An Ageless Smile at Any Age

February 9, 2026
Maryam Ekhtiar-Kord, DDS image
Maryam Ekhtiar Kord, DDS
Tamara’s rejuvenated smile demonstrated the power of clinical artistry and digital efficiency

Tamara had always viewed dentistry as a matter of necessity, but it wasn’t until she was 78 years old that she realized dentistry could be much more. She disliked the appearance of her anterior teeth, particularly the failing Class V composites, cervical discoloration, and incisal wear. She asked me for a refreshed, more youthful smile she could enjoy for the rest of her life.

I put together a plan for teeth #6–12 that combined veneers on #6, #8, #9 & #11; an onlay on #12; and crowns on #7 & #10. Given the functional and esthetic demands of this case, I chose Obsidian® Milling Blocks, a monolithic lithium silicate ceramic material. It offers a welcome combination of beautiful esthetics with a flexural strength of 385 MPa and is available in 14 shades, including two bleach shades.

CASE REPORT

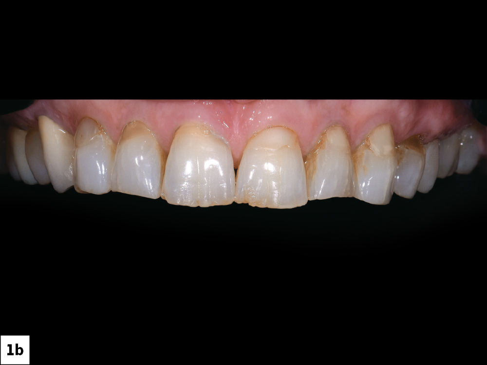
The patient presented with failing Class V restorations, cervical wear, discoloration and chipping of the incisal edges
The patient presented with failing Class V restorations, cervical wear, discoloration and chipping of the incisal edges

Figures 1a, 1b: The patient presented with failing Class V restorations, cervical wear, discoloration and chipping of the incisal edges.

Preparations were completed for teeth #6–12
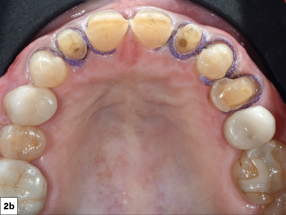
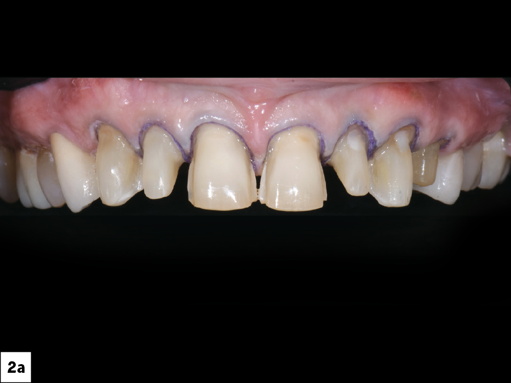
A gingivectomy was performed on teeth #8 & #9

Figures 2a, 2b: A gingivectomy was performed on teeth #8 & #9 to create longer central incisors, as the gingival levels of the laterals were initially slightly higher than the centrals. Preparations were completed for teeth #6–12, and double retraction cords (00 and 0) were placed into the sulcus for optimal margin capture. The digital impression was taken with the iTero Element® 5D Plus intraoral scanner. I determined that a combination of crowns, veneers and an onlay would serve as the definitive treatment plan.

Although the initial plan was for same-day delivery, Tamara decided to return the next day

Figure 3: Although the initial plan was for same-day delivery, Tamara decided to return the next day, rather than remain in the office during the four-hour design, milling and crystallization process for units #6–12. I fabricated splinted provisionals using Luxatemp® Ultra bisacryl (Muhlbauer Technology GmbH; Hamburg). This provided a comfortable, quick and esthetic interim solution while the definitive Obsidian restorations were completed for next-day delivery.

Units #6–12 were designed using the fastdesign.io™ Software and Design Station
The margin positions were identified for each prep, and the software presented crown proposals using AI

Figures 4a, 4b: Units #6–12 were designed using the fastdesign.io Software and Design Station. The margin positions were identified for each prep, and the software presented crown proposals using AI. I shared the designs on the computer screen with the patient, and she was able to see and approve what she would be receiving the next day.

Each restoration took about 15 minutes to mill
selected the bleach shade BL4, which is comparable to a VITA 3D-Master® OM1 shade

Figures 5a, 5b: I selected the bleach shade BL4, which is comparable to a VITA 3D-Master® OM1 shade. Each restoration took about 15 minutes to mill.

applied MiYO® Translucent Shade A (Jensen Industries Incorporated; North Haven, Conn.)
on the gingival third to replicate natural cervical saturation and MiYO Lumin to the remaining two-thirds to establish the primary chroma and value

Figures 6a, 6b: I applied MiYO® Translucent Shade A (Jensen Industries Incorporated; North Haven, Conn.) on the gingival third to replicate natural cervical saturation and MiYO Lumin to the remaining two-thirds to establish the primary chroma and value. To enhance incisal translucency, I applied Obsidian Fluorescent Low Glaze Paste in a light feathered pattern along the incisal edge. I added a subtle accent of orange MiYO Clementine shade on the occlusal surface of the onlay on tooth #12 to create warmth and depth.

