In this issue:

Restoring Long-Lost Smiles

September 25, 2019
 image
Anamaria Muresan, DMD, ME, CDT

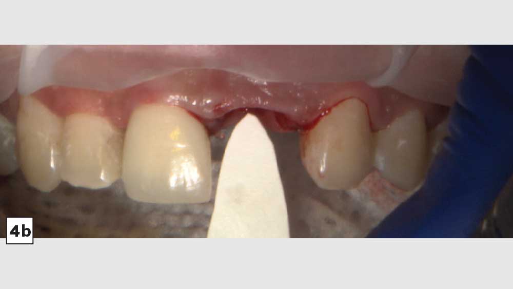
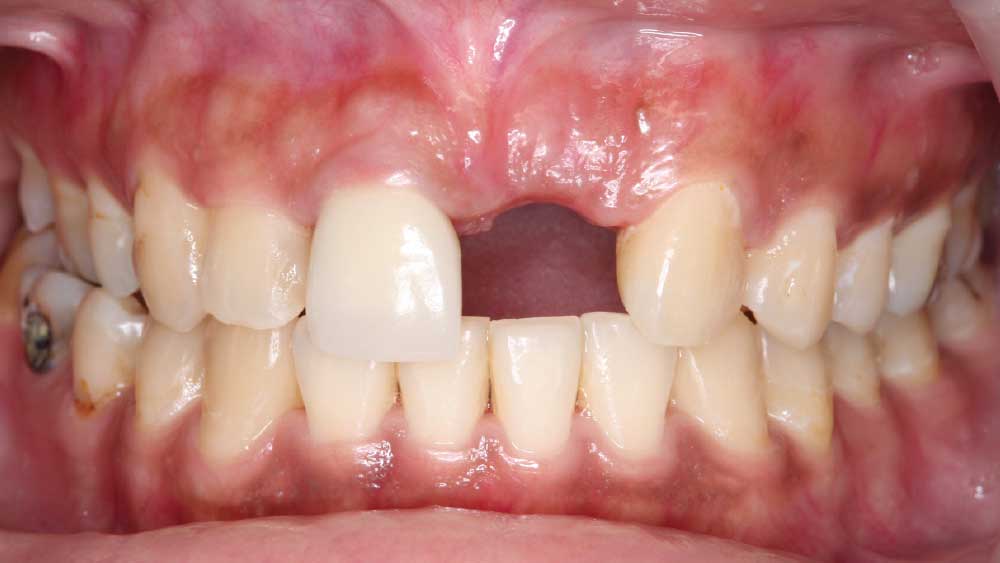
For the first time in many years, Maria is all smiles. It is a dramatic difference from where she was just four months ago. When she arrived in my office, she was so self-conscious I could barely get her to open her mouth. Simple daily tasks like talking and eating had become problematic due to a fractured tooth that was barely attached by an endodontic post. It was so mobile that during our initial visit, Maria was afraid it would fall out while she spoke.

After losing both parents at a young age, Maria lived with her adopted parents before moving out to live on her own when she was 17. Even though her root canal had failed years prior to our visit, she had been unable to have the tooth evaluated. As she took the first steps toward addressing the years of neglect, I looked forward to providing this deserving patient with a functional and esthetic solution to her problem.

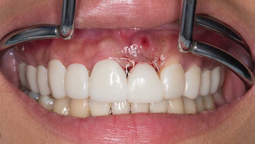
BRIDGING THE GAP WITH BRUXZIR® ESTHETIC

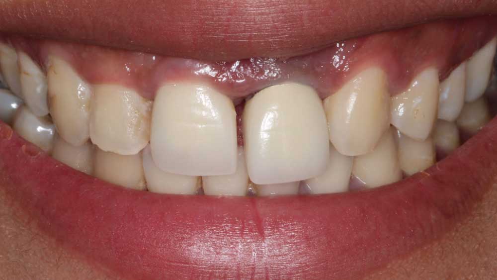
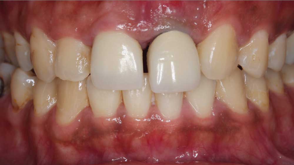
After conducting a thorough diagnostic examination, a vertical root fracture was noted, leaving the #9 central incisor malaligned and unstable. Due to the presence of significant vertical bone loss, extensive treatment for guided bone regeneration and a connective tissue graft would have been required prior to implant placement. After the patient was consulted on these factors, she opted against implant treatment. Once we discussed the remaining options, she decided on a bridge from #8–11 and a veneer on #7. Because she was congenitally missing tooth #10, placing a bridge to restore the edentulous area required preparing the adjacent canine and reshaping it to look like the missing lateral. I selected BruxZir® Esthetic Solid Zirconia as the best material to restore her beautiful smile. Not only does BruxZir Esthetic have superior strength compared to similar all-ceramic materials such as IPS e.max®, but it also has a translucent, natural-looking appearance. Sometimes clinicians think it is risky to do an all-ceramic bridge, but with a strong material like BruxZir Esthetic that has an average flexural strength of 870 MPa, doctors can confidently seat an anterior bridge that will produce long-lasting results. BruxZir has become such a popular material for dentists that it has been utilized to successfully fabricate more than 1.2 million bridges.

CONCLUSION

It was a four-month restoration process but a worthwhile journey. The outcome radically transformed Maria’s life. She no longer struggles to eat certain foods, nor does she lack confidence in her appearance. Instead, she feels great about herself and is able to talk confidently in front of people. Her BruxZir Esthetic veneer and bridge have given her a new lease on life. Now she is no longer afraid to share her smile with the world.

IPS e.max is a registered trademark of Ivocalar Vivadent. iTero Element is a registered trademark of Align Technology, Inc.