Digital Implant Workflow: From Surgical Plan to Final Crown (1 CEU)

February 9, 2026
Danielle Brown, DDS image
Danielle Brown, DDS
Digital Implant Workflow:  From Surgical Plan to Final Crown

Ted Vo, a dental technician in the Glidewell implant department, came to our clinic because he had been missing tooth #30 for several years. He reported difficulty eating and was self-conscious about the edentulous space that sometimes showed when talking and laughing. Except for an occlusal amalgam restoration on #31, the adjacent teeth were healthy. My treatment plan called for an implant and a BruxZir® Esthetic Zirconia screw-retained crown, which the patient accepted.

CASE REPORT

IMPLANT PLANNING (Appointment 1)

Gum Ridge with Adequate Width for Implant
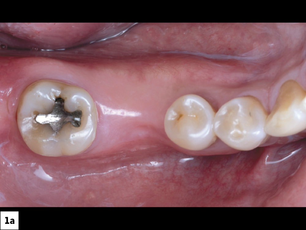
CBCT Scan and Intraoral Measurements to Determine Ridge Dimensions

Figures 1a, 1b: Upon clinical examination, the ridge appeared to have adequate width, though there was some narrowing near tooth #29. A CBCT scan and intraoral measurements allowed me to accurately determine ridge dimensions and evaluate whether there was adequate bone volume for implant placement.

Mesial-Distal Span and Interocclusal Distance

Figure 2: I checked the mesial-distal span and the interocclusal distance to ensure I had enough space for the implant, abutment and crown.

CBCT Scan and Schematics of Proposed Implant and Crown Placement

Figure 3: After a favorable intraoral assessment, a CBCT scan and preliminary reading were performed to confirm that the case was ready for the planning stage. The CBCT was then submitted to Glidewell’s Digital Treatment Planning (DTP) team, including a request that the team plan the case with a Glidewell HT™ Implant and the Glidewell HT Implant Guided Surgical Kit (Glidewell Direct; Irvine, Calif.). The report from DTP included a schematic of the proposed implant and crown placement, as well as the tooth-supported surgical guide. The placement of the crown was evaluated to ensure that it would be harmonious with the rest of the teeth in the arch and that it would provide the patient with proper function. I also ensured the implant followed the long axis of the proposed restoration, and that the screw access hole was in an acceptable esthetic position.

Mapping of the Interior Alveolar Nerve and the Metal Foramen

Figure 4: Mapping of the inferior alveolar nerve and the mental foramen (in purple) allowed an accurate evaluation of the implant placement, ensuring adequate distance from this structure.

Occlusal View Which Indicates the Placement of the Surgical Guide
Detailed Surgical Report Revealing Distance to Vital Structures

Figures 5a, 5b: An occlusal view clearly indicated the placement of the surgical guide and confirmed the trajectory the implant would follow as well as the position of the access hole on the occlusal surface. The detailed surgical report included a cross section revealing the implant’s proximity to vital structures. I could see the outline of the crown, the access channel, the outline of the implant (in blue), and the inferior alveolar nerve canal (in purple). I noted the distance between the implant and the nerve canal as well as the lingual concavity, another very important landmark when placing implants. To avoid complications, the plan maintained a safety zone of at least 2 mm.

CBCT Scan Confirming Mixture of D3-D4 Bone
CBCT Scan Confirming Mixture of D3-D4 Bone

Figures 6a, 6b: Further analysis of the CBCT confirmed that this patient had a mixture of D3–D4 bone, which is commonly found in the posterior mandible. While D3 bone is good for implant placement, D4 is less dense and is likely to have lower primary stability. Glidewell HT Implants (Glidewell Direct) worked well in this scenario because their tapered body condenses bone and the deep threads maximize engagement, both of which support implant integration. Because of the bone density, I decided I would not immediately load the implant and instead waited four months for integration before placing the screw-retained crown — which I chose over a cement-retained crown due to ease of delivery.

SURGERY DAY (Appointment 2)

Glidewell Tooth Replacement Solution Bundle
Glidewell HT Implant
Glidewell HT Implant Guided Surgical Kit

Figures 7a–7c: For this procedure, I selected a custom Glidewell™ Tooth Replacement Solution bundle, which included a tooth-supported surgical guide, the implant, a custom healing abutment, a scan body, and the final screw-retained restoration. I also used the Glidewell HT Implant Guided Surgical Kit (Glidewell Direct).

Applied Surgical Guide to Mouth

Figure 8: Prior to surgery, the surgical guide was evaluated to ensure stable fit with no rocking. The guide included a window to aid in checking the seating, as seen on the distal of #29.

Reflection of Full-Thickness Flap While Preserving Keratinized Tissue

Figure 9: I opted to reflect a full-thickness flap while still preserving the band of keratinized tissue on the ridge, which is important for long-term peri-implant health, patient comfort, hygiene, and favorable soft-tissue esthetics around the final restoration.

