Full-Arch Implant Restorations: When Are Multi-Unit Abutments Needed?

May 10, 2019
Timothy F. Kosinski, DDS, MAGD image
Timothy F. Kosinski, DDS, MAGD
Dr. Timothy Kosinski showing patient full-arch implant

Note: The Hahn Tapered Implant System is now known as the Glidewell HT Implant System

Once the surgical portion of full-arch treatment is completed and the patient has an adequate number of well-integrated and properly positioned implants, there are important prosthetic considerations the clinician must address. One important decision involves whether to attach the prosthesis directly to the implants or to instead connect the restoration to multi-unit abutments. The fit, strength and esthetics of the restoration as well as the long-term health of the surrounding tissues may all be affected by this determination.

Multi-unit abutments are used to correct for varying heights among the implants, to establish a level restorative platform for the prosthesis, as well as to situate the implant connection even with or just below the gingival surface. Additionally, angled multi-unit abutments are used to correct the angulation of implants, helping to keep the screw access holes away from the facial surfaces of the restoration while also improving the path of insertion.

Delivering a full-arch implant restoration, which transitions the patient from the frustrations of edentulism to the stability and function of a fixed prosthesis, is one of the most rewarding experiences in dentistry. The difference between connecting the prosthesis to multi-unit abutments vs. attaching the restoration directly to the implants can significantly affect this experience, from the quality of the restoration design, to how smoothly and efficiently the restorative process goes, to the patient’s ultimate satisfaction with the restoration. Here are some advantages of each approach to consider:

Advantages of attaching prosthesis directly to the implants

  • Lower cost of prosthetic components
  • Larger, stronger retention screws
  • Less vertical height required

Advantages of attaching prosthesis to multi-unit implant abutments

  • Correction of implant angulation and improved screw access hole locations• More predictable impression accuracy and seating of prosthesis due to visualization of prosthetic connections
  • Smaller screw access holes
  • A level restorative platform among implants can be established, resulting in superior resto-ration design and soft-tissue maintenance
  • Simplified removal of restoration with minimal disturbance to soft tissue
angled mult-unit abutment

Angled multi-unit abutments, available at angles of 17 or 30 degrees from Glidewell Direct, are used to correct the angulation of implants and avoid screw access holes exiting through the facial of the prosthesis.

straight multi-unit abutment

Straight multi-unit abutments, available in heights ranging from 1–5 mm, raise the prosthetic connection of the implant to align with the soft tissue or establish a level restorative platform among the implants.

Due to inconsistency in vertical and horizontal ridge thickness, the angulation and depth of the implants can vary, which has a considerable impact on the design of the prosthesis. In some cases, failure to use multi-unit abutments can create issues, from screw access holes on the facial surface of the teeth, to prosthetic connections that make it difficult to establish proper draw and fully seat the restoration.

implant prosthesis

Note the prosthetic issues that could have been avoided in this case with the use of multi-unit abutments, including screw access holes on the facial of teeth in the esthetic zone and deep prosthetic connections that are difficult to visualize and seat during delivery of the restoration.

The difference between a restoration constructed to seat over multi-unit abutments and the same prosthesis designed to connect directly to the implants can be substantial, depending on the angulation and axial positioning of the implants, the desired restoration design, and the vertical height of the prosthesis. Thus, it’s important to evaluate these characteristics and collaborate with the dental lab in determining the best approach for each individual case. Some dental labs, including Glidewell Laboratories, will recommend angled multi-unit abutments when they are necessary to improve the position of the screw access holes, and straight multi-unit abutments when the connections need to be raised closer to the tissue level.

full-arch implant prosthesis without transmucosal
full-arch implant prosthesis with transmucosal

Comparison of full-arch implant prosthesis designed without (a) and with (b) transmucosal multi-unit abutments illustrates how screw access holes on the facial aspect of the restoration and prosthetic connections that are deep or difficult to visualize can be avoided. Note how the straight multi-unit abutments raise the height of the prosthetic connections, while the angled multi-unit abutments do the same and also correct for angulation.

CASE EXAMPLE

The following case illustrates how the decision of whether to use multi-unit abutments can affect the design and delivery of the fixed full-arch implant restoration. A young patient presented with an upper full denture that was loose-fitting and causing significant discomfort. She requested implant treatment as a long-term solution and desired a high-strength restoration that would look, feel and function like natural teeth. The implants were positioned at angles that required correction and the prosthetic connections needed to be elevated to the soft-tissue level. Thus, multi-unit abutments were used to align the restorative platform of the implants and keep the screw access holes behind the incisal edges of the restoration.

