In this issue:

Something to Smile About: A BruxZir® Esthetic Case Report

September 25, 2019
 image
Chad C. Duplantis, DDS
Chad Duplantis, DDS

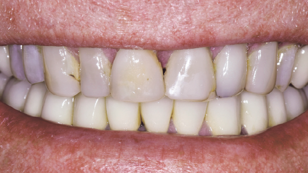
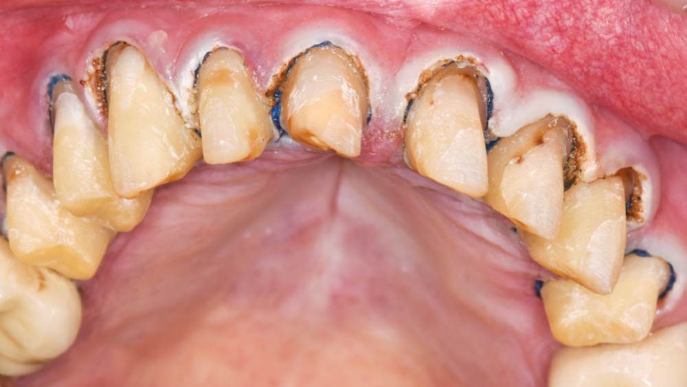
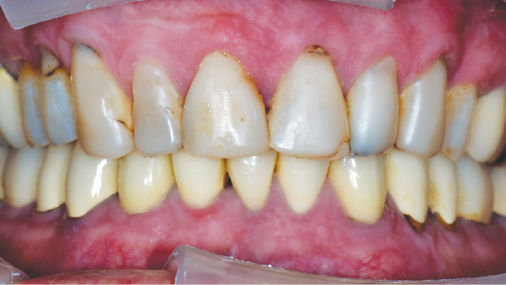
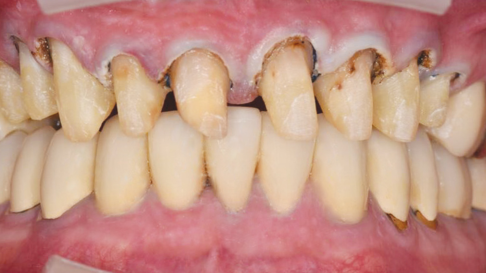
One of the privileges of practicing dentistry is to participate in the recovery of a deserving patient. One such patient was a 75-year-old gentleman who drove almost three hours from his West Texas ranch to proudly inform me that he had fully recovered from esophageal cancer and was ready to address his smile, which had been compromised by his aggressive cancer treatment.

