Product Spotlight: Surgical Guides with Digital Treatment Planning

May 10, 2019
Surgical Guides with Digital Treatment Planning

As more dentists learn to place implants, new tools and techniques that improve surgical efficiency and predictability are increasingly important. Digitally guided surgery, in which an implant is placed with maximum precision through a surgical guide, is especially beneficial in the general dentistry practice. Using a CBCT scan and a full-arch impression, a well-trained technician develops a digital treatment plan that determines the ideal positioning, diameter and length of the implant within the available bone, at a safe distance from nearby anatomical structures. After the dentist approves the treatment plan, the technician fabricates the surgical guide, which controls the location, depth and angle of the implant, and enhances safety, predictability and the confidence of the clinician.

The dentist is ultimately responsible for delivering the restoration and ensuring that it meets the functional needs and esthetic demands of the patient. The digital treatment planning (DTP) team at Glidewell Laboratories creates surgical guides with these exact considerations in mind, utilizing the dental lab’s vast experience with restorative implant cases to assist doctors in executing a treatment plan that is both safe and prosthetically driven.

The Glidewell DTP team understands that failing to place implants in the optimal position can complicate the restorative phase of treatment and make it difficult to achieve the beautiful results patients expect when they invest in implant treatment. Keeping this top of mind, they help clinicians develop treatment plans that establish the foundation needed for an optimal prosthetic outcome, with special attention given to the desired method of crown retention and the function, occlusion, emergence profile and esthetics of the planned restoration.

The DTP team at Glidewell Laboratories creates surgical guides ... utilizing the dental lab’s vast experience with restorative implant cases to assist doctors in executing a treatment plan that is both safe and prosthetically driven.

ADVANTAGES OF WORKING WITH THE GLIDEWELL DTP TEAM

  • Restorative-driven treatment planning
  • Minimize surgical trauma
  • Implant positioned a safe distance from vital anatomical sturctures
  • Increased patient comfort
  • Single-source implant solutions provider, from surgical guide, to implant to final restoration
  • Optimal spacing from adjacent teeth and the buccal and lingual plates
  • Reduced chair time for implant surgery

HOW TO OBTAIN YOUR SURGICAL PLAN AND GUIDE

Step 1-5 Surgical Plan and guide

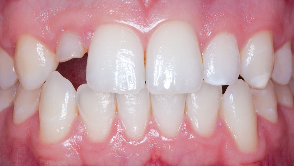
CLINICAL CASE EXAMPLE

For more information on the case submission process and Glidewell DTP services, visit glidewelldental.com/dtp.

Register now for a course on DTP and guided surgery at glidewellcecenter.com or call 866-791-9539.