My First Glidewell HT™ Implant

May 10, 2019
 image
Chris Pallotto, DDS
Dr. Chris Pallotto

Note: The Hahn Tapered Implant System is now known as the Glidewell HT Implant System

Although he has spent much of his career as an executive with some of the biggest implant companies in the world, general dentist Dr. Chris Pallotto began surgically placing implants only recently. In this interview, the Oak Lawn, Illinois-based clinician explains how offering basic implant surgery has made treatment available to more of his patients, discusses the benefits of a digitally guided surgical approach for general dentists, and shares how the Hahn™ Tapered Implant System helped smooth his transition to implant placement.

CHAIRSIDE ® MAGAZINE: We know that you have a long, active history with dental implants. How did you end up dedicating so much of your career to this field?

DR. CHRIS PALLOTTO: I graduated from the University of Illinois at Chicago College of Dentistry in 1986, and a few months later I attended a course given by Drs. Dan Sullivan and Stephen Parel. Osseointegration was just entering mainstream dentistry back then, and they presented this predictable treatment for replacing teeth in a very compelling way. I was hooked.

Later that year, I went to a conference where Dr. Per-Ingvar Brånemark himself was speaking. Here was this eccentric Swedish professor, and he just got up there and lectured freestyle for eight hours. He kept going, took every question and just captivated everyone. Dr. Brånemark’s concept of osseointegration, the lack of morbidity, the idea of using a biocompatible metal with a gentle technique so that you don’t overheat the bone — all of it was just amazing. He had these follow-up studies of 10-plus years, which was practically unheard of. He was so careful and methodical and true to scientific methods. I was heavily influenced and really wanted to get involved.

Dr. Chris Pallotto showing patient implant

Since learning to place implants, Dr. Chris Pallotto has found that implant treatment is a feasible option for more of his patients due to the reduced cost of receiving care in his general dentistry practice.

CM: How did you end up working with Nobel Biocare?

CP: I befriended this young Swedish dentist who worked for Nobel Biocare, which was so concerned about the acceptance of this technique that they initially hired dentists to promote the product instead of a sales force. When it was time for him to go back to Sweden, I asked him who was going to take his place and he said, “You can do it.” I was all-in on implant treatment and was happy to have a job promoting it. This was in the late ’80s, and I didn’t return to practicing dentistry until about 20 years later, when I retired from my position as the VP of sales at Straumann.

CM: What happened that made you want to return to private practice?

CP: I got married a bit late in life, at 42 years of age. My wife and I suddenly found ourselves with twins. The lifestyle of flying back and forth to and from all over once a week was clearly not going to work out, so I decided to return to the stability of a private dental practice.

CM: Did you start getting involved with implant placement right away?

CP: Back in 2007, when I returned to private practice, I did have a brief period where I started dabbling in placing implants. I definitely had some success, but I decided to stick with restoring implants because I had a lot of other things going on. I had just purchased this practice, and I didn’t have my team around me yet. Also, I met a great oral surgeon, who came into my practice as an associate. I’ve been working with him ever since and, until recently, he was placing all the implants and I was restoring them.

But I eventually realized that there are a lot of patients in my practice who can benefit from implants but don’t quite have the resources to pay for treatment after being referred to a specialist. There was this gap that existed for these patients that I could fill by learning to place implants. While I have this wonderful oral surgeon who has worked long and hard to develop his skills, the more advanced level of care he provides may not be required for some of these patients, who are in need of a more straightforward type of treatment.

CM: After making this realization, what was the next step for you?

CP: I took a course in Dallas last year that was taught by Dr. Charles Schlesinger and offered by the Glidewell International Technology Center. When I decided I wanted to do implants, Chuck was the first person I thought of because I have a lot of respect for him as a clinician and educator. He’s as generous with his knowledge as he is knowledgeable. So I gave him a call, and he invited me out to one of his courses. His class really brought me up to where I needed to be to make implant placement a part of my general dentistry services. That was where I learned about the Hahn™ Tapered Implant System (Glidewell Direct; Irvine, Calif.) firsthand. The surgical and restorative protocol was simple and easy to follow during the hands-on exercises.

CM: Did you have any experience working with Dr. Jack Hahn during your time with Nobel Biocare?

CP: Unfortunately not. However, my wife worked for Nobel Biocare at the same time I did. As a regional manager, she knew Dr. Hahn, and she told me that he had this charismatic persona, where he would lecture in front of general dentists and his enthusiasm for implant dentistry was so infectious that they all just had to start placing implants after taking one of his courses. I know that prior to Dr. Hahn getting involved in teaching general dentists, the previous model had been that the only people performing implant surgery would be oral surgeons and periodontists. But when Jack came along, he was able to frame implant surgery as something that was attainable by general dentists.