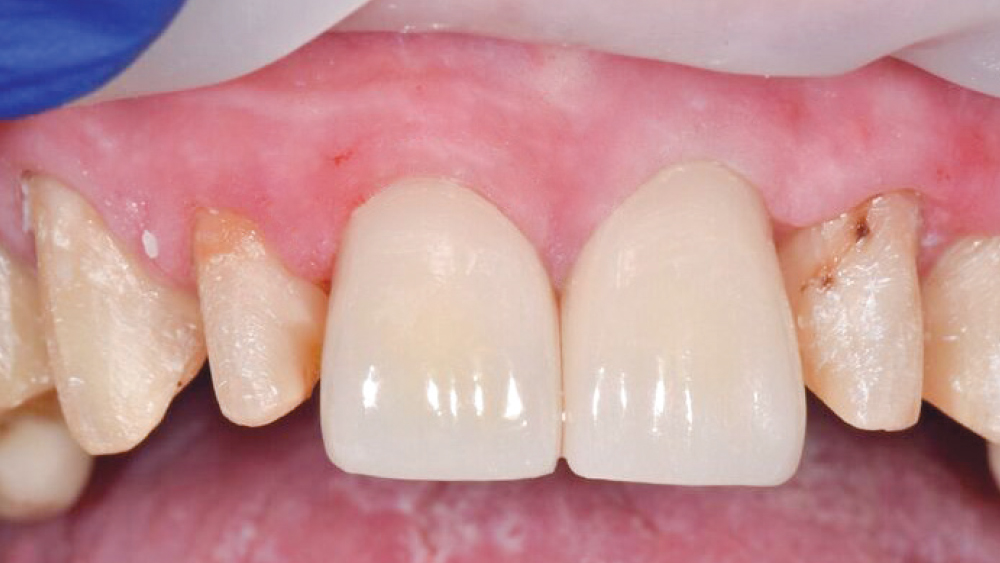
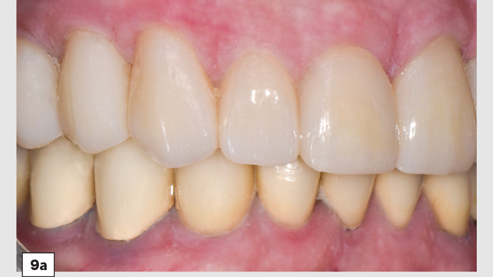
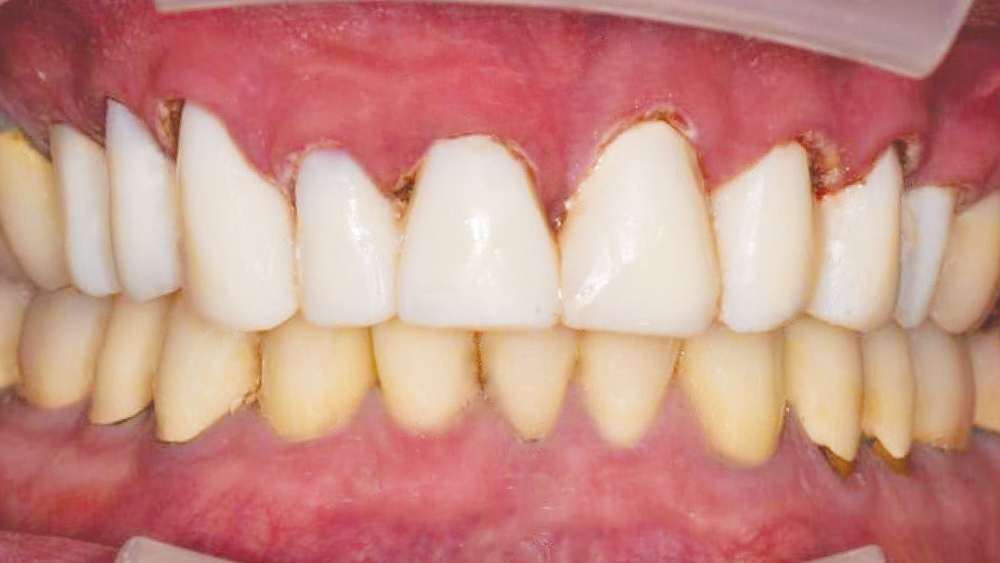
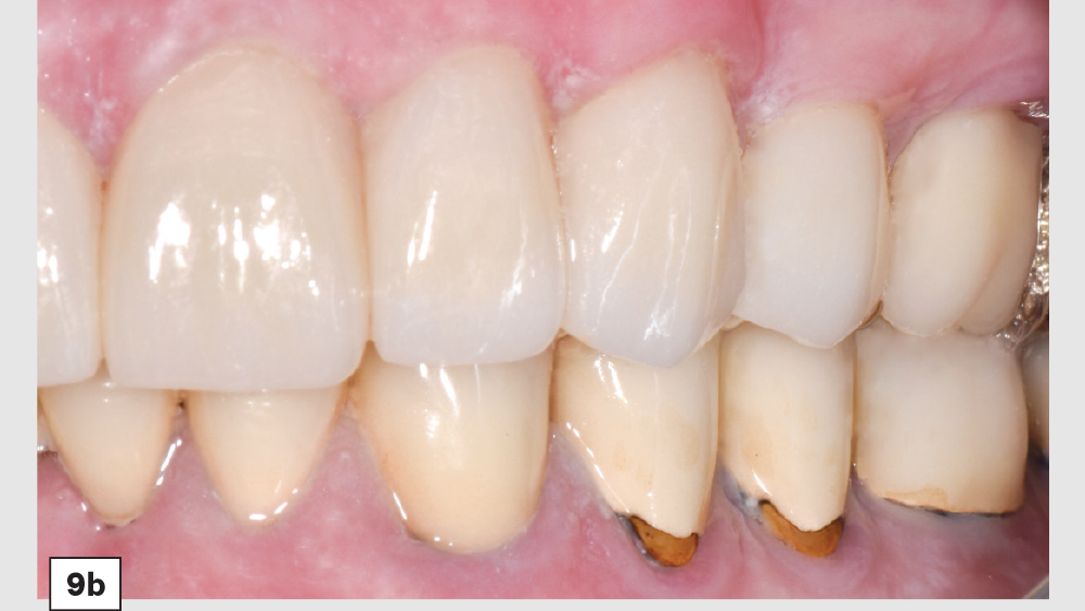
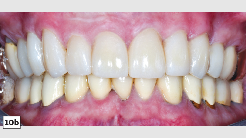
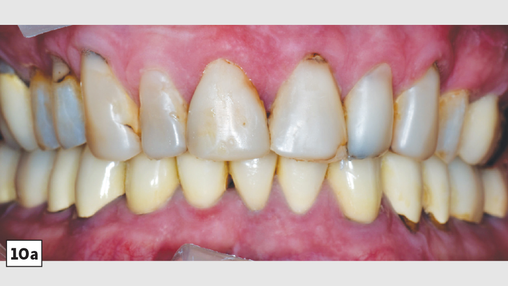
The patient’s recent treatment, coupled with his past medical history, precipitated development of xerostomia, which contributed to the deterioration of his existing restorations and necessitated a stronger, more permanent esthetic solution. I suggested something strong enough to withstand the test of time and occlusal forces, but that could also give the patient a smile befitting his joyful disposition. With BruxZir® Esthetic, we were able to achieve the best of both worlds.

CONCLUSION

The patient was so pleased with his BruxZir Esthetic restorations that he plans to make the long journey to my office again later this year to have his lower teeth restored.

iTero Element is a registered trademark of Align Technology, Inc.