In this issue:

My First Glidewell HT™ Implant

September 25, 2019
 image
Stephanie Tilley, DMD
Stephanie Tilley, DDS

Note: The Hahn Tapered Implant System is now known as the Glidewell HT Implant System

Dr. Stephanie Tilley decided to learn how to place implants to meet the needs of her patients in her general dental practice in Pensacola, Florida. In this interview, she talks about the steps she took to acquire this valuable new skill, including the training she received at the Glidewell International Technology Center in Kentucky and the Glidewell Dental Symposium 2018, and her experience using the Hahn™ Tapered Implant System.

CHAIRSIDE® MAGAZINE: How long have you been practicing dentistry, and what led you to pursue this profession as a career?

DR. STEPHANIE TILLEY: I have been practicing dentistry for 20 years. I always enjoyed the sciences, but at the same time I really liked the arts. I found that dentistry was a perfect blend of the two. Also, the hours in dentistry are conducive to raising a family.

CM: After practicing dentistry for two decades, what initially got you interested in placing implants?

ST: My interest in placing dental implants came from the frustration of trying to restore implants that were not treatment-planned from the crown down, which created esthetic issues. And of course, implant dentistry has become more and more mainstream. Dental implants are being marketed to patients, especially on the internet. After learning about it online, a lot of patients visited my office asking about implant treatment. Even after I told them I was not trained, they would often say: “That’s OK. I want you to do it.” Also, I do a lot of esthetic dentistry, so placing the implant to support an esthetic outcome is very important to me. Considering all of this, I thought it was time for me to expand my education on implant dentistry.

Dr. Stephanie Tilley and her staff at Pensacola, Florida

Dr. Stephanie Tilley and her staff take pride in offering comprehensive patient care at their Pensacola, Florida-based practice, and they added implant placement to their services in response to the many requests they received from their patients.

CM: Can you talk about that education? Which courses have you taken?

ST: I sought out a comprehensive surgical and prosthetic implant training program that would get me on my way to performing surgical procedures. Because of the high reputation of Glidewell as both a dental lab and implant manufacturer, I was intrigued by their CE programs and decided to attend a two-day course on implant placement in Louisville, Kentucky. Glidewell had just opened a new teaching facility there, and it was very convenient to attend from my practice in Pensacola, Florida.

The program was led by Dr. Timothy Kosinski, and it was very practical — taught by a general dentist for general dentists. Dr. Kosinski knows how to simplify a complex subject, and he provides you with the skill set you need to confidently implement what you have learned. His course includes hands-on exercises that really give you the feel of the procedures you’ll be performing. He also walks you through the supplies and equipment you’ll be utilizing. I left his course excited to get back to my office to start treating my patients.

Another important part is that there is constant assistance offered by Dr. Kosinski and the Glidewell implant lab team. Questions are promptly answered. Adding any new procedure to the practice can be stressful for the dentist and the team, and having that support has made for a smooth transition to implant placement.

Dr. Tilley placing implants on patient

Dr. Tilley returned to her practice from Dr. Timothy Kosinski’s course eager to begin placing implants in her practice. “His course makes you feel very confident and secure in your skill set,” said Dr. Tilley.

CM: That’s great to hear. Can you talk about any other CE you’ve taken to prepare for implant dentistry?

ST: Education is paramount to me, so I’ve continued my training with a course on bone grafting and suturing at the Glidewell facility in Louisville. After taking Dr. Kosinki’s course, I was inspired to attend the Glidewell Dental Symposium 2018 in Washington, D.C. In addition to the informative main-stage presentations, I was able to attend a workshop taught by Drs. Kosinski, David Hochberg and Juan Cardenas, which included some great hands-on training that further sharpened my understanding of the surgical procedure. I learned a lot at the symposium — in implants and beyond. The workshops and presentations covered a wide variety of topics and disciplines, and they offered exceptional deals on new equipment and supplies.

Dr. Tilley received her initial training on implant placement from Dr. Kosinski

Dr. Tilley received her initial training on implant placement from Dr. Kosinski at the Glidewell International Technology Center in Louisiville, Kentucky. Shown here, Dr. Tilley and her assistant ask Dr. Kosinski some questions at a hands-on workshop at the Glidewell Dental Symposium.

CM: Can you discuss your first implant case? What kind of case was it?

ST: My first implant was a tooth #19, for a patient of record for six years. She really wanted me, personally, to replace her missing tooth, and was very happy to be my first implant patient. Dr. Kosiniski teaches his courses using the Hahn™ Tapered Implant System (Glidewell Direct; Irvine, Calif.), which I purchased at his course. It is a very easy system to understand and really helped things go smoothly during my first procedure.

Dr. Kosinski teaches a “tooth-down” principle, where we plan the implant case around the final restoration we want to achieve. First, I used the pilot drill to begin the osteotomy and then verified that I had correct positioning with a radiograph. Next, I went through the shaping drills, which are laid out in a way that takes the complexity out of implant surgery. It goes very quickly — I placed the implant in under 30 minutes. The Hahn implant system really simplifies what can otherwise be a difficult procedure. We had a great result and the patient was quite happy.

CM: Did you place the implant freehand or via guided surgery?

ST: We went with guided surgery and had an excellent experience. The Hahn guided surgical kit is very user-friendly. Once you have your digital treatment plan, you simply follow the surgical kit to your desired implant length and width, and the drilling sequence is intuitive and easy to follow.

CM: Would you recommend that other dentists use digital treatment planning and guided surgery when first getting started?