Ensuring the Tissue Flap's Non-Impedance of the Surgical Guide
Insertion of 5 x 11.55mm Glidewell HT Implant
Completed Osteotomy and Fully Visible Through Surgical Guide

Figures 10a–10c: I made sure the reflected tissue flap did not impede the seating of the guide. In this case, I could see the guide was holding the tissue out of the way on the buccal, and I was able to fully see the ridge through the access hole. Using the Glidewell HT Implant Guided Surgical Kit, I started the osteotomy with the 4.3/5.0 mm alignment drill. This drill perforates the alveolar crest and helps to establish a purchase point for all remaining drills in the sequence. The A and B pilot drills helped to provide an osteotomy depth of 8 mm and 10 mm respectively. I then moved on to using the shaping drills. I started with an 8 mm to help begin to widen the osteotomy, followed by the 11.5 mm, to fully widen the osteotomy to the proper size for the implant. The osteotomy was completed and fully visible through the guide.

Osteotomy with 4.3/5.0mm Alignment Drill
Implant Torqued to 35 Ncm
Glidewell Custom Healing Abutment Fully Seated

Figures 11a–11c: A 5 x 11.5 mm Glidewell HT Implant was placed into the fully prepared osteotomy. The implant was torqued to 35 Ncm. A Glidewell custom healing abutment was fully seated and the soft tissue approximated over the ridge. The custom healing abutment was chosen to guide gingival healing for an ideal esthetic outcome.

Two Sutures Placed Around the Implant Site
X-Ray of the Fully Inserted Implant Screw

Figures 12a, 12b: Two interrupted sutures were placed using Biotex™ Non-resorbable PTFE Sutures (available through Glidewell Direct), one on the mesial and one on the distal.

FOUR-MONTH FOLLOW-UP (Appointment 3)

The patient returned four months after implant placement to begin the prosthetic phase of the process.

Follow Up Image of the Implant Site with Healing Abutment
Removed Healing Abutment Revealing Well-Contoured Implant Site

Figures 13a, 13b: Removal of the custom healing abutment showed that the tissue surrounding the implant site was healthy and well contoured.

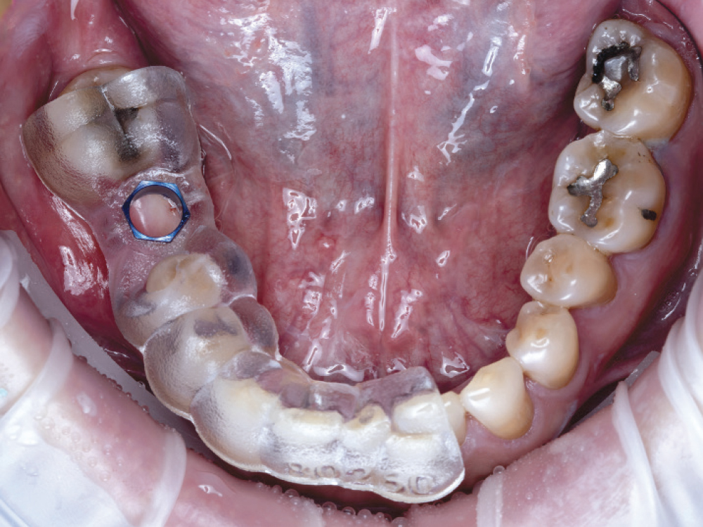
Glidewell HT Implant Titanium Scan Body Placement
Radiograph to Confirm Proper Seating of Scan Body

Figures 14a, 14b: A Glidewell HT Implant Titanium Scan Body (Glidewell Direct) was placed, and proper seating was confirmed with a radiograph. Completely seating the scan body is important. If the scan body is not properly seated, the final restoration will not seat either. Make sure the scan body is screwed into the implant connection and hand-tightened.

DEFINITIVE RESTORATION AND OUTCOME (Appointment 4)

(We allowed two weeks between impression and delivery)

Usage of a Penguin RFA Device

Figure 15: Using a Penguin® RFA device (Glidewell Direct), an implant stability quotient reading of 72 (on an ISQ scale of 1–99) was confirmed. That reading indicated a good level of stability.

3D Oral Scan Showing Planned BruxZir Implant
3D Oral Scan Showing Planned BruxZir Implant

Figures 16a, 16b: The laboratory generated a final restoration design, taking into consideration proper contacts and contours for optimal adaptation of the soft tissue to the coronal portion of the screw-retained crown.

Final BruxZir Esthetic Screw-Retained Crown
Access Channel Filled with Teflon Tape

Figures 17a, 17b: The final BruxZir Esthetic screw-retained crown was fabricated by Glidewell. After it was seated, the access channel was filled with Teflon tape and sealed with composite.