9 hahn tapered implants placed in upper arch

Figure 1: Nine Hahn™ Tapered Implants (Glidewell Direct; Irvine, Calif.) were placed in the upper arch and allowed to heal. It became apparent that multi-unit abutments would be needed, both to raise the prosthetic connections of the implants to the tissue surface and to make adjustments in angulation.

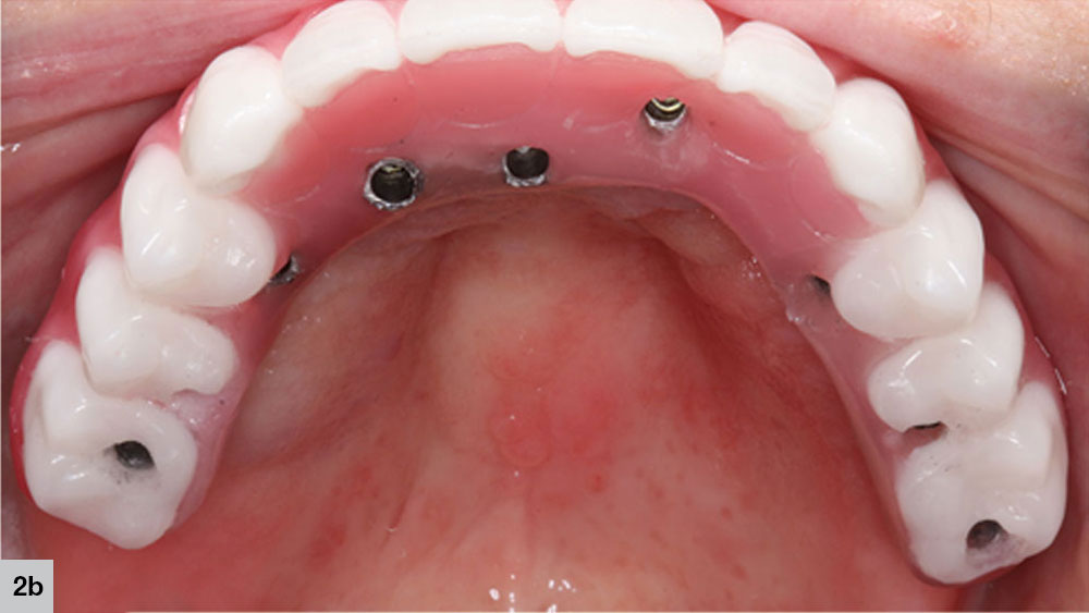
a combination of angled and straight multi-unit abutments attached to implants
wax try-in for the bruxzir full-arch implant prosthesis

Figures 2a, 2b: At the wax try-in appointment for the BruxZir®Full-Arch Implant Prosthesis, a combination of angled and straight multi-unit abutments were attached to the implants. The angled multi-unit abutments helped keep the screw access holes behind the incisal edges. The cuff heights of the transmucosal abutments helped create a level restorative platform, visualize the prosthetic connections and simplify the process of connecting the retention screws to the implants.

bruxzir full-arch restoration

Figure 3: The BruxZir full-arch implant restoration was delivered with relative ease due to the use of multi-unit abutments, which helped simplify the restorative process throughout treatment.

before photo of patient prior to life-changing bruxzir full-arch restoration
after photo of patient with bruxzir full-arch restoration

Figures 4a, 4b: Before-and-after images illustrate the life-changing transformation resulting from the placement of Hahn implants to support BruxZir full-arch restorations. The use of multi-unit abutments facilitated a smooth, efficient and comfortable restorative process for the patient.

CONCLUSION

The depth and angulation of implants will often vary in full-arch cases, which can complicate the restorative phase of treatment and impact the design of the prosthesis. In addition to correcting for the angulation of implants, multi-unit abutments can ease the delivery of the restoration, raise the implant connection closer to the gingival surface, and create a level prosthetic platform. Considering all the time and resources the dentist and patient devote to full-arch implant treatment, multi-unit abutments represent a modest investment toward an efficient, accurate and predictable restoration.