In this issue:

Lighting Up the Esthetic Zone

September 25, 2019
 image
Paresh B. Patel, DDS
Lighting Up the Esthetic Zone Hero image

Note: The Hahn Tapered Implant System is now known as the Glidewell HT Implant System

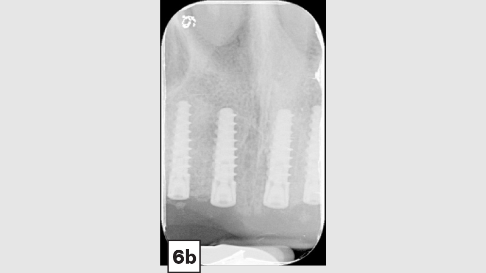
Digital treatment planning (DTP) with the team at Glidewell Laboratories allows me to ensure that implants are precisely placed, with full consideration given to the desired esthetics of the final restorations. But there was another unique element involved in planning the case described below: While it was esthetics that caused the patient to seek treatment, his career as a glass blower required his implants to be placed in functionally ideal positions. The potential complexity of these multiple requirements solidifed my decision to approach his case with implant positioning predetermined via DTP.

CASE REPORT

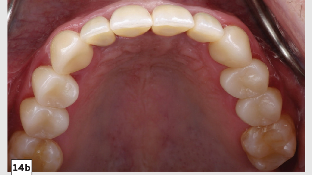
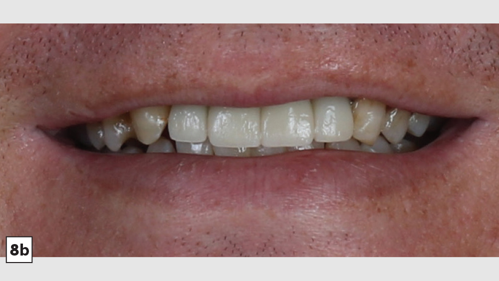
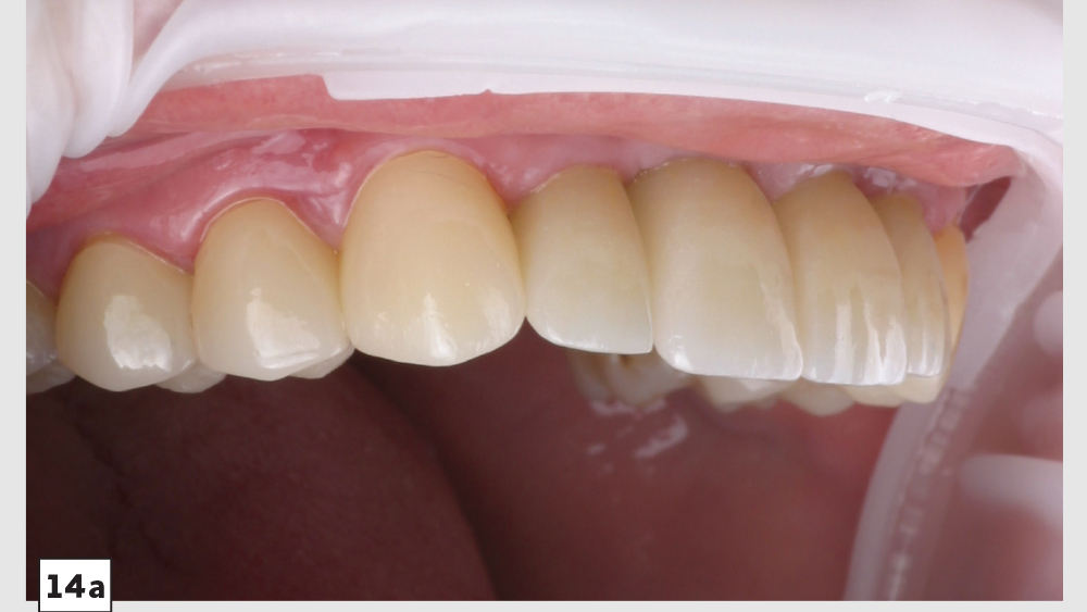
This patient came to me with four missing anterior teeth in positions #7–10. He had been missing these teeth for some time and was wearing a temporary denture to address the cosmetic issue this created. When he came to my practice, he was in a financial position to solve the problem permanently with implant restorations. Based upon the anterior space available and the fact that the patient’s surrounding tissue was in good health, I chose to move forward with Hahn™ Tapered Implants and BruxZir® Esthetic restorations.

THE CASE CONTINUES ...

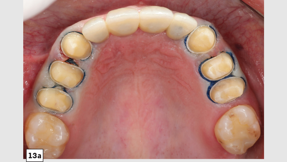
There’s nothing more rewarding than when patients return to your office for additional dentistry because they were so thrilled with the results of the previous procedure you performed for them. This particular patient followed through with the additional treatment I had previously recommended.