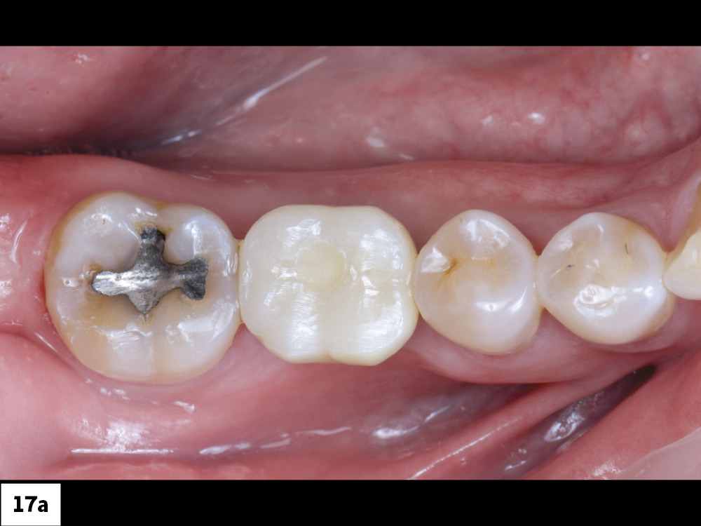
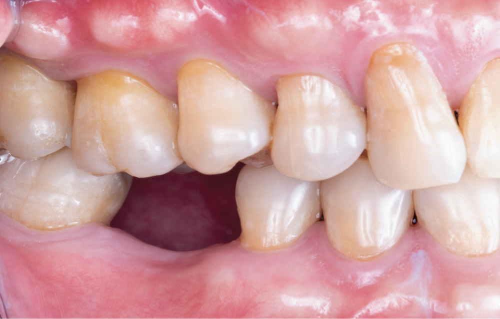
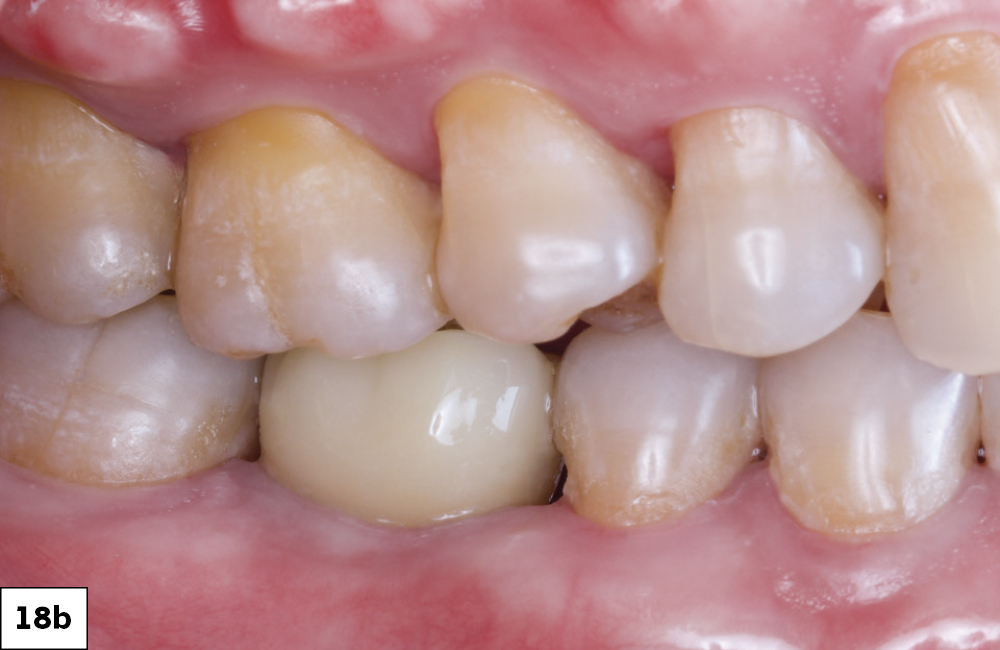
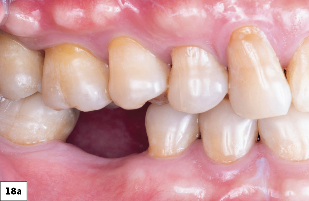
Before Restoration
After Restoration

Figures 18a, 18b: The final restoration seated perfectly without the need for any adjustment. The custom healing abutment created an emergence profile that allowed the final restoration to blend seamlessly with the adjacent teeth and appear to emerge from the tissue like a natural tooth. The result blends well with the adjacent dentition, restoring both function and esthetics.

CONCLUSION

More streamlined surgical and restorative workflows, including the use of custom components in the Glidewell Tooth Replacement Solution, means more precision, convenience, and long-term success for these essential procedures. The selection of a BruxZir Esthetic screw-retained crown helped deliver a permanent, functional, esthetic result that the patient was extremely happy to receive.

Biotex is a trademark of Citagenix, Inc. Penguin RFA is a registered trademark of Integration Diagnostics Sweden AB.