ST: There are definitely cases that I can now do without a surgical guide. It seems that the most valuable asset people have is their time. Sometimes I am able to discuss the implant procedure and provide treatment the same day. I will use the digital radiograph and two-dimensional diagnosis and treatment planning I learned from Dr. Kosinski. I always want to be comfortable, so it really depends on the difficulty and nature of the case.

Also, having a CBCT scanner is an invaluable tool in diagnosing. When I am unsure of anatomy or have other concerns, it is nice to have the digital treatment planning team at Glidewell assist me in planning my case and create a surgical guide that helps create an esthetic end result.

CM: Do you have any comments you can share on the design of the Hahn Tapered Implant?

ST: I really love the design of the Hahn Tapered Implant. The aggressive threads provide awesome initial stability and give you a lot of control during placement. Not knowing too much about the different designs of implants, I appreciate that Dr. Jack Hahn has invented several popular implants and designed this one in the most modern fashion. The surgical kit is amazing because each drill is length-specific. This keeps me from having to guess the final depth of the osteotomy. Some other systems only have lines that are difficult to see when drilling.

Also, the high quality and reasonable cost to the practice allows me to provide this service in an economical manner. Everyone is on a budget of some type, but all my patients deserve quality care at a fair price. In addition, the 20% discount provided by Glidwell Laboratories for implant restorations over Hahn implants is a huge benefit.

CM: Can you elaborate on what kinds of implant procedures you perform in your practice?

ST: I have placed quite a few implants now, ranging from guided, to non-guided with tissue punch, to non-guided with tissue reflection. I feel very confident placing posterior implants, creating attached gingiva, and suturing. I am carefully choosing anterior cases, with an awareness of the emergence profile and esthetics that are so critical to the success of the final restoration. We have some full-arch cases and implant-retained overdentures that are currently being treatment-planned. Working through the step-by-step clinical protocol from Glidwell Laboratories is helping me understand the process for those types of cases. One thing I have learned is that there is a tremendous need for quality implant dentistry in my community. As I am doing more procedures, I am seeing more applications I will treat.

patient's edentulous space in area tooth #19

Figure 1: The patient presented with an edentulous space in the area of tooth #19.

drilling with the Hahn Tapered Implant Guided Surgery System

Figure 2: The implant osteotomy was created through a surgical guide following the straightforward drilling sequence of the Hahn Tapered Implant Guided Surgery System.

implant site after 4 months of healing

Figure 3: After four months of healing, the implant site showed excellent tissue health and implant stability.

BruxZir Full-Strength screw-retained crown

Figure 4: A BruxZir® Full-Strength screw-retained crown was delivered over the Hahn Tapered Implant.

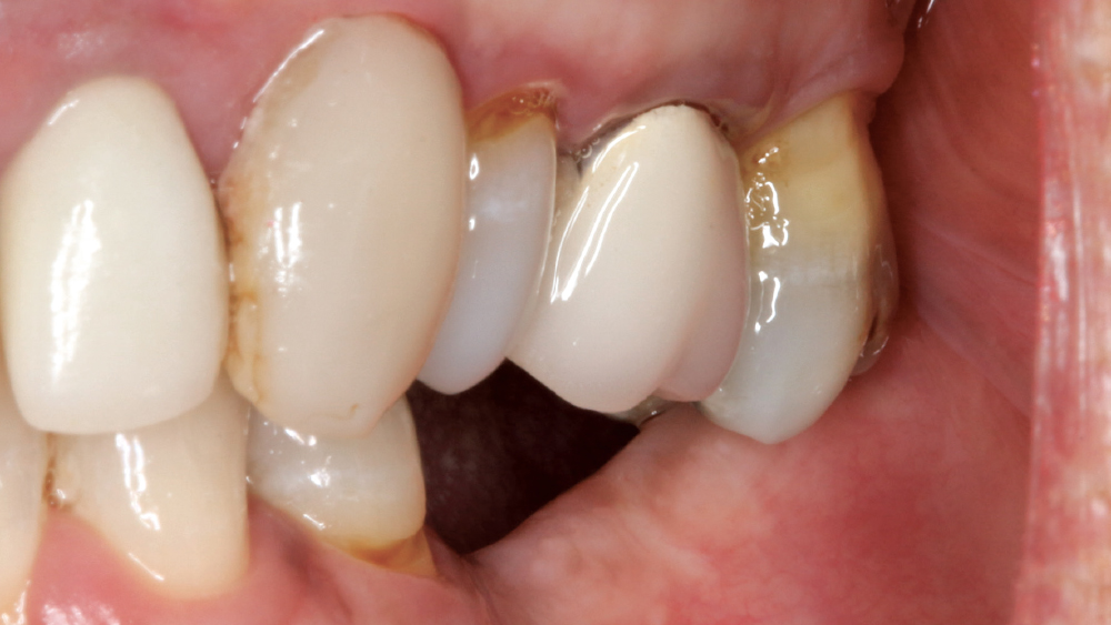
patient with final restoration

Figure 5: The patient was thrilled with the final restoration and was extremely happy with her experience receiving the entire course of treatment through Dr. Tilley’s general practice.

CM: How has learning to place implants affected your practice?

ST: I look at implant dentistry as a new beginning to my profession. I am doing something that is very stimulating and requested by my patients. I can still refer out cases to my surgeon that I do not feel comfortable with, and I am actually referring more than ever before. But now I am able to confidently and competently place most of the requested implants in my practice. My team is motivated by the fact that we now have a full complement of procedures that we can provide our patients. It is so rewarding both professionally and financially.

Also, I am able to make implant treatment more affordable for my patients while still providing them with quality dentistry. It is very gratifying to be able to place implants for my patients. Many of my patients no longer have to go to another office, and in some instances implants can be placed on the same day. Patients love it!