Once the characterization was complete, I applied Obsidian stain and glaze paste and carried out a stain and glaze firing
using the finalstage.io™ Ceramic Oven to achieve the final surface luster and esthetic integration

Figures 7a, 7b: Once the characterization was complete, I applied Obsidian stain and glaze paste and carried out a stain and glaze firing using the finalstage.io Ceramic Oven to achieve the final surface luster and esthetic integration.

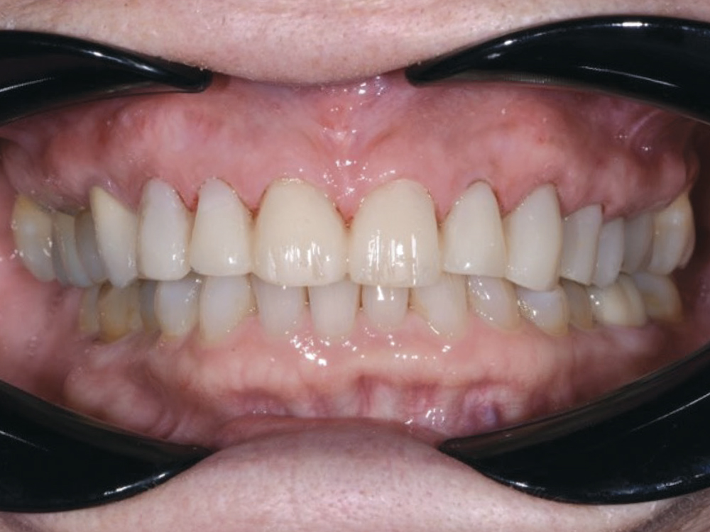
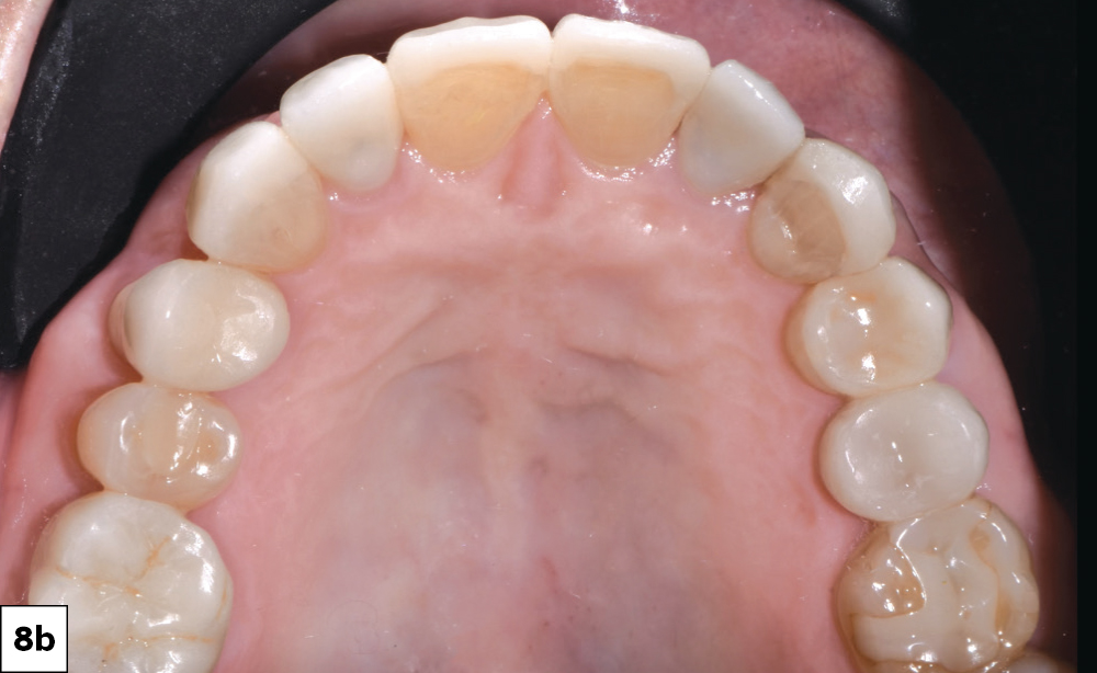
he gingivectomy on #8 & #9 resulted in gingival symmetry
The restorations were seated with Variolink® Esthetic resin cement (Ivoclar Vivadent)

Figures 8a, 8b: The gingivectomy on #8 & #9 resulted in gingival symmetry. The restorations were seated with Variolink® Esthetic resin cement (Ivoclar Vivadent). After tack-curing to facilitate cleanup, I removed excess cement and completed light curing from all aspects to ensure full polymerization. This sequence produced a durable and predictable bond while preserving the customized esthetic characterization of the Obsidian restorations.

CONCLUSION

An Ageless Smile at Any Age

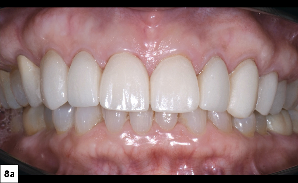
Tamara’s rejuvenated smile demonstrated the power of clinical artistry and digital efficiency. She was delighted with her new smile. The result achieved a balance of patient preference, esthetic harmony and long-term durability.

All trademarks are property of their respective owners.