CM: Can you discuss your first experience placing a Hahn Tapered Implant? What kind of case was it?

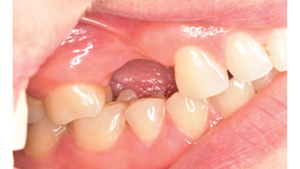
Edentulous space spanning teeth #4 and #5

The patient requested implant treatment for an edentulous space spanning the area of teeth #4 and #5.

Hahn Tapered Implants placed via guided surgery

Two Hahn Tapered Implants were placed via guided surgery and, after four months of healing, the implant sites exhibited excellent soft tissue health and bone integration.

Radiograph showing integration of the implant

Final radiograph shows excellent integration of the implant, including bone growth above the level of the implant collar.

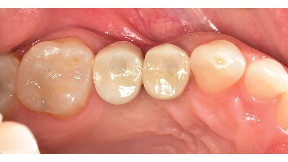
Final outcome of patient with treatment

The patient was very pleased with the final outcome and the overall course of treatment, which was a smooth, efficient experience for all parties involved.

CP: She was a patient of record who wanted to replace teeth #4 and #5, which had been missing for some time. She was wearing nothing in the edentulous area and, when she would smile, you could see it. I knew this was something she badly wanted to do but couldn’t afford were I to send her to a specialist. Believe it or not, I had her specifically in mind when I went to Dr. Schlesinger’s course in Dallas. So I took the course, made a great deal with a customer service rep at Glidewell Direct, and got myself some implants and the Hahn Guided Surgical Kit. I went with the guided approach partly because I was a bit apprehensive to start putting in implants freehand right away.

So we sent her for a CBCT scan, and we worked with the Glidewell digital treatment planning team, which was really wonderful and helped us plan the case from start to finish. Everything was incredibly straightforward when we performed the procedure. We went in, got the patient numb, seated the guide, and were done with both implants within 30 minutes. The experience with the Hahn implant and the guided surgery service from Glidewell was that simple. We were looking at each other and my assistant asked, “That’s it?” And I responded, “I guess that’s it.” There was hardly any bleeding — if any. The implants were very stable, so we went ahead and put the healing abutments on and took X-rays, and everything looked great.

When it came time to restore the implants, X-rays showed that the bone had actually grown around the implant collar and it even took a little bit of effort to fully seat the scan bodies when I took the digital impression. The restoration went as smoothly as I could have imagined and the patient couldn’t have been happier. She was in tears and so grateful. It was really moving, and I think all dentists would experience joy to see the patient respond to treatment like that. And that’s something that doesn’t get old in the dental profession. Let me tell you — you don’t get this kind of happiness when you do a root canal.

Let me tell you — you don’t get this kind of happiness when you do a root canal.

CM: What do you think about the role of guided surgery in the general dentistry practice?

CP: This whole thing has been eye-opening for me because my entire background has involved watching surgeons place implants freehand. Dr. Schlesinger and the DTP team at Glidewell awakened me to what’s possible with implants in the digital realm. I think it’s extremely beneficial for general dentists who are just getting started to feel safe and 100 percent confident that the implant is positioned a good distance from anatomic structures and with optimal spacing and depth. I wish I could do a Class II composite or root canal guided!

CM: So you would recommend the Hahn implant to other general dentists out there?

Dr. Pallotto with happy patient

Dr. Pallotto with the happy implant patient following delivery of the final restoration. Doctor and patient alike were pleased with the efficient, straightforward nature of the surgical and restorative phases of treatment.

CP: Absolutely. Dr. Hahn certainly has it right with how everything is laid out. The system was self-explanatory and intuitive as far as how all of the steps are arranged, which makes it perfect for dentists like me who are new to this. It really takes something that could otherwise be viewed as complex and makes it quite simple. As I started to get going, I was pleasantly surprised by how, as the implant is placed into the bone, it really taps in there and establishes stability quite nicely — even if the bone quality isn’t all that great. This implant really engages and grabs the bone and just goes in there solidly.

CM: Have you placed any Hahn implants since that first case?

CP: Oh, definitely. It’s been full steam ahead. We’ve even done an All-on-4 full-arch implant case. The implant sites are healing right now and we’re going to restore it with a fixed restoration. I’m really excited about that because there’s nothing more life-changing than giving edentulous patients their teeth back.