When Are Overdentures the Right Treatment?

November 3, 2020
Timothy F. Kosinski, DDS, MAGD image
Timothy F. Kosinski, DDS, MAGD
Dr. Kosinski Placing Overdentures - V15I2

When a patient visits your office with terminal dentition or an unstable, poorly fitting denture, dental implants are typically the best long-term solution. Providing superior function, prosthetic stability and quality of life, dental implant treatment offers a vast improvement over traditional complete dentures.1-3 Depending on the patient’s health, anatomy and financial circumstances, a fixed full-arch implant restoration is ideal for some patients, while a removable implant overdenture is well suited for others. Here, I will explore the implant overdenture, common situations in which it is prescribed and a case report that illustrates a simplified restorative workflow.

An implant overdenture is an implant-retained prosthesis that restores function and stability by attaching to two or more implants. Unlike the fixed full-arch restoration, most implant overdentures are soft-tissue supported and can be removed by the patient for cleaning. Although fixed restorations usually provide superior stability and function, here are some common situations where implant overdentures should be considered:

  1. Patients with limited finances — Implant overdentures typically require fewer implants and can be offered to patients at a reduced cost compared to fixed implant restorations. In certain situations, the patient’s existing complete denture can be retrofitted to the implants, reducing costs even further.
  2. Limited bone in the edentulous arch — When the patient doesn’t have enough bone volume to support the number of implants in the correct positions needed to provide adequate anterior-posterior (A-P) spread for a fixed restoration, an implant overdenture is an excellent solution.
  3. Grafting procedures are contraindicated — When bone augmentation is needed to facilitate placement of the implants for a fixed restoration, but the patient cannot receive bone grafting due to health or financial reasons, an implant overdenture is a great alternative.
  4. Patients who like their dentures but want more stability — Some patients prefer their removable dentures but experience problems with retention. An implant overdenture solves this problem and offers the same esthetics as traditional dentures.
  5. A palateless maxillary appliance is desired by the patient — With an adequate number and positioning of implants, maxillary overdentures can be horseshoe-shaped, addressing the concerns some patients have with regard to comfort, speech and taste.
Locator Overdenture Illustration - V15I2

The Locator Overdenture provides increased retention for the patient’s denture via retentive caps that seat over the Locator Abutments connected to the implants.

CASE REPORT

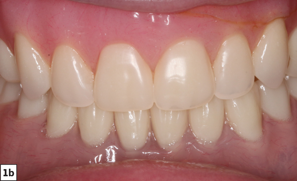
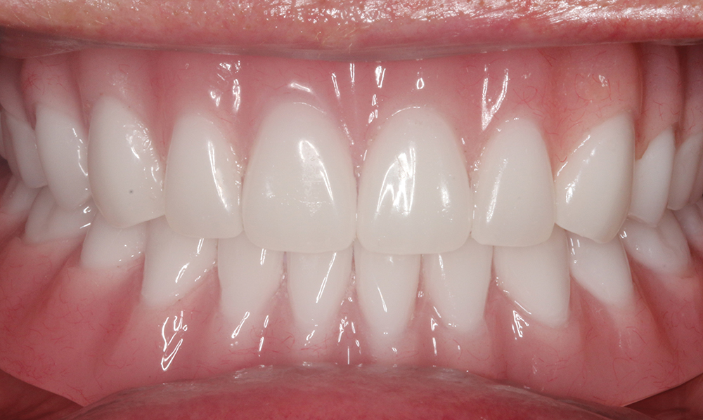
The following case report illustrates a straightforward clinical workflow for delivering a Locator® Overdenture (Glidewell; Newport Beach, Calif.) — a removable appliance that seats over Locator Abutments connected to the implants. Denture caps are embedded in the overdenture and provide retention by seating over and engaging the Locator Abutments. By stabilizing the prosthesis, these retentive devices improve function and chewing efficiency.

Our patient is a middle-aged female who presented with a chief complaint of ill-fitting, unstable maxillary and mandibular conventional dentures. We discussed several options, including relining her existing dentures, fabrication of new conventional dentures, implant-retained overdentures and fixed implant-supported prostheses. The patient opted for implant placement and restoration with a Locator Overdenture — which would provide an effective, economical means of addressing the patient’s needs and improving prosthetic stability and dental function.

CONCLUSION

As more patients turn to implant treatment as the optimal solution for the edentulous arch, it’s important that doctors consider the full range of restorative options. While the fixed full-arch restoration provides the best possible outcome, for many patients, the removable implant overdenture is an excellent alternative that addresses the issues associated with traditional complete dentures and is indicated in many patient situations.

Locator is a registered trademark of Zest Dental Solutions.

CHAIRSIDE PICKUP OF LOCATOR HOUSINGS

with Len Conner, CDT
Director of Education and Clinical Affairs at Zest Dental Solutions

In the standard protocol for the Locator Overdenture, the Locator housings are processed into the overdenture by the dental lab. However, some doctors may prefer to pick up the Locator housings intraorally. The following presentation, courtesy of Len Conner, CDT, director of education and clinical affairs at Zest Dental Solutions, illustrates the straightforward clinical procedure for intraoral pickup.

References

  1. ^ Yunus N, Masood M, Saub R, Al-Hashedi AA, Taiyeb Ali TB, Thomason JM. Impact of mandibular implant prostheses on the oral health-related quality of life in partially and completely edentulous patients. Clin Oral Implants Res. 2016 Jul;27(7):904-9.
  2. ^ Hyland R, Ellis J, Thomason M, El-Feky A, Moynihan P. A qualitative study on patient perspectives of how conventional and implant-supported dentures affect eating. J Dent. 2009 Sep;37(9):718-23.
  3. ^ Geckili O, Bilhan H, Mumcu E, Dayan C, Yabul A, Tuncer N. Comparison of patient satisfaction, quality of life, and bite force between elderly edentulous patients wearing mandibular two implant-supported overdentures and conventional complete dentures after 4 years. Spec Care Dentist. 2012 Jul-Aug;32(4):136-41.