Introducing Same-Visit Crowns to Alaska

May 10, 2019
 image
Scott Methven, DDS
family out in the mountains

The reports so far have been overwhelming: Dental practices that offer same-visit restorations experience an increase in new patients. As word spreads about how convenient it is to get a restoration created and delivered in just one appointment, a growing number of people are heading to doctors who have the capability to provide this convenient service.

If this is the case for dental clinics located in competitive markets, just imagine the influx of patients you might experience if you weren’t just the only dentist in town offering same-visit crowns — you were among the only ones in the entire state.

Dr. Scott Methven heads Aesthetic Family Dentistry in Wasilla, Alaska, which is a town of approximately 7,000 people roughly 40 miles northeast of Anchorage. Dr. Methven has been practicing for nearly 20 years, and his clinic has already developed a solid base of loyal patients, which increased dramatically after the practice chose to purchase the glidewell.io™ In-Office Solution last October. Dr. Methven’s clinic was the first in Alaska to purchase the system and is currently the only one in the state offering single-visit restorations made from BruxZir® zirconia.

We asked Dr. Methven how having the ability to create same-visit restorations with glidewell.io has impacted his practice, and what it’s like for his clinic to be an outpost of the latest digital technology in the middle of the Alaskan tundra.

CHAIRSIDE® MAGAZINE: Please tell us a bit about your background and education.

DR. SCOTT METHVEN: I graduated from the University of Detroit Mercy School of Dentistry in 2001. I spent my undergrad at Michigan State University and the University of North Carolina at Chapel Hill. I’m originally from Northern Michigan, and I grew up enjoying outdoor sports so much that I decided to pursue my love for the outdoors in Alaska upon graduation.

CM: What types of services and specialties do you perform today?

SM: We’re a full-spectrum dental office. We have three general dentists and two oral surgery groups who work together out of one building. Among the services we offer our patients is Invisalign® (Align Technology; San Jose, Calif.), and I am a key opinion leader for the American Academy of Clear Aligners.

One of my favorite procedures in dentistry is root canal therapy. I’ve taken multiple classes and a mini residency with Dr. John West. I’ve done thousands of root canals using rotary endodontic techniques. Restoring those teeth has given me the opportunity to fine-tune my crown techniques over the years.

CM: I assume that has come in handy with your office’s recent acquisition of the glidewell.io system.

SM: Absolutely. Recently purchasing glidewell.io has been a game-changer for my office. The system is very versatile, and we are able to do single-day restorations with precision. Having the ability to mill zirconia in under an hour has changed the way I practice daily. It is one of the best investments I have made for my practice.

Dr. Scott Methven

Since adopting the glidewell.io In-Office Solution in October 2018, Dr. Scott Methven and the team at Aesthetic Family Dentistry have expanded their range of available services and enjoyed satisfied patients as well as saved time and treatment costs.

CM: How has glidewell.io changed your workflow and processes at the practice?

SM: The impact has been enormous. It has allowed us to perform procedures we were unable to do in the past. One great example is that having control of the milling process has given us the ability to mill BioTemps® NOW provisionals for sensitive teeth in under 10 minutes. We then use GLUMA® Desensitizer (Heraeus Kulzer, LLC; South Bend, Ind.) and IRM® Intermediate Restorative Material (DENTSPLY Caulk; Milford, Del.) to put them on. If the tooth calms down and the patient is comfortable at that point, we can use the same scan to build their final restoration without having to take additional impressions or scans. These crowns can be milled before the patient’s next appointment and cemented permanently in minutes with zero adjustments. This saves us time and the patients are thrilled not to have to do root canal therapy. This is just one example of many applications the glidewell.io system has brought to our office.

CM: So you’ve experienced some positive response from your patients regarding the system.

SM: Patients are thrilled to have single-day restorations. In the vast majority of crown cases, it allows them to visit our office just once rather than multiple times over several weeks.

Aesthetic Family Dentistry team photo

The entire team of Aesthetic Family Dentistry in Wasilla, Alaska, has been trained on how to use the glidewell.io system, and participates in the design and milling of same-visit crowns for their patients.

CM: What was it like to learn the system as a new user? Any comments about the implementation process, or how it was going through the kickoff training with Glidewell onsite at your practice?

SM: Integrating the system was a breeze. Kevin, our implementation team manager from Glidewell, along with his support staff, installed our components and gave us a full day of instruction in person. Considering that this was the first milling system in our office and the first one most of us had ever used, I can’t imagine a more seamless transition. And if it’s necessary, we still sometimes call upon Glidewell for help with designing a restoration. It’s handy that a Glidewell lab tech can remotely take over the computer for us and help design the crown. After just a few months, we were able to handle most of them without assistance, but the Glidewell techs are always extremely helpful in creating beautiful crowns if needed.

