Efficient and Predictable Implant Placement with Guided Surgery

May 10, 2019
 image
Paresh B. Patel, DDS
Efficient and Predictable Implant Placement with Guided Surgery

Note: The Hahn Tapered Implant System is now known as the Glidewell HT Implant System

Implant placement requires attention to detail to achieve the best result for the patient. Each decision along the way — from the diameter and length of implant used, to the depth and spacing of placement, to the management of the surrounding tissue — must be carefully considered in order to achieve the optimal result. Both seasoned implantologists and clinicians just getting started with implants can benefit from tools that help make this process easier, more accurate and more efficient. One such tool, which I consider one of the most important additions to a clinician’s repertoire, is that of digital treatment planning (DTP) with guided surgery.

DTP provides the ability to plan the case ahead of time in a virtual, 3D environment. Relevant diagnostic information about the patient is gathered, along with a CBCT scan, and used to develop a step-by-step treatment plan that outlines all surgical requirements for the case. Upon approval by the clinician, this information is then used to create a surgical guide that controls the position of the implant osteotomy in precise accordance with the agreed-upon plan. This ensures that the implant is placed at the exact depth, angle and position desired by the clinician — at an optimal distance from the buccal and lingual plates, adjacent teeth and nearby anatomical structures.

The process of creating a digital treatment plan is straightforward. In the following case, as in many others, I performed the surgery using the Hahn™ Tapered Implant System (Glidewell Direct; Irvine, Calif.), and worked with Glidewell Laboratories to create the DTP protocol and surgical guide. A key differentiator for the DTP provided by Glidewell is the dental lab’s experience restoring millions of implant cases. This restorative expertise is used to determine implant positioning that both is safe and establishes the foundation needed for a functional, esthetic outcome.

CASE REPORT

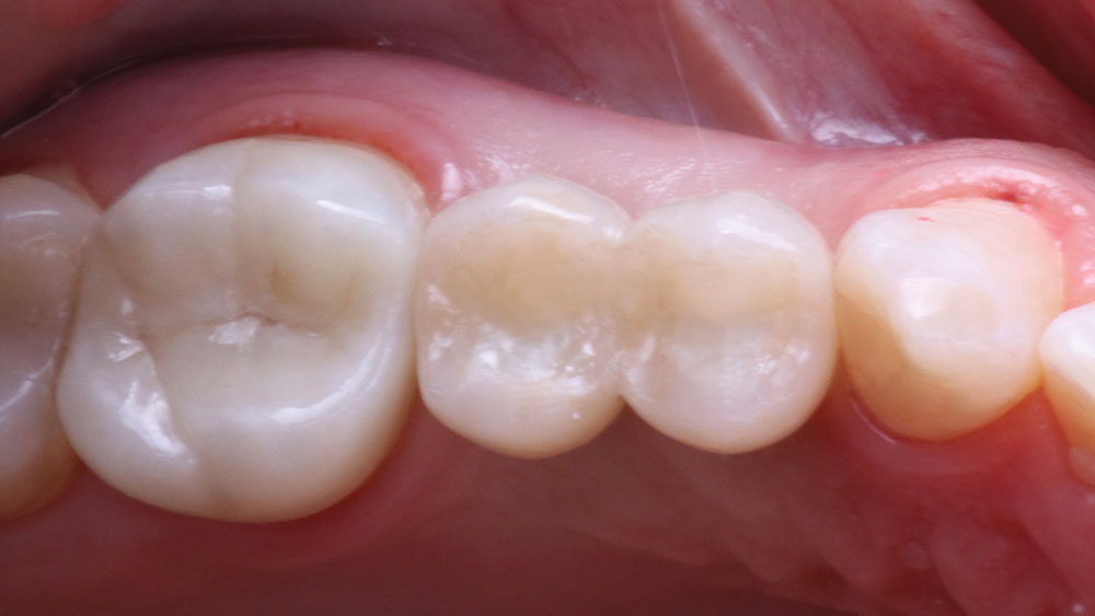
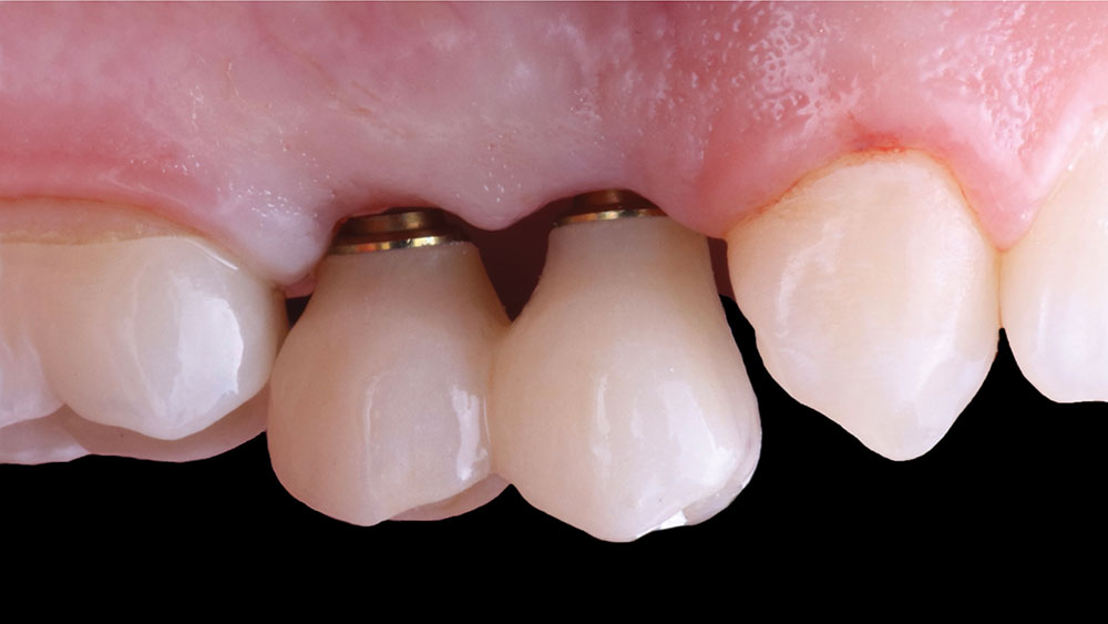
A middle-aged woman in good health came to me seeking implant restorations to replace her missing teeth #4 and #5. The teeth had been removed several years prior, and the patient owned a partial that was meant to cover the area. However, she rarely wore it due to general dislike of its esthetics and feel. Desiring a stable, high-quality replacement, she had been saving her money for implant treatment. In the meantime, the patient had learned to adjust her smile to mask the missing teeth. She was now ready to move on to a permanent solution. For her case, I chose to use Hahn implants paired with BruxZir® screw-retained crowns due to her desire for strong, long-lasting restorations.