Tapered Implant x-ray

The patient, whom Dr. Hahn has been treating for several decades, has received implant restorations on many occasions to replace teeth lost due to fracture or decay. Placing implants is one of the best means of patient retention, as many people value the ability to receive the full circle of care from their general dentist. Note the various implant systems, all of which Dr. Hahn designed based on his clinical experience and observations over the last 50 years.

Available CE Course

References

  1. ^Noelken R, Neffe BA, Kunkel M, Wagner W. Maintenance of marginal bone support and soft tissue esthetics at immediately provisionalized OsseoSpeed implants placed into extraction sites: 2-year results. Clin Oral Implants Res. 2014 Feb;25(2):214-20.
  2. ^Valentini P, Abensur D, Albertini JF, Rocchesani M. Immediate provisionalization of single extraction-site implants in the esthetic zone: a clinical evaluation. Int J Periodontics Restorative Dent. 2010 Feb;30(1):41-51.
  3. ^Gracis S, Llobell A, Bichacho N, Jahangiri L, Ferencz JL. The influence of implant neck features and abutment diameter on hard and soft tissues around single implants placed in healed ridges: clinical criteria for selection. Int J Periodontics Restorative Dent. 2020 Jan/Feb;40(1):39-48.