CM: Do you have an assistant who helps operate the glidewell.io system, or do you handle the design and milling yourself?

SM: My assistants are enjoying glidewell.io and have been eager to learn more about crown design techniques to perfect the in-office milling process. They often ask me if there are more advanced classes they could take, as they want to become experts! They love creating restorations and being part of the process.

Dr. Methven and delivering same-visit BruxZir Now crowns

With glidewell.io, Dr. Methven has the ability to deliver same-visit BruxZir NOW crowns to his patients, who appreciate the fact that they’re receiving high-quality zirconia restorations in a fraction of the time required for conventional lab-made restorations.

CM: It sounds like it’s been a great transition and you’re getting along very well with the technology. We’re always happy to hear that.

SM: Absolutely.

CM: I imagine that your location, in a small town in a fairly remote part of Alaska, makes things a little different for your practice in terms of how you market your services. How have you been able to get the word out? Do you do a lot of online marketing? Have you been able to attract new patients by advertising single-visit crowns?

SM: We use a variety of avenues to advertise that we’re now offering same-appointment crowns, including lots of online marketing, which has helped drive new patients to the practice. We have found that the methods that have been the most beneficial are Facebook, Instagram, radio and word-of-mouth. Many of the new patients who are coming have been attracted by the fact that they can receive a precision crown in a single morning or afternoon appointment. They love the convenience of not having to take additional time away from their work and families to come in for a second appointment. They’re also drawn by the fact that we can deliver BruxZir Solid Zirconia crowns milled in-office within that single appointment. That lets them know that we’re not sacrificing quality for the sake of convenience.

CM: Most of the practices using glidewell.io are in areas that are much more urban than yours. It’s nice to hear that single-visit crowns help increase patient traffic and acquisition no matter where you are.

SM: Our practice was actually the first in the state to purchase the glidewell.io In-Office Solution, so we have the only one in Alaska, which has been great! I have patients who fly in from remote villages or who have a five-hour, one-way drive to my office, and it’s extremely inconvenient for them to make a 10-hour round trip to get one crown. Providing crowns without the need for a second visit is very beneficial, an enormous time saver and extremely convenient for these patients. Also, if they have a BioTemps provisional crown, bite into something sticky, and lose the temporary, we can mill another one in under 10 minutes by using the original scan.

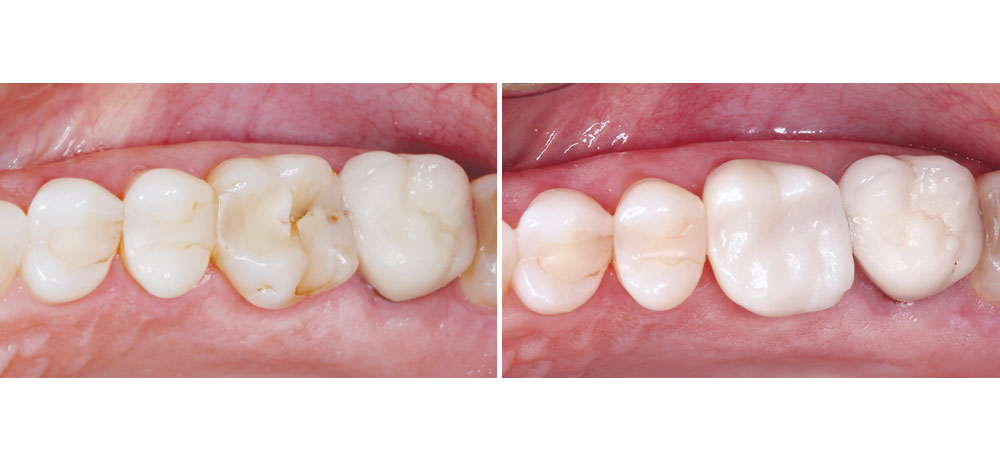
Before and after photo of patient's teeth with BruxZir Now crowns

Fully sintered BruxZir NOW crowns can be milled in-office in under 40 minutes, which has provided tremendous time savings to many of Dr. Methven’s patients, many of whom live a considerable distance from his practice and can now receive an esthetic, high-strength crown in a single visit.

CM: Any words of advice for other dentists thinking about getting into digital dentistry?

SM: I would just say that embracing current technology has set my office apart. Along with the convenience and selling points of same-visit crowns, having glidewell.io has helped us stay ahead of the curve in other ways, too. Using the iTero® Element scanner that comes with the system, we’re able to take digital impressions for all types of models, surgical guides, Invisalign, and a multitude of other applications. It has benefited our practice so much that I can’t imagine going back to the old workflow we used before integrating this technology into our office.

CM: Thank you so much, Dr. Methven. We appreciate your time and wish you continued success in the future!

SM: